感染途徑
母親分娩前患過感染性疾病,病原體可以經血行通過胎盤屏障使胎兒感染;分娩前發生胎膜早破,羊水被污染,胎兒吸入污染的羊水或分娩時吸入產道污染分泌物而發生肺炎;
上行感染而致胎兒感染,如孕母有泌尿道感染、產程延長或產前實施胎膜鏡或肛門檢查,均可引起上行感染。
臨床表現
新生兒宮內感染性肺炎臨床表現差異很大,多在生後24小時內發病,出生時常有窒息史,復甦後可有氣促、呻吟、呼吸困難,體溫不穩定。反應差。肺部聽診呼吸音可為粗糙、減低或聞及濕羅音,嚴重者可出現呼吸衰竭、心力衰竭、休克或持續肺動脈高壓,血行感染者常缺乏肺部體徵,而表現為黃疸、肝脾大和腦膜炎等多系統受累。
也有生後數月進進展為慢性肺炎,周圍血象白細胞大多正常,也可減少或增加。血清IgM,IgA比正常新生兒高,臍血IgM>200mg/L或特異性IgM增高者對產前感染有診斷意義。X線胸片常顯示為間質性肺炎改變,細菌性肺炎則為支氣管肺炎表現。生後1~2小時檢查胃液,見膿細胞,有時可找到細菌。外耳道咽拭子細菌培養可陽性。
臨床診斷
(一) 母孕期有感染、分娩中有羊膜早破、難產、產程延長,嬰兒有窒息史以及與患有呼吸道感染的病人接觸或患有敗血症。
(二) 咳嗽、呼吸增快、呼吸困難、口吐白沫、口周發紺、嗆奶、體溫發熱或不升。
(三) 兩肺呼吸音粗或有羅音。
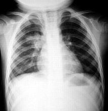
(四) X線表現: 肺內廣泛粟粒狀陰影或片狀陰影,有時伴有肺的過度充氣或肺氣腫。
治療方法
(一) 保溫 體溫不升者要放置在紅外線輻射保暖床上進行處理,既達到保暖又便於操作,調節溫度於適中溫度,使新生兒皮膚溫度達36.5℃左右。
新生兒供氧(二) 供氧 輸氧指征是紫紺,供氧時經濕化瓶將氧加溫至31~33℃後供給。常採用鼻導管、面罩或持續正壓呼吸(CPAP),開始時可作氣管插管或機械呼吸,使血PaO2達6.65~10.64kPa(50~80mmHg)。 (三) 抗生素治療 細菌感染引起的肺炎以早用抗生素為宜,病原體未明時多選用青黴素加丁胺卡那黴素,或根據病情需要選用合適的抗生素,病毒性肺炎對抗生素無效,但如繼發細菌感染,可選用1~2種抗生素,劑量宜偏小。
(四) 霧化吸入 當呼吸道分泌物粘稠時,可霧化吸入以稀釋分泌物,使其易於排出。對氣管插管的嬰兒可以從插管內滴入蒸餾水或無菌生理鹽水,以潤濕呼吸道。(五) 供給足夠的營養和液體 餵奶時宜少量多次,以免大量餵奶發生嘔吐而吸入呼吸道。如食慾差,熱量供應不足,可間斷靜脈補充血漿或高營養液。新生兒肺炎常因呼吸快,使不顯性失水增多,如液體攝入量不夠,也可以靜脈滴注1/5 ~ 1/4張含鈉液,液體量每日60~80ml/kg(包括攝入量)。避免液量過多而增加心臟負擔。有代謝性酸中毒者可適量輸入碳酸氫鈉。呼吸性酸中毒者在通氣改善後即可恢復。
(六) 對症治療 發生膿胸或膿氣胸時,應立即抽膿、排氣或行閉式引流。

