流行病學
惡性腦膜瘤惡性腦膜瘤的發生率占顱內腦膜瘤的0.9%~10.6%,平均為2.8%。男性發病多於女性,男∶女為8∶1,發病的年齡較輕。
發病機制
惡性腦膜瘤惡性腦膜瘤生長快腫瘤多向四周腦內侵入,使周圍腦組織膠質增生。隨著反覆手術切除,腫瘤逐漸呈惡變,最後可轉變為腦膜肉瘤。其中良性腦膜瘤中的血管母細胞瘤最常發生惡變。
世界衛生組織(WHO)根據組織病理學特點,將腦膜瘤分為4級,其中3級為惡性腦膜瘤,4級為肉瘤。分級的依據有6個標準:細胞數增多,結構消失,核多形性有絲分裂指數局部壞死和腦組織受侵犯這6個標準除腦受侵犯外每個標準又分為4級,即0~3級,腦受侵為1分無為0分。總分在7~11為3級屬惡性腦膜瘤,>11分為4級屬肉瘤也有人認為腦膜肉瘤不屬腦膜瘤。惡性腦膜瘤病理特點是細胞數增多細胞結構減少,細胞核多形性並存在有絲分裂瘤內有廣泛壞死。
惡性腦膜瘤可發生顱外轉移,主要轉移至肺(占35%)骨骼肌肉系統(17.5%)以及肝和淋巴系統。轉移可能與手術操作有關。此外,腫瘤侵犯靜脈竇、顱骨、頭皮,也可能是造成轉移的原因。另外惡性腦膜瘤也可經腦脊液播散種植。有人認為惡性腦膜瘤的轉移至少占腦膜瘤的1/1000。
臨床表現
惡性腦膜瘤惡性腦膜瘤的平均發病年齡明顯低於良性腦膜瘤,腫瘤多位於大腦凸面和矢狀竇旁,其他部位尤其是後顱窩少見。因此惡性腦膜瘤的病人更易出現偏癱等神經系統損害症狀。腦膜瘤的常見症狀如癲癇、頭痛等在惡性腦膜瘤中常見,但病程較短
併發症:
如進行手術治療可能發生以下併發症:
1.顱內出血或血腫 與術中止血不仔細有關,隨著手術技巧的提高,此併發症已較少發生。創面仔細止血,關顱前反覆沖洗,即可減少或避免術後顱內出血。
2.腦水腫及術後高顱壓 可用脫水藥物降低顱內壓,糖皮質激素減輕腦水腫。
3.神經功能缺失 與術中損傷重要功能區及重要結構有關,術中儘可能避免損傷,出現後對症處理。
診斷
根據臨床表現,CT及MRI的改變,惡性腦膜瘤的診斷與良性腦膜瘤診斷一樣並不十分困難
鑑別診斷注意根據臨床表現及影像檢查與良性腦膜瘤相區別,最後的確診需病理學的檢查。
輔助檢查
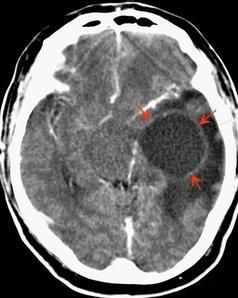
惡性腦膜瘤在CT的表現為腫瘤形態不規則呈分葉狀,可出現蘑菇征邊界不清、包膜不完整信號不均勻周圍水腫明顯,沒有鈣化。增強後腫瘤不均勻強化。腫瘤易侵犯腦組織和顱骨MRI的T1和T2像惡性腦膜瘤都為高信號。有時頸內動脈向腫瘤供血比較明顯。
治療
治療 惡性腦膜瘤的治療以手術切除為首選方法,即使復發的惡性腦膜瘤,有條件可再行手術治療。術中對侵犯的顱骨、硬腦膜儘量切除,術後再行硬腦膜修補。對於瘤周的腦組織可儘量電凝或雷射照射,對減少腫瘤殘餘,防止復發是大有益處。
為了延緩復發時間,可進行放療或同位素腫瘤內放射,有報導是有效的對於反覆復發的良性腦膜瘤有人也主張給予放療這樣對於阻止腫瘤惡變,延長復發時間可能是有幫助的。
預後預防
預後:
惡性腦膜瘤是治療效果較差的腦膜瘤,其主要問題是術後易復發,國外有研究表明,惡性腦膜瘤經手術部分切除的病人平均生存期為46個月,復發時間為5個月,而手術全切除者分別達到130個月和35個月。所以應儘量全切除腫瘤。對於惡性腦膜瘤採用以手術為主的綜合治療是提高治癒率的最佳方案。
預防:
手術儘量全部切除腫瘤,術後輔助放療有助於防治惡性腦膜瘤。

