基本簡介
通過離心方式得到的濃縮的尿有形成分稱之為尿沉渣(urine sediment)。尿液有形成分檢查是一項非常經典的檢驗項目,具有數百年的發展歷史,是最早出現的一種臨床檢驗技術手段。它和尿液理學檢查、尿液化學檢查共同構成尿液常規分析的全部內容,並與其相輔相成,互相彌補和互相印證。但應指出有形成分檢查對於臨床醫生了解泌尿系統各個部位的變化,對輔助泌尿系統疾病的定位診斷、鑑別診斷和預後判斷更具有明顯的套用價值。
檢查內容
尿液中顯微鏡檢查可見的有形成分種類非常多,可分為有機成分和無機成分兩大類。一些成分具有明確的病理意義,如細胞、管形、寄生蟲等具有明確診斷價值;另一些為生理性排出的成分,如各種生理性結晶、上皮細胞等,這些成分在某些情況下具有輔助診斷價值。
有機成分
尿液有形成分檢查方法標準化手冊(2).管型成分:透明管型、顆粒管型、蠟樣管型、紅細胞管型、白細胞管型、腎小管上皮細胞管型、脂肪管型、寬幅管型、血紅蛋白管型等。
(3).其他有機成分脂肪滴、粘液絲、細菌、真菌、寄生蟲、精子、前列腺液混入物、類管型等。
無機成分
(1).生理性結晶:草酸、磷酸、尿酸等成分與鈣、鎂、銨等離子結合形成各種無機鹽及有機鹽類結晶:如尿酸氨結晶、馬尿酸結晶等。
(2).病理性結晶:膽紅素結晶、膽固醇結晶、胱氨酸結晶、亮氨酸結晶、酪氨酸結晶、含鐵血黃素顆粒等。
(3).藥物結晶:磺胺類、解熱鎮痛類藥物結晶,解熱鎮痛類藥物結晶,吡哌酸結晶,造影劑類結晶。
檢查方法
尿腎小管上皮細胞(S染色)顯微鏡檢查法
2002年我國頒布的行業標準(WS/T229)《尿液物理學、化學及沉渣分析》(等同採用NCLLS-16P-1)規定為“尿液10ml,離心5分鐘相對離心力(RCF)為400g,剩餘沉澱為0.2ml,混勻後吸沉澱物約20μl,滴入玻片上,用18mm×18mm蓋玻片覆蓋後鏡檢。先用低倍鏡(10×10)觀察全片,高倍鏡(10×40)仔細觀察,細胞檢查10個高倍視野(HP),管型檢查20個低倍視野(LP)。報告方式:個細胞/HP,個管型/LP。為了便於操作,特別設計了尿液有形成分檢查系統。這些設備對檢驗科尿常規檢查標準化、規範化起到了重要的作用。
尿液塗片染色檢查
《全國臨床檢驗操作規程》第2版推薦使用Sternheimer-Malbin染色法,在1951年SternheimerR和MalbinB共同推出的尿沉渣染色方法,簡稱SM染色法,屬於結晶紫-沙黃染色法。利用結晶紫和沙黃兩種色素對尿沉渣進行染色,使得尿液中的有形成分染成不同的顏色,從而使其形態、結構顯示清晰,易於辨認,尤其是對白細胞與各種管型的檢出率明顯提高。
SternheimerR在1975年推出了一種阿利新藍-派洛寧染色法,簡稱S染色法,此法對尿液的有形成分染色效果也比較好。原理是阿利新藍可以與尿液中細胞核類和管型基質作用呈藍色,派洛寧可以與細胞漿及核糖核酸類作用呈紅色,從而對各種成分進行鑑別。
形態學檢驗
白細胞
新鮮尿液中出現的白細胞(whitebloodcell,leukocyte)主要是中性粒細胞,還有少量嗜酸性粒細胞、單個核的淋巴細胞和單核細胞。常規尿液檢查不需對尿液中白細胞進行分類。掌握尿液中各類白細胞形態特徵,對於鑑別與白細胞相似的腎小管上皮細胞和其他小型惡性腫瘤細胞、診斷各種泌尿系統疾患、判定療效具有重要意義。不染色標本不易進行白細胞分類,若採用相應的染色法則可以對尿液中白細胞進行分類。加酸處理後的尿液標本可以根據核形區別出單個核和多個核白細胞。白細胞形態示意圖見圖5。分類:中性粒細胞、單核細胞、淋巴細胞、嗜鹼性粒細胞、嗜酸性粒細胞、閃光細胞。
吞噬細胞
尿液中吞噬細胞(phagocyte)主要來源分為兩類:來自中性粒細胞的小吞噬細胞,體積為白細胞的2-3倍,主要吞噬細菌等微小物體;來自組織細胞的大吞噬細胞,邊緣多不整齊,呈圓形或橢圓形,胞質豐富,常有空泡,體積約為白細胞的3-6倍。在新鮮尿液中可見阿米巴樣偽足活動;核呈腎形或類圓形,結構細緻,稍偏位;胞漿內可見較多的吞噬物,有紅細胞、白細胞、脂肪滴、精子、顆粒狀物體,甚至其他小型吞噬細胞等。
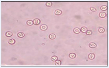
紅細胞
正常紅細胞形態腎性血尿中的紅細胞來源於腎小球部位的出血。常見於原發性腎小球疾病,如急慢性腎小球腎炎、IgA腎病、腎病綜合徵、尿毒症、隱匿性腎小球疾病、瀰漫性腎小球腎炎、系膜增殖性腎炎、局灶性腎炎、急性出血性腎炎、局灶性腎小球硬化症、腎囊腫、多囊腎。還有繼發性腎炎,如紫癜性腎炎、狼瘡性腎炎、糖尿病腎病等。
非腎性血尿中紅細胞主要來源於腎小球以下部位和尿道通路上各部位毛細血管的破裂出血。非腎性血尿常見於:泌尿繫結石,其中包括腎、輸尿管、膀胱或尿道結石;泌尿生殖系感染,如腎盂腎炎、腎結核、膀胱尿道炎、前列腺炎等;泌尿生殖系腫瘤,如腎腫瘤、輸尿管腫瘤、膀胱腫瘤、前列腺腫瘤、前列腺增生等。
上皮細胞
尿液中脫落的上皮細胞(epithelium)多來自泌尿系統的腎小管、腎盂、輸尿管、膀胱、尿道等處,陰道脫落的鱗狀上皮細胞亦可混人尿液中。腎小管內為腎小管立方上皮細胞所覆蓋;腎盂、輸尿管、膀胱和尿道近膀胱處的表面由移行上皮細胞覆蓋;輸尿管下部、膀胱、尿道和陰道表層為復層鱗狀上皮細胞覆蓋。這些部位出現病變,相應的上皮細胞在尿液中異常增多。
病毒感染細胞
檢驗尿液沉渣中的病毒感染細胞及其包涵體(inclusionbodies),是診斷泌尿系統病毒感染的可行手段之一。包涵體是某些病毒在易感細胞的胞漿或胞核內進行增殖、複製時聚集而成的小體。通常可用瑞-吉染色法進行顯微鏡檢查,若能仔細查驗,可獲得一定的陽性率。觀察細胞被病毒感染的特徵和包涵體,結合臨床資料進行綜合分析判斷。具有一定的診斷價值,尿液中可檢出的病毒包涵體有:①巨細胞病毒包涵體;②人乳頭瘤病毒包涵體;③人多瘤病毒包涵體;④單純性疤疹病毒包涵體;⑤麻疹病毒包涵體;⑥流行性腮腺炎病毒包涵體。
管型
管型(cast)是有機物或無機物,如蛋白、細胞或結晶等成分,在腎小管(遠曲小管)和集合管內凝固聚合而形成的圓柱狀物體,因此也被稱為柱狀體(cylinder)。管型是尿液中的重要病理性成分,尿液中出現管型往往提示腎臟有實質性損害。
管型一般多呈直或彎曲的圓柱體,其長短粗細不一,但兩長邊多平行、末端多鈍圓。因管型只在腎小管或集合管內形成,其外形長短和粗細,基本可反映腎小管和集合管內腔的形狀。尿液管型的主要類型有透明管型、顆粒管型、細胞管型、蠟樣管型及其他特殊形態的管型。
結晶
為了便於檢驗報告臨床分析,本文將尿液內結晶分為生理性結晶和病理性結晶兩類。生理性結晶多來自食物及機體的正常代謝,一般無臨床意義。但有些結晶(如草酸鈣結晶),雖為正常人進食植物性食物後尿液中出現的結晶,但當其大量持續出現於患者新鮮尿液內時,也可能作為尿路結石診斷依據。
生理性結晶包括草酸鈣結晶、尿酸結晶、非結晶形尿酸鹽、磷酸鹽結晶、尿酸銨結晶、碳酸鈣結晶。
病理性結晶包括膽紅素結晶、胱氨酸結晶、亮氨酸結晶、酪氨酸結晶、膽固醇結晶、含鐵血黃素顆粒。
除了生理性結晶和病理性結晶外,還可因患者使用各種治療性藥物使尿液中可見到的藥物性結晶(drugcrystal)。藥物結晶主要有:使用放射造影劑(contrastmedium)如碘泛影劑、尿路造影劑等形成的結晶、磺胺類藥物結晶、青黴素結晶。
常見細菌
在正常生理情況下,腎臟、輸尿管和膀胱是無菌的,尿道也是無菌的。新鮮排出的尿液是基本無菌的,非離心尿液塗片、乾燥、染色後鏡檢,平均每油鏡視野中細菌數量應該<1個。當尿液中攜帶的細菌的數量超過104-105/ml時,可稱為菌尿(bacteriuria)。引發尿路感染的細菌有些可在尿液中查到,根據形態學可辨認的細菌有桿菌、葡萄球菌、鏈球菌、真菌、酵母菌等。在尿液有形成分檢查過程中,若可識別出的細菌數量較多時,應在報告中大致描述其種類和形態,並應及時向臨床醫生提出進行尿液細菌培養和鑑定的建議。常規尿液有形成分檢查一般不需確認細菌存在與否,更不能確認細菌種類,但可以做提示性報告。

