病因
惡性胸水在晚期肺癌中常見,發生率高達60%。且常呈進行性。發病原因主要是胸膜轉移結節侵犯和阻塞毛細血管和淋巴管所致,故胸水中含有大量蛋白質和血液有形成分,血性胸水約占75%。腹水則以婦科腫瘤,消化道腫瘤和肝癌多見,同樣以血性腹水為主。
檢查化驗
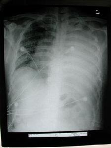
對惡性胸水做胸部X線攝片是最基礎的檢查,肋膈角變鈍提示有少量積液;大量胸水常伴有肺不張和縱隔向腱側移位,如縱隔因腫瘤固定,則縱隔移位不明顯。超聲檢查對確定胸水的含量、胸水是否包裹、知道穿刺進針方向和進針深度等均有重要意義。
對腹水患者,CT檢查不但可確定腹水的存在,而且可了解腹腔腫塊、腹膜後淋巴結情況以及腹部臟器的形態結構變化等。超聲檢查不但可確定腹水的含量,而且可幫助確定穿刺的部位、進針位置和進針深度。
血性胸、腹水大多為惡性,塗片細胞學檢查常可找到惡性腫瘤細胞。當細胞檢查學無法診斷時,必要時可通過胸腔鏡或腹腔鏡做胸、腹膜活檢,90%以上患者可得到明確診斷。
鑑別診斷
肺癌胸水:是中晚期肺癌患者較常見的併發症,最初可能對生活質量影響還不大,但隨著病程進展,會引起呼吸困難、咳嗽、胸痛等症狀,對病人的危害甚至超過了肺癌本身。肺癌胸水症狀為:腫勢嚴重,兼見氣粗喘滿,痰唌臃盛,大量粉紅色泡沫樣痰,坐位,不能躺臥,呼吸困難,可見三凹症,患者極為痛苦,有瀕死感,病情危急,為水在胸中,壓迫肺臟。
血性胸水:是指胸水外觀呈明顯血性,大於15%的漏出液和超過40%的滲出液可為血性,紅細胞計數在5000~100000/μl之間,僅需5000~10000/μl的紅細胞即可使胸水呈紅色,而且僅需1ml血液即可使500ml胸水呈血性,肉眼血性胸水的紅細胞>100000/μl。血性胸水提示創傷,惡性腫瘤或肺栓塞。
滲出性胸水:滲出性的病因很多,歸納起來為兩大類:一類是炎症性病變所致,如由細菌、病毒或真菌等感染胸膜引起感染性炎症,導致胸腔積液,或由於肺栓塞、胰腺炎、結締組織疾病等非感染性炎症引起胸腔積液;第二類是腫瘤性,如癌腫長在胸膜長或轉移侵犯胸膜引起積液,可見於胸膜間皮瘤、肺癌、乳房癌、胃癌等。漏出性胸腔積液的病因,可以是全身性疾病,如低蛋白血症、過敏性疾病,也可以是某器官的病變,如充血性心力衰竭、肝硬化、肝阿米巴病、胸導管破裂等。
漏出性(水胸)胸腔積液:當充血性心力衰竭,腎病綜合症,肝硬化等形成低蛋白血症導致膠體滲透壓降低和水鋼瀦留而引起胸水;任何原因的上腔靜脈梗阻,發生胸腔漏出性積液;部分引起腹水的疾病、經膈肌淋巴引流入胸腔造成胸水。臨床表現有咳嗽、胸部脹悶,氣促及原發病的表現,查體有胸腔積液體徵。胸水為無透明,相對密度<1.016,蛋白含量在30g/L以下,胸水和血清蛋白量的比值小於0.5;胸水的乳酸脫氫酶低於200U/L,胸水和血清的乳酸脫氫酶比值小於0.6;葡萄糖含量與血糖相仿;胸水中白細胞常完全工於1X10/L,無致病菌。
結核性胸腔積液:結核性胸膜炎是機體對結核菌蛋白成分高度過敏的反應,為兒童和青少年原發感染或繼髮結核病累及胸脯膜的後果。臨床上起病可較急,亦可緩漸,有發熱,胸痛,乾咳,同時有疲乏,消瘦,食慾缺乏,盜汗等結核中毒 症狀。乾性胸膜炎階段,胸痛隨深呼吸和咳嗽時加劇,胸膜摩擦音為重要體徵。隨著胸腔積液量的增多,患者漸感氣短,胸液為草黃色透明或舟混濁,呈毛玻璃狀,較解放後 積液可為深黃色混鼝,胸液相對密度常在1.016以上,白細胞總數為1~2X10/L,急性期以中性粒細胞為主,慢性期則以淋巴細胞占多數,間皮細胞一般少於1%;蛋白含量在25g/L以上,糖含量多在2.8mmol/L以下;胸水中溶菌酶和腺苷酸脫氨酶增高;胸液塗片和集菌均易找到結核菌,培養法約有1/3陽性。胸膜活檢1/2病例可見乾酪或非乾酪肉芽腫組織,當胸膜有炎性粘連時,可形成包裹性胸腔積液。
對惡性胸水做胸部X線攝片是最基礎的檢查,肋膈角變鈍提示有少量積液;大量胸水常伴有肺不張和縱隔向腱側移位,如縱隔因腫瘤固定,則縱隔移位不明顯。超聲檢查對確定胸水的含量、胸水是否包裹、知道穿刺進針方向和進針深度等均有重要意義。
對腹水患者,CT檢查不但可確定腹水的存在,而且可了解腹腔腫塊、腹膜後淋巴結情況以及腹部臟器的形態結構變化等。超聲檢查不但可確定腹水的含量,而且可幫助確定穿刺的部位、進針位置和進針深度。
血性胸、腹水大多為惡性,塗片細胞學檢查常可找到惡性腫瘤細胞。當細胞檢查學無法診斷時,必要時可通過胸腔鏡或腹腔鏡做胸、腹膜活檢,90%以上患者可得到明確診斷。
治療
惡性胸水的腔內用藥,其毒副作用較全身用藥輕,全身與局部相結合治療,特別是腔內用藥已成為治療惡性胸水的重要手段之一。腔內用藥的出發點在於排除胸腔積液,恢復受損的呼吸循環功能,並試圖直接殺滅癌細胞或(及)造成胸膜無菌性粘連,閉鎖胸膜腔以防胸水的復增。

