急性淋巴細胞性白血病的預防
因為大多數病例的誘因尚不清楚,大多數情況下是無法預防的。儘量減少與毒素、輻射、化學試劑等因素的接觸可能降低發病的危險性。
流行病學
急性淋巴細胞性白血病急性淋巴細胞性白血病占兒童急性白血病的80%,發病率為十萬分之六,發病高峰在3歲至7歲之間,男孩發病率略高於女孩,二者的比例約為1.1~1.6∶1。
ALL也可發生於成年人,占所有成年人白血病的20%。
根據2011年的流行病學調查顯示,該病的發病率每年新增4/10萬,就全國而言,一年新增10000多例新病例。
20世紀80年代以後,對兒童ALL的基礎和臨床研究取得了巨大的成就,兒童ALL已成為可以治癒的惡性腫瘤,是當今療效最好、治癒率最高的惡性腫瘤性疾病之一。截至2012年,小兒ALL的完全緩解(CR)率可達95%以上,5年以上持續完全緩解(CCR)率可達65%~80%。中國小兒急性白血病的發病率約為1/10萬,其中以總性淋巴細胞性白血病占多數。
病因
截至2012年,醫學界普遍認為白血病發病主要因素包括:
家族遺傳因素
染色體異常在急性白血病的發生過程中發揮一定的作用,包括21 三體綜合徵,多與白血病並發。
環境因素
主要包括:輻射因素、化學藥品因素等。
2007年到2012年期間,南京市兒童醫院血液科在調查了570例該病患兒後,又尋找了1000例正常兒童作為比對,結果研究表明,急性淋巴細胞性白血病患兒的患病原因排名前三甲的是:
1、家裝污染。
根據調查,半年內入住新裝修房的患病幾率增加4.76倍。
2、父母吸菸、飲酒。
據調查,如果雙親在懷孕前半年就一直煙不離手,酒不離口,那么孩子患病幾率分別增加3.93倍和3.1倍。
感染因素
急性淋巴細胞性白血病染色體易位Smith等研究發現孕婦宮內胎兒感染可增加5歲以下兒童患ALL的危險。感染導致ALL危險性增加的機制可能是感染導致基因組的不穩定性增加。資料證明EB病毒感染可能與L3型ALL相關,也有ALL發病與HIV感染相關的病例報告。A型肝炎病毒感染與兒童ALL高發病率有關。
改善公共衛生狀況可降低母親孕期感染及新生兒感染。對降低ALL的危險性將起到不可忽視的作用。母乳餵養可降低嬰兒感染性疾病的發生。餵養方式與兒童急性白血病(AL)的相關性報導不一,目前(21世紀初)的觀點傾向於母乳餵養可降低兒童白血病發生的危險。
與感染相關的其他因素包括免疫接種、動物接觸史、藥物套用史(如氯黴素)、季節變化等,它們與兒童白血病的確切相關性尚無定論。
免疫缺陷
先天性免疫缺陷者淋巴系統惡性腫瘤的發病率增高。
病機病理
發病機制
有關淋巴細胞性白血病發病機制的研究甚多,包括對分子遺傳改變、預後因素、分子流行病學及藥物遺傳學等方面的研究推測有兩種,可能即獲得性遺傳損傷可激活細胞的初始致癌基因或滅活腫瘤抑制基因(抗癌基因),二者均可導致腫瘤監控能力丟失使白血病細胞失控性增殖。這些遺傳學上的改變可以為點突變、基因擴增、基因缺失或染色體易位。
染色體易位在許多白血病中可以見到。易位可隱藏一個基因到新的位置,使新的初始致癌基因變為啟動子或在其他獨特基因上成為增強因子。例如在t(8;14)這個染色體易位上,免疫球蛋白重鏈基因的增強因子是與MYC基因接近的並列成分,導致Burkitts淋巴瘤。易位也可以發生在兩個基因之內,導致基因重排和嵌合蛋白,如在ALL和CML上發現的t(9;22)易位。
混合白血病(mixlingeleukemiaMLL)基因重排和11q23異常可以發生在淋巴系和髓系白血病,如Ph染色體可以在Ph染色體陽性ALL的髓系或紅細胞系的早期細胞中檢出提示鵻在ALL患者,除淋巴系統外可累及多系造血幹細胞。
病理變化
急性淋巴細胞性白血病ALL的基本病理變化主要表現為白血病細胞的增生與浸潤,此為白血病的特異性病理變化,除造血系統外,其他組織如肝臟,腦,睪丸,腎臟等組織亦出現明顯浸潤和破壞。
1、骨髓、淋巴結、肝、脾是最主要的累及器官。
骨髓大多呈明顯增生,白血病細胞呈瀰漫性片狀增生及浸潤,伴不同程度的分化成熟停滯。全身骨髓均有白血病細胞增生浸潤,椎骨、胸骨、盆骨及肋骨的浸潤最為明顯。少數患者骨髓增生低下,可伴程度不一的纖維化。
淋巴結腫大較為多見(約70%),一般為全身性或多發性的淋巴結腫大,淋巴結被累及的早期,淋巴結結構尚可辨認,白血病細胞往往僅累及淋巴結的某一區域,出現片狀均一性幼稚細胞增生浸潤,淋巴索增寬,竇變窄,初級濾泡或次級濾泡受擠壓而萎縮,晚期淋巴結結構完全破壞。
脾臟均有不同程度腫大,鏡下白髓有白血病細胞彌散浸潤,可波及紅髓及血竇,肝內白血病細胞主要浸潤門脈區及門脈區周圍,造成肝大。
扁桃體、胸腺也常被侵及。ALL胸腺受累占78.5%,其中以T-ALL最常見。被浸潤的胸腺增大,臨床表現為縱隔腫塊,尤其兒童T-ALL時腫大較為顯著。
2、神經系統。
神經系統是白血病浸潤的常見部位,ALL合併中樞神經系統損害較其他類型白血病多見,病理改變主要為腦膜及腦實質白血病細胞的局限性或廣泛性浸潤,可伴有出血、血腫、脊髓膜炎及硬膜外腫物形成的橫段性脊髓炎。蛛網膜下隙受侵常見,腦實質的累及部位依次為大腦半球、基底節、腦幹及小腦,病變部位白血病細胞呈彌散性或結節狀浸潤,浸潤周圍白質組織明顯水腫和壞死,大約20%的中樞神經系統白血病(CNS-L)患者有腦神經麻痹,以面神經(Ⅶ)麻痹最多見,其次為外展(Ⅵ)、動眼(Ⅲ)、滑車(IV)神經,而脊髓及周圍神經受累罕見。
3、泌尿生殖系統。
ALL侵犯睪丸較為常見,特別是兒童ALL,睪丸間質中可見大量白血病細胞浸潤,壓迫精曲小管引起萎縮,臨床表現為睪丸單側或雙側無痛性腫大,墜脹感。白血病細胞浸潤陰莖海綿體或因白血病細胞在靜脈竇內淤積、栓塞,血流受阻或血栓形成時可引起陰莖持續異常勃起。ALL累及腎臟者,腎包膜下可見灰白色斑點或結節以及出血點,腎盂出血點也較常見。皮、髓質散在灰白色小結節。鏡下見皮、髓質散在或灶性白血病細胞浸潤,腎小球及腎小管上皮受壓萎縮或變性壞死。
4、其他。
肺臟為白血病常累及的臟器之一,浸潤病變大多彌散,少數形成粟粒狀,甚至結節狀病灶,可侵及肺泡、肺小血管及間質,白血病浸潤最常累及支氣管旁淋巴結,可引起壓迫,也可累及胸膜,呈不同程度的瀰漫性浸潤,出現胸腔積液;口咽部也是ALL易侵犯的部位之一,並常合併感染;白血病累及心臟以心肌浸潤為主,心肌、肌束間瀰漫性及灶性浸潤,導致傳導障礙、心力衰竭。心外膜及內膜均可累及,出現心包積液。浸潤胃腸道可形成結節、潰瘍、壞死及出血,以黏膜及黏膜下層為主,有時可發生黏膜剝脫和假膜形成,病變腸段可因壞死而穿孔。從賁門至直腸均可累及,侵及食管者較少。皮膚受侵典型的改變為位於血管周圍、毛囊和皮脂腺的白血病細胞浸潤,形成單個或多個結節,呈局灶性分布。
分型
根據形態學免疫學和遺傳學分型(即MIC分型),可分為幾個亞型。治療及預後與分型密切相關。
形態學分型
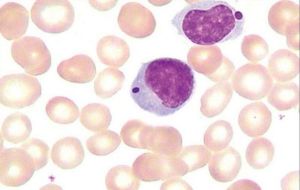
急性淋巴細胞性白血病國際通用FAB分型,即按照細胞大小、核漿比例、核仁大小及數目、胞漿嗜鹼程度將急性淋巴細胞白血病分為L1~L3三型。小兒ALL以L1型最多見,占70%左右,L2型為25%左右L3型僅占0%~4%。
1980年9月在江蘇蘇州市召開的全國白血病分類分型經驗交流討論會,對急性淋巴細胞白血病(ALL)的分型標準提出如下建議:
第一型(L1):原始和幼稚淋巴細胞以小細胞(直徑<12μm)為主,核圓形,偶有凹陷與摺疊。染色質較粗,結構較一致,核仁少而小,不清楚,胞質少,輕或中度嗜鹼。過氧化物酶或蘇丹黑染色陽性的原始細胞一般不超過3%。
第二型(L2):原始和幼稚細胞以大細胞(直徑可大於正常小淋巴細胞2倍以上,>12μm)為主,核形不規則,凹陷和摺疊可見。染色質較疏鬆,結構較不一致,核仁較清楚,一個或多個;胞質量常較多,輕或中度嗜鹼,有些細胞深染。
第三型(L3):似Burkitt型,原始和幼稚淋巴細胞大小較一致,以大細胞為主,核型較規則。染色質呈均勻細點狀,核仁明顯,一個或多個,呈小泡狀;胞質量較多,深藍色,空泡常明顯,呈蜂窩狀。
免疫學分型
根據白血病細胞表面不同的分化抗原,採用單克隆抗體及流式細胞儀,可以診斷ALL並將其分為不同亞型。通常分為T、B細胞系。
1、B細胞系ALL
根據B細胞發育階段分為早B前體細胞ALL(earlypre-B、pre-pre-B或pro-B,ALL)、普通細胞ALL(commonALL)、前B細胞-ALL(pre-BALL)、B細胞ALL(B-cellALL)。
早B前體細胞ALL主要表達HLA-DR、TdT、CD19,有免疫球蛋白重鏈基因重排;
普通細胞ALL特徵為CD10陽性,預後好;前B細胞-ALL以胞質出現免疫球蛋白為標誌,B細胞ALL以出現膜免疫球蛋白為標誌,在成人及兒童中均少見,在FAB分型中通常為L3型。
2、T細胞ALL
在成人中占15%~25%,所有病例表達CD7,根據分化程度分為pre-T(早T前體ALL)和T-ALL(T細胞ALL),部分T細胞ALL可表達CD10。多數T-ALL具有T細胞受體基因重排。
多數白血病抗原缺乏特異性,因此在診斷和區分不同亞型時應採用一組單克隆抗體,至少包含一種高敏感的標誌(如B細胞係為CD19、T細胞係為CD7、髓係為CD13、CD33)以及一種高度特異性的標誌(如胞質CD79a對於B細胞、胞質CD3對於T細胞、胞質髓過氧化物酶對於髓系細胞),據此可以診斷99%的ALL。
臨床分型
急性淋巴細胞性白血病臨床一般將ALL分為標危(standardriskSR)和高危(highrisk,HR)兩大類。1998年6月山東蓉城中華醫學會兒科血液學組“小兒急淋白細胞診療建議”分型如下:
1、與小兒ALL預後確切的危險因素:
A、<12個月鵻的嬰兒白血病;
B、診斷時已發生中樞神經系統白血病(CNSL)和(或)睪丸白血病(TL)者;
C、染色體核型為t(4;11)或t(9;22)異常;
D、小於45條染色體的低二倍體;
E、診斷時外周血白細胞計數>50×109/L;
F、潑尼松誘導試驗60mg/(m2·d)×7天第8天外周血白血病細胞≥1×109/L(1000/μl),定為潑尼松不良效應者;
G、標危ALL誘導化療6周不能獲完全緩解(CR)者。
2、根據上述危險因素健康搜尋,臨床分型分為2型:
A、高危ALL(HR-ALL):具備上述任何一項或多項危險因素者;
B、標危ALL(SR-ALL):不具備上述任何一項危險因素者,伴有或不伴有t(12;21)染色體核型和≥50條染色體的高二倍體B系。
臨床表現
淋巴結腫大較其它類型白血病明顯,多系全身輕度或中度腫大,無壓痛或於周圍粘連,質硬,縱隔淋巴結可腫大,肝脾腫大。中樞神經系統的損害較常見,中樞神經系統白血病主要是一種蛛網膜病變——腦膜白血病。其它有一般急性白血病的表現。
ALL大多為急性起病,以發熱、出血、進行性貧血及骨關節疼痛等為首發症狀,也有一部分患者起病較緩慢。ALL患者出現症狀至確診的時間通常只持續數周。
發熱
急性淋巴細胞性白血病出血發熱是白血病最常見的症狀之一。據統計66%白血病患者的發熱與感染有關,尤其是那些體溫在39~41℃的患者。由於腫瘤細胞在骨髓中的聚積,正常的造血功能受到抑制,患者出現中性粒細胞減少甚至缺乏,加上自身免疫功能減退,極易出現各種感染,感染部位以咽部、上呼吸道、肺部、腸道及尿路多見。有的患者未見局部症狀,就已可能發生敗血症。常見的感染病原菌有金葡菌、綠膿桿菌、肺炎桿菌、大腸桿菌、糞球菌等。化療、潑尼松(強的松)以及廣譜抗生素藥物的套用使患者易患真菌感染,常見為白色念珠菌、麴黴菌及毛黴菌。主要侵犯呼吸系統,在疾病晚期還易招致病毒感染及結核感染。如果體溫僅在38℃左右,要考慮患者本身腫瘤性發熱。
出血
多數病例有不同程度的出血症狀,部位可遍及全身,以牙齦出血、鼻出血、皮膚淤點或淤斑以及女性月經過多為常見症狀。視網膜出血可致視力減退或失明,顱內出血可致頭痛、噁心、嘔吐、瞳孔不等大,甚至昏迷、死亡。引起出血的原因有血小板數量的減少,血小板功能異常,血漿凝血因子減少和腫瘤細胞對毛細血管壁的浸潤等。
貧血
發病開始即有不同程度的貧血。一般Hb下降到110g/L以下,紅細胞也呈比例下降。貧血多為正細胞正色素性。貧血常隨疾病的進展而加重,出現頭暈、頭痛、心悸、耳鳴、胸悶、聽力及視力減退。貧血的原因是多方面的,正常紅細胞的增殖被白血病細胞增殖所替代或者受到優勢生長的白血病細胞的抑制。此外,無效造血、紅細胞壽命縮短,以及不同程度的多部位出血,也是導致貧血的原因。
骨及關節疼痛
約80%ALL息者可出現骨和關節疼痛。常見為胸骨局部的壓痛,自發性胸骨疼痛並不多見。壓痛的原因與骨髓腔內白細胞的增多以及骨膜的白血病細胞浸潤有關。有的患者出現遊走性關節疼痛,包括肘關節、膝關節、下頜關節等,可伴有活動障礙,而無紅腫,以酸痛、隱痛較常見,易與急性風濕性關節炎相混淆。X線拍片可見骨髓有稀疏層、骨髓腔擴大以及白細胞浸潤引起的骨質破壞。
淋巴結、肝大和脾大
75%的急性淋巴細胞白血病患者可出現淋巴結腫大,多數為全身淋巴結腫大,少數表現為局部淋巴結腫大,肝腫大約占75%,脾腫大約占85%。
神經系統表現
急性淋巴細胞性白血病視網膜病變由白血病細胞直接浸潤所致。臨床檢查及屍檢,CNS白血病合計的發病率在急性淋巴細胞白血病為74%,而急性非淋巴細胞白血病為27%。CNS白血病的初發灶在軟腦膜,腦膜上的白血病細胞積聚可導致腦脊液循環的阻礙引起顱壓增高。如果大量細胞浸潤至顱底腦神經孔部位,可以壓迫腦神經,顱內壓升高及腦神經的損害引起視盤水腫及腦神經麻痹。CNS白血病的顱內壓增高。主要表現為噁心、頭痛、心率減慢、視力模糊及腦神經麻痹等症狀,此外尚可呈現癲癇、共濟失調、昏迷、腦膜刺激征、偏癱及全癱等。
生殖系統
女性患者子宮和卵巢也可有白血病細胞浸潤,表現為陰道出血、盆腔包塊和月經不調等。男性睪丸浸潤可出現腫大,性慾減退。
呼吸系統
肺部可出現不同程度的白血病細胞浸潤,多見於復發難治患者,表現為支氣管浸潤,粟粒樣肺部病變及胸腔積液等。少數患者可以胸腔積液為首發表現。
其他
半數患者可以出現體重減輕,多汗,大量白血病細胞破壞可致高尿酸血症,出現尿酸性腎病,治療過程中還易出現水、電解質和酸鹼平衡紊亂。少數骨劇痛是由骨髓壞死引起的。
診斷檢查
診斷
急淋各亞型的診斷標準,主要是根據光學顯微鏡下形態學觀察,故血片、骨髓片應製備滿意,染色應良好,選擇治療前標本進行分型。
檢查
急性淋巴細胞性白血病急性淋巴細胞白血病可以通過外周血和骨髓細胞學檢查進行診斷。但為了把患者分為不同的亞型還須進行細胞化學染色、酶標記、免疫標記、細胞遺傳學和分子生物學分析。
1、外周血
絕大部分患者在診斷時有貧血,近1/3患者血紅蛋白低於80g/L,為正細胞正色素性貧血;同時患者可伴有血小板減少,其中30%患者血小板低於25×109/L;白細胞總數減少者約占27%,正常或輕度增加約占60%,有16%的患者在就診時白細胞總數>100×109/L。
外周血塗片分類以原始和幼稚淋巴細胞為主,可占10%~90%,粒細胞和單核細胞減少,但要注意有15%左右的患者外周血塗片找不到原始或幼稚淋巴細胞,而骨髓象可見大量的白血病細胞。
2、生化檢查
多數病人血清乳酸脫氫酶水平升高,並且與白血病細胞負荷及預後相關。白血病細胞負荷較大的病人常見血尿酸水平升高,白血病細胞浸潤肝、腎可引起肝腎功能的相應改變。
3、骨髓象
(1)、骨髓塗片:有核細胞的增生程度為活躍至極度活躍,以原始淋巴細胞為主,並有部分幼稚淋巴細胞,這些細胞占有核細胞的30%以上,細胞可大小不一,核漿發育不平衡。成熟淋巴細胞少見,核分裂象易見。破碎淋巴細胞多見。粒系細胞、有核紅細胞和巨核系細胞增生明顯受抑,比例明顯減少。根據原始淋巴細胞的形態特徵及其預後情況,FAB(英國、美國、法國白血病協作組)將其分為L1、L2、L3三型,但在WHO新近發表的分類中已被取消,理由是L1和L2的形態學與免疫學、遺傳學、臨床特徵及預後無相關性。
少數患者可因骨髓白血病細胞極度增生,骨髓穿刺時呈“乾抽”現象。極少數患者骨髓白血病細胞呈破碎狀態,塗片顯示骨髓壞死,更換部位穿刺或行骨髓活檢仍可明確診斷。
(2)、細胞化學:細胞除過氧化物酶和蘇丹黑呈陰性反應外,糖原染色在多數細胞中有陽性粗顆粒,以粗塊狀為典型表現。
急性淋巴細胞性白血病的治療
治療的目的是癌症的緩解。當外周血計數和骨髓計數正常時即已緩解。
急性淋巴細胞性白血病以抗癌藥物行聯合治療(化療)。初始(誘導)化療需住院3至6周,然而後續的化療可以門診病人的形式給予治療,如果淋巴細胞計數極低則需行隔離治療以避免接觸感染病原體。
化療由3至8種有代表性的藥物的聯合治療構成,這些藥物包括:強的松、長春新鹼、甲氨喋呤、,6-巰基嘌呤和環磷醯胺。有時有必要給予血液製品(如濃縮紅細胞、血小板)支持治療以糾正貧血和低血小板計數。發生任何繼發感染的患者需接受抗生素治療。
病情緩解之後,針對脊柱給予化療或放療以處理可能侵襲入脊髓液的任何白血病細胞。
後續治療的目的是為了防止復發,給予持續時間為一年的化療。對復發病例或其它治療無效的病例,其治療選擇是在高劑量化療後行骨髓移植。
急性淋巴細胞性白血病的預後
兒童患者的可能結果優於成年人,治癒率為80%。80%的成年人獲得完全緩解,治癒率則為30%至50%。如不給予治療,壽命預期大約是3個月。
鑑別診斷
1、第一型(L1)與第二型(L2)的鑑別
主要是按細胞大小對照細胞核與胞漿來區別,L1型以小原、幼稚淋巴細胞為主,L2型以大原、幼稚淋巴細胞為主,目前(2012年)均以細胞直徑12um來劃分,<12um為小細胞,>12為大細胞,但計數100個原始、幼稚淋巴細胞時,大細胞占多少為L2、小細胞占多少為L1?國內有人主張可將L1與L2再分為L1/L2型(以小原幼稚淋巴細胞占25%--50%);L2/L1型(以大原幼稚淋巴細胞為主,占50%以上)。因而,一般可規定大原淋巴細胞≤25%為L1型,大原淋巴細胞≥為L2型,L1多見於兒童,L3型因細胞形態特殊一般也較易辨認。
2、L2型需要和M1、M5相鑑別
一般和M5的鑑別較M1容易,原淋巴細胞核可有凹陷,切跡,核染色質呈較粗點網狀,塗片中退化細胞明顯增多,如分類500個有核細胞見到300以上退化細胞,則更支持急淋的診斷。細胞化學染色急淋時原淋細胞POX、SB染色呈陰性反應,原始細胞陽性率<3%;PAS幼稚細胞糖原增加,20%--80%的原淋巴細胞顯示陽性,呈粗顆粒狀、塊狀或環狀排列;NAP中性粒細胞活性增高;熱鹽水溶核試驗陰性反應(核不被溶解),血尿溶菌酶測定,明顯減低。
3、急淋與淋巴肉瘤白血病
淋巴肉瘤白血病,又稱白血性淋巴肉瘤,是淋巴肉瘤患者,在病情經過一定時間後,肉瘤細胞發生廣泛播散,血液、骨髓中出現較多的肉瘤細胞,稱為淋巴肉瘤白血病,由於淋巴瘤細胞分化程度不一,故表現為白血病時,細胞形態也很多樣,有時似原淋巴細胞,有時似幼淋或成熟淋巴細胞。淋巴肉瘤為淋巴結活檢組織病理命名;而急淋則為骨髓穿刺血液學命名,當淋巴肉瘤合併白血病(似急淋)時,其細胞形態與急淋細胞形態相似,無非常顯著差異,區分就很困難。全國雖多次開會討論也未取得一致意見,故有人主張,血液學工作者可按急淋診斷。
4、ALL和再生障礙性貧血
通過骨穿和骨髓活檢絕大多數極易鑑別但對於少見的低增生性ALL,尤其是全血細胞減少,骨髓增生不良,而原始細胞比例又較低時,其鑑別診斷較為困難。早年有學者提出,對於此類患者可考慮先用糖皮質激素治療,如果患者在數月之內出現迅速的細胞恢復,則ALL的可能性較大。在診斷技術已臻完善的今天,這種鑑別方法似已無必要。
5、有一些良性經過的感染性疾病,由於患者亦可能出現發熱、淋巴結腫大、脾大、血細胞減少及外周血出現異型淋巴細胞,因而需與ALL鑑別,如傳染性單核細胞增多症,該病患者以發熱、淺表淋巴結腫大、外周血中出現異常淋巴細胞為主要特徵。骨髓象是鑑別的重要檢查,ALL患者含大量的白血病細胞,血清嗜異性凝集試驗陰性,病程呈進行性惡化經過。有時傳染性單核細胞增多症與ALL可共存。ALL出現關節症狀、發熱伴貧血時也應與類風濕關節炎或系統性紅斑狼瘡等鑑別。
併發症
1、DIC(彌散性血管內凝血)
2、嚴重的感染
3、其他併發症,如皮膚損害、骨關節病變、視網膜出血、水腫、耳聾,急性腮腺炎等。
治療原則
急性淋巴細胞性白血病ALL與AML治療原則相同,也分為誘導緩解和緩解後治療兩個階段,同時更強調CNS-L(系統白血病)的防治。ALL是一種具有多種亞型的異質性疾病,應根據不同亞型給予不同治療。通常,兒童ALL病人被分為低危、標危和高危組,成人病人具有或標危或高危特徵,惟一的例外是B-ALL,需要特殊治療方案。許多醫學中心認為嬰兒ALL是特殊亞型,與兒童治療不同。
1、誘導緩解
ALL患者治療的首要目的也是誘導完全緩解(CR),恢復正常造血。
2、支持治療
ALL患者在確診時,往往多伴有感染、出血、高尿酸血症等一系列合併症,在化療進行之前應進行積極有效的治療。
(1)、抗感染;
(2)、止血;
(3)、鹼化尿液:
(4)、降白細胞;
(5)、糾正貧血:
3、化學治療
成人ALL的化療強調大劑量多種藥物聯合化療,首先是誘導緩解治療,其後是中樞神經系統白血病等髓外浸潤的預防性治療,達到完全緩解後則進行鞏固和強化治療,在強化治療的間歇期應行維持治療,總的治療時間2~3年。
4、造血幹細胞移植
大宗資料表明,成人AL雖經正規常規治療,其5年無病生存率仍低於20%,成人ALL因髓外復發及浸潤較ANLL更為多見,其長期預後更差,故目前多數學者認為成人ALL患者第一次CR後,有條件者應積極考慮行造血幹細胞移植。
5、髓外白血病的防治
由於中樞神經系統(CNS)、睪丸、卵巢和眼眶等部位的特殊生理結構,常規化療時化療藥物在這些部位不能達到有效的殺傷濃度,是造成白血病復發的主要原因,因此髓外白血病的防治,是使白血病患者持續緩解,避免復發,乃至治癒的重要環節之一。
6、難治與復發成人ALL的治療
(1)、復發的標準有下列之一者,可診斷為復發:①骨髓原始細胞(Ⅰ+Ⅱ型)或原始單核細胞幼單或原始淋巴細胞+幼淋細胞>5%,但<20%,經正規抗白血病治療一療程仍未達CR;②骨髓中上述細胞≥20%;③發現髓外白血病細胞浸潤(稱髓外復發)。
(2)、難治性白血病的概念:①經標準方案正規化療2個療程未達緩解的初治患者;②CR1後6個月內復發者(稱為早期復發);③CR1後6個月以後復發但經標準化療未達緩解者(稱為晚期復發);④復發2次或2次以上者。
(3)、治療:首先應考慮選用新的抗癌藥物,如替尼泊苷、依託泊苷、安吖啶、伊達比星、Acla並且要與其他抗癌藥聯合套用以提高療效;其次可考慮採用中、高劑量阿糖胞苷或甲氨蝶呤治療,對於再次達CR後的此類患者,若有條件宜儘早行造血幹細胞移植,此外對於此類患者還應同時進行藥敏檢測及P170的檢測,對於P170陽性的患者可在化療同時合用目前公認的對逆轉白血病細胞耐藥有效的環孢素A以求最大限度地使患者重新達到CR。
預後
影響預後的因素
急性淋巴細胞性白血病是一組異質性疾病,其轉歸除受治療影響外,患者和惡性細胞的不同生物學特徵(大多數已知特徵可通過初診時的臨床及實驗室檢查被發現)是決定不同療效的重要因素。與ALL相關的預後因素很多,各個作者限於觀察病例數的多少、觀察時間的長短不一,病例採集的非隨機性,統計學處理方法不一致,以及使用的治療方案、治療強度不統一等,提出的預後因素不全相符。目前(2012年)確立和較為公認的預後因素有以下各項。
1、年齡
是主要預後因素之一。發病時年齡為1~10歲預後最好,<1歲的嬰兒生存最差。成人隨年齡增長緩解率逐漸下降(15~25歲為92%,25~60歲為77%,>60歲為55%),緩解、生存時間更依次明顯縮短。<1歲或成人預後差還因為該年齡段患者多合併其他高危因素如高白細胞數,L2型多見,髓外及CNS浸潤多見,常伴非高二倍體核型和不良染色體易位(嬰兒為累及MLL位點的11g23異常,成人為Ph)。
2、白細胞數
對各年齡組患者的緩解率、緩解生存時間都是最重要的決定因素。診斷時白細胞和原始細胞數與緩解時間呈線性負相關,白細胞<10×109/L療效最好,>50×109/L預後多差,>100×109/L則更差,高白細胞時合併髓外浸潤多,容易發生骨髓、CNS和睪丸復發。現認為高白細胞(>30×109/L)主要是B-ALL的不良預後因素,以標準方案治療,長期緩解少見,但對T-ALL似乎影響不大。
3、達緩解時間
對緩解時間長短有重要、獨立的預後意義。誘導治療14天內達完全緩解(CR)的患者有更多機會獲得長期緩解;治療>4~6周才逐漸達到CR者,由於治療過程中未能迅速有效地減少體內白血病細胞負荷,容易產生耐藥克隆而復發率高,CR期一般較短。
4、髓外浸潤
白細胞數顯著增高的患者常同時伴有明顯的髓外浸潤,二者均代表體內白血病細胞高負荷,故有類似的預後意義。顯著的肝、脾、淋巴結腫大不利於緩解生存,但輕中度腫大則無礙預後;診斷時合併縱隔腫塊是明顯不良特徵,但有縱隔腫塊的患者因常並見其他高危因素(高齡、高白細胞數、巨脾、Ph等),分析認為不是一個獨立的預後因素;無論兒童、成人,初診時出現CNSL,通常CR率低,復發率高,生存短。
5、FAB亞型其預後價值有爭議。一般認為兒童L1的預後優於L2型,成人L1與L2型無異,L3型則不易緩解,生存時間短,但近年採用短程治療,實際轉歸有明顯改善。
6、免疫學亞型
由於治療策略的更新和強化療的套用,ALL免疫表型的預後意義近年也隨之發生較大改變。
早期前B-ALL占兒童ALL約70%,成人的50%,該免疫亞型的各年齡組患者通常預後較好。雖然多數早期前B-ALL顯示CD10,但其實際預後取決於是否同時伴Ph或表達BCR/ABL基因融合,CD10似無獨立預後意義。
前B-ALL占ALL的15%~20%,與早期前B-ALL相比,前者的骨髓、CNS復發危險高,生存較短。20%~30%的前B-ALL伴t(1;19)異常和Cyμ,是前B-ALL不良預後主要決定因素。反之,無t(1;19)異常者生存率較好。
成熟B-ALL不常見,僅占ALL<5%,形態屬L3型,對常規化療反應差,CNSL發生率高,生存短,目前採用新的強烈短程方案,使療效顯著改觀。
T-ALL占ALL的15%~20%,初診時常有高白細胞數,明顯肝、脾、淋巴結腫大,50%~60%患者有縱隔腫塊,CNSL發生率高,以上均為預後不良特徵。T-ALL對常規方案化療確實CR率低,生存差,但自使用新的強烈治療後,緩解率和生存率顯著提高,療效甚至超過ALL任何其他免疫亞型,T-ALL也隨之成為預後良好的重要標誌。
5%~10%的兒童和10%~20%的成人ALL表達髓系抗原如CD13、CD33,次為CD14、CD15等。過去認為髓系抗原陽性的ALL緩解生存差,現在認為ALL共同表達淋巴細胞系和髓系抗原既不影響CR率,也無礙緩解生存時間。
此外有人認為,CD34陽性表達對B-ALL的預後有獨立良好影響,但不影響T-ALL轉歸。
7、細胞遺傳學標記
急性淋巴細胞性白血病染色體易位染色體數量和結構的改變有重要、獨立的預後意義。無論兒童、成人,高二倍體Ⅱ組(染色體>50個,兒童多見)比低二倍體、假二倍體(成人多見)預後要好,緩解生存時間更長;成人低二倍體預後很差,但成人高二倍體Ⅰ組(染色體47~50個)也不比低二倍體更好;兒童高二倍體Ⅰ組與正常核型的預後相似;少見的近四倍體核型(染色體82~94個)預後多差。
染色體易位是ALL不良治療轉歸最有力的指征。t(9;22)(Ph染色體)和(或)BCR-ABL陽性是成人ALL最不良的預後因素之一,其發生率隨年齡增長而增加,雖然多數PhALL有望通過化療達到緩解(CR率>60%),但緩解時間大多短促(5~10個月),至今尚無單純依靠化療取得長生存的報導,因此是選擇骨髓移植(bonemarrowtransplantation,BMT)治療的適應證。
11q23異常,尤其其中的t(4;11)(q21;q23)是嬰兒ALL最常見的細胞遺傳學異常,成人與>1歲兒童比較亦較多見。t(4;11)易位和MLL基因重排與ALL的惡劣轉歸有關,多數患者難獲緩解,少數CR者也常在1年內復發,應早期選擇強烈化療或BMT。t(11;19)的預後特徵與t(4;11)相類似。
t(1,19)與Cyμ見於25%的前B-ALL,治療失敗率高,生存期短。
t(8;14)及其變異型t(2;8)、t(8;22)是成熟B-ALL的染色體標誌,主要見於L3(Burkitt)型,過去用常規化療CR率低,生存期短,採用新治療後預後顯著改觀。t(12;21)兒童多見,是預後良好因素。涉及14q11-13的染色體易位如t(10;14)t(11;14)等多見於T-ALL,常規化療預後多好。
8、其他預後不良因素
一般情況差,男性,發病時血紅蛋白>110g/L(說明白血病細胞增殖率高,在出現貧血前疾病症狀已經發展),血小板<30×109/L,骨髓高度浸潤,血清LDH水平升高,一或多種血清免疫球蛋白減少(兒童多見),原始細胞3H-TdR標記指數增加,血清轉氨酶增高等。
評價
預後因素對疾病轉歸的影回響該考慮到:
1、白血病預後因素是相互關聯和相互影響的,每個患者的預後是由多種因素共同作用的結果;
2、不同預後因素對白血病轉歸的影響是不均一的。有些因素對預後的影響相對較大(就ALL而言,年齡、白細胞數、達緩解時間、免疫表型和細胞遺傳學異常是最重要的預後因素),另一些因素的影響相對較小;
3、具有多項高危因素可能比具單項高危因素的患者預後更差。
目前(2012年)採取多因素回歸分析等方法,更有助於客觀、真實地綜合評價不同因素的預後意義和價值。
最後,所有的預後因素並非是一成不變的,隨著治療方法的進步和研究的深入,一些原先確認的因素會逐漸失去其預後意義,而新的、更重要的預後因素(如白血病新的分子標記等)也會不斷被發現。
預防
1、減少或者避免有害物質,如電離輻射、化學物質的接觸。
2、對於某些獲得性疾病可能轉化為ALL應早期給予積極治療。
求醫網急性淋巴細胞性白血病專題
急性淋巴細胞性白血病求醫網(www.qiuyi.cn)創立於2000年,是北京時代網創科技發展有限公司核心平台,我們力求打造中國最專業的醫療網站。求醫網正在努力為患者提供方便、快捷和專業的線上諮詢服務,同時建立海量信息庫為患者提供最全面的醫療信息資訊…… 詳細 >>
本詞條全部內容由詞條認領機構及智願者共同編輯,互動百科權威評審。
