發現
發現者是G.Retzius和A.key(1876),而Fr.Nissl於十九世紀八十年代對尼氏小體首先確立了初期的固定染色方法,命名者則是von Lenhossek(1896)。尼氏小體呈粒狀、微粒狀或虎斑狀(tigroid),分散在神經胞質的內部(由於在脊髓前角的運動神經細胞內的尼氏小體是典型的虎斑狀,所以又稱為虎斑樣物質)。在軸突和軸丘(axotnhillock)內不含尼氏小體,很早就推斷這種物質是核蛋白,但在查明它能被核糖核酸酶分解、能吸收紫外線、並具有富爾根陰性反應以後,進而用電子顯微鏡檢查,確認它是糙面內質網的核糖體。根據尼氏小體的光學顯微鏡照片,認為這是在標本製作過程中起了變化的產物。尼氏小體從來就受到重視,因為它是作為表示神經細胞功能活性的形態指標。由於軸突的切斷、過分的刺激、高齡,這種顆粒會破碎並逐漸消失(亦稱為尼氏小體消失;von Lenhos-sek稱此為虎斑融解;H.G.Marinesco稱此為染色質融解)。
特性
在尼氏小體內可看到與切斷後的軸突的再生和延長有關連的變化。並且,隨後漸漸恢復最初的數量。尼氏小體在細胞質內重新出現時,首先是從核的附近開始,然後再向細胞邊緣發展。
臨床意義
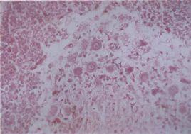
尼氏小體染色方法的改進及其在神經病理學研究中的套用
組織或細胞的染色在病理學診斷、科學研究和教學工作中,都具有非常重要的意義和使用價值。組織切片染色的質量好壞對於醫學診斷,科研和教學至關重要。在傳統的Toluidine Blue(甲苯胺藍)染色過程中,僅考慮對細胞核和尼氏小體進行染色,未考慮細胞漿和其他細胞器:而改進後的甲苯胺藍染色方法在甲苯胺藍染色後用伊紅再染色,既考慮對細胞核和尼氏小體進行染色,也對細胞漿進行了染色。結果顯示傳統的Toluidine Blue染色結果光鏡下觀察,細胞核和尼氏小體都可見,即尼氏小體為深藍色,細胞核為藍色,染色背景為淡藍色;改進後的染色結果光鏡下觀察,尼氏小體為紫藍色,細胞核為藍色,染色背景為粉紅色。可見,改進後的染色方法染出的組織切片比傳統的要清晰、美觀。隨著科學技術的飛速發展,病理學的研究也隨之發展,病理技術勢必進一步提高,來適應科技的進步和醫學的發展。改進的尼氏小體染色法能夠使腦組織切片更清楚觀察,更有利於醫學工作者對神經組織及尼氏小體的研究。

