病因
CEP的病因可能與單純型嗜酸粒細胞增多症相似,亦可能是自身免疫性疾病。由Ⅲ、Ⅳ型變態反應的協同作用所引起,也可由Ⅱ型變態反應所致。儘管確切的免疫發病機制還不清楚,但許多證據表明,嗜酸粒細胞在對肺組織損傷中發揮著初始的重要的作用。
臨床表現
近半數患者有既往過敏疾病史,如過敏性鼻炎、鼻息肉等。約2/3患者以哮喘為首發症狀,或與其他肺部症狀同時出現。起病較緩,常見症狀有咳嗽低熱、盜汗、體重減輕、乏力等,少數病人可有咯血。後期常有進行性氣急,與哮喘發作有關。半數以上患者體檢可以發現喘鳴,並可聽到細濕囉音。
檢查
1.實驗室檢查
白細胞增多>10×10 /L。60%~90%的病人周圍血嗜酸粒細胞增多(>6%),但周圍血嗜酸粒細胞缺乏也不能排除該病。痰中可找到較多的嗜酸粒細胞。血沉增快(>20mm/h)。1/3的病例血IgE升高。
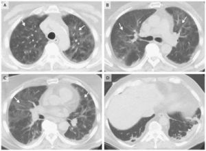
2.其他輔助檢查
肺功能的異常和嚴重程度與疾病的階段有關,典型者為中、重度的限制性通氣功能障礙、DLCO的下降。肺泡-動脈氧的梯度的升高,如果伴有哮喘則有阻塞性的改變。X線表現與胸膜相對的周圍漸進的密度增強的浸潤影,邊緣不清,呈非節段性、亞段和葉的分布,多位於肺外周2/3,而肺門處較透明,故稱為"肺水腫反轉形狀",陰影易在原處復發。潑尼松治療後陰影很快吸收。與Loffler'綜合徵相反,CEP的肺浸潤為非遷移性,很少有胸腔積液。不典型的X線表現包括結節狀浸潤、瀰漫性毛玻璃樣的肺泡填充征。胸部CT檢查對於臨床懷疑而X線表現不典型的病例可作CT檢查,CT的表現,在症狀發作的前幾周,大部分表現為典型的密度區、周圍局部的肺泡實變,當症狀持續2個月以上,可見有條索帶狀不透光區,並見縱隔淋巴結腫大。
診斷
根據病史、病程、兩肺存在哮喘音、周圍血嗜酸粒細胞增高及胸部X線陰影可作出臨床診斷。不典型者,可經肺活檢進行病理檢查,以明確診斷。必要時可用潑尼松試驗性治療以幫助診斷。
治療
潑尼松是CEP最主要的治療藥物,大多數病例用潑尼松治療後,6h內退熱,24~48h呼吸困難、咳嗽和嗜酸粒細胞浸潤減輕,低氧血症在2~3天得到緩解,1~2周X線改善,快者2~4天。症狀完全緩解在2~3周,X線在2個月內恢復正常。待症狀好轉和肺部症狀吸收後逐漸減量(10~14天),療程4~6個月,可並發嚴重的呼吸衰竭或ARDS。

