疾病簡介

基本概念
小兒純紅細胞再生障礙性貧血(pureredcellaplasia鶒,PRCA)僅有紅細胞系統的發育障礙,

發病原因
小兒純紅細胞再生障礙性貧血的發病原因尚未完全明確,少數患者有家族史,故考慮為先天性基因異常,可呈現常染色體顯性或隱性遺傳。患者可能與C-Kit原癌基因突變和(或)SI基因突變有關。血漿和尿中的紅細胞生成素增高,經檢測患兒血漿中的紅細胞生成素不存在質的異常,但將紅細胞生成素與骨髓細胞一起孵育,前者對幼紅細胞分化無促進作用。在骨髓細胞培養時若加入白細胞介素-3則可使紅細胞分化,因而認為紅細胞系的定向幹細胞存在質的異常。近年來發現患者血中的T淋巴細胞抑制自身骨髓的紅系形成單位(CFU-E)和周圍血中紅系爆式集落形成單位(BFU-E)健康搜尋,但對腎上腺皮質激素不敏感的患者,則未發現此種現象。亦有人發現患者周圍血及骨髓中T抑制細胞增多經潑尼松(強的松)治療後降至正常。

(2)繼發性獲得性純紅再障:本病繼發於多種不同疾病,表現為單純紅系造血嚴重抑制的一組綜合病徵其中半數以上繼發於胸腺瘤,表現為慢性型。其他為繼發於溶血性貧血、病毒感染(如EB病毒流感病毒等)、惡性腫瘤、系統性紅斑狼瘡、重度營養不良等疾病或為藥物(如氯黴素、苯妥英鈉等)和化學物品中毒所致。
發病機制
小兒純紅細胞再生障礙性貧血的確切的發病機制尚不清楚,但由於胸腺為免疫器官健康搜尋,與細胞免疫有關,多數病人套用皮質激素或其他免疫抑制治療療效顯著,故推測本症也與免疫功能異常有關。
1、先天性純紅細胞再生障礙性貧血 在體外培養中,DBA患者骨髓紅系祖細胞(BFU-E)及(CFU-E)顯著減少,引起紅系祖細胞增殖及分化缺陷的原因是內在的還是外在的,各國學者圍繞這個問題做了多方面的實驗研究。目前較一致的觀點認為,DBA患者紅系祖細胞有內在性質的異常健康搜尋從而導致其對多種調控紅系祖細胞分化與增殖的造血細胞生長因子(HGFs)反應性降低。有DBA患者發生白細胞減少和(或)血小板減少及白血病的報導。對28例抗皮質醇的DBA患者進行了13年的治療隨診,檢測外周血細胞計數及骨髓檢查和活檢,並進行了長期培養始動細胞(longtermcultureinitiatingcell,LTC-IC)分析測定,發現75%的患者發生中重度的全面的骨髓造血不良造血不良合併中性粒細胞減少占43%和(或)血小板減少占29%LTC-IC分析測定的結果示DBA患者的克隆形成細胞產生明顯減少,研究結果提示嚴重而頑固的DBA患者的缺陷不僅局限於紅系造血,也可能存在三系造血不良。

最近對調控紅系造血分化進行研究發現健康搜尋,SCL基因mRNA及其蛋白水平在DBA患者鶒是正常的,但其他的兩個蛋白(E47和HEB)是減少的另外一個早期起作用的紅系生長因子IL-9加入到SCF、IL-3及EPO中能明顯增加對SCF有反應的DBA患者體外BFU-E鶒的生長,但單獨加入IL-9沒有反應,IL-9似乎是協同SCF起作用。對IL-9基因的研究發現IL-9及其他的基因位於5q31-32.2的主要造血區域對於這個區域健康搜尋的連鎖分析提示,DBA的缺陷不是由5q造血區域內的已知或未知的基因所控制的。
一些患者對皮質醇治療有反應提示這種疾病可能存在免疫學異常健康搜尋,但無法確定引起紅系造血異常的免疫學異常的範圍。Fas配體(FasL)是存在於活性T細胞和自然殺傷細胞表面的膜蛋白,FasL與靶細胞表面的Fas結合能誘導凋亡,血清中存在可溶性Fas配體(sFasL),也能與Fas結合誘導凋亡在大多數DBA患者,sFasL的血清濃度增高,提示在DBA有細胞毒性作用出現,血清sFasL增高的原因不明在一些患者可能有淋巴細胞介導的紅系集落形成受抑,因此可能在DBA患者有淋巴細胞產生過多的sFasL,這一點需要在將來的研究中進一步證明。
2、兒童一過性原始紅細胞缺乏症 TEC的患兒在診斷前2個月多有感染的病史,通常為病毒感染,使紅系造血受抑出現貧血症狀。主要認為是微小病毒引起的因為微小病毒能抑制紅系造血正常的患者CFU-Es的生長,但只有20%的患者能查到特異性抗體,二者之間的因果關係尚未被證實,需進一步進行微小病毒抗原和DNA檢測。TEC患者的外周血和骨髓細胞培養,發現半數患者的紅系祖細胞減少。貧血的患者,其血清EPO水平增高。部分TEC患者的血清中可檢測到抗正常組細胞的IgG或抑制因子也有細胞免疫介導的祖細胞抑制的報導鶒。TEC是由於某種病毒感染了CFU-E引起的,患者產生了直接抗紅系祖細胞的抗體IgG,需產生抗獨特型抗體後這些患者才能恢復。
臨床表現
小兒純紅細胞再生障礙性貧血起病緩慢鶒,明顯的貧血多於出生後2~3個月出現,約有15%的病兒於出生後數天內發病,但也有至1周歲時甚至在6周歲時開始出現症狀。早產兒的發病數較高鶒,病兒中約1/3合併先天性畸形如拇指三指節畸形先天性心臟病、尿道畸形、斜視或表現為Turner綜合徵的外貌,但染色體核型正常或為XX/XO嵌合體。臨床除畸形外,貧血是惟一的症狀,無出血現象。除合併心衰時外肝脾不腫大。

2、繼發性獲得性純紅再障(1)本病多見於成年人兒童較少見。臨床表現為純紅細胞再障(2)臨床可分為兩種類型,繼發於胸腺瘤者常為慢性型,而繼發於其他疾病,如溶血性貧血、病毒感染、藥物中毒等,常為急性一過性。(3)臨床除有貧血外均有原發病的表現。如胸腺瘤可有縱隔腫塊嚴重者可造成氣道壓迫或刺激症狀藥物中毒者有相應的藥物接觸史。繼發於溶血性貧血者常表現為再障危象。繼發於其他疾病如病毒感染、自身免疫性疾病、惡性腫瘤等均有明顯原發病症狀和表現。
治療方法
1、輸血 對類固醇反應不良的病人需要輸血維持鶒,最好採用懸浮紅細胞,不需輸全血當血紅蛋白下降至70g/L(7g/dl)左右鶒,臨床出現食欲不振無力和有心衰可能時才考慮輸血。反覆輸血可導致含鐵血黃素沉著症,對於此類病人最好採用可攜帶的皮下輸液泵,輸注去鐵胺(去鐵敏)50mg/(m2·d),同時加維生素C100mg,每天連續輸注8~16h,可減輕或推遲發生含鐵血黃素沉著症3.脾切除術 有些患兒經過較長時間的反覆輸血,逐漸出現脾功能亢進,需要輸血的間隔越來越短,並出現粒細胞與血小板減少。經過輸入51Cr標記的紅細胞,發現紅細胞壽命縮短紅細胞若主要在脾臟破壞,則做脾切除術後可減少輸血次數鶒。

鑑別診斷
小兒純紅細胞再生障礙性貧血需與以下疾病鑑別:
1.暫時性紅細胞增生減低症(transienterythroblastopenia) 此病多發生在1~4歲,有病毒感染史,貧血較輕,部分病兒有粒細胞減低,血紅蛋白F不增高多自然恢復等。

3.急性淋巴細胞白血病 部分患者的骨髓中可見淋巴細胞增多,需與急性淋巴細胞白血病鑑別。
4.營養性貧血 先天性純紅細胞性再生障礙性貧血與兒童期常見的各類營養性貧血鑑別如缺鐵性貧血(IDA)和因葉酸或維生素B12缺乏的巨幼紅細胞性貧血多發生於生後數月,嚴重者也可達中重度貧血,須加以鑑別。但營養性貧血一般多有明顯誘因或營養不良病史,均有紅細胞形態學檢驗指標(MCV,MCH,MCHC)明顯異常如IDA為小細胞低色素性貧血,葉酸和維生素B12缺乏則有血細胞巨幼樣變套用葉酸、維生素B12或鐵劑進行補充治療後療效顯著。
5.先天性純紅再障與獲得性純紅再障鑑別 先天性純紅再障與獲得性純紅再障的造血系統病變特徵類似治療方法也基本相同。但先天性純紅再障起病早常於生後1個月內發病部分病兒伴有明顯先天畸形。而獲得性純紅再障起病一般較遲,獲得性繼發性純紅再障常有明顯的原發病因可尋。
診斷方法
小兒純紅細胞再生障礙性貧血的診斷根據發病年齡、網織紅細胞和骨髓中單純紅系增生低下等診斷不難。但須注意是否用過腎上腺皮質激素。此類激素可使紅系增生,造成確診困難1.繼發性獲得性純紅再障 正細胞正色素性貧血可排除各類兒童期常見營養性貧血無白細胞和血小板減少。骨髓象呈純紅再障表現,繼發於各類原發性疾病者診斷並不困難。2.先天性純紅細胞性再生障礙性貧血 Diamond曾提出本症鶒的診斷要點如下。(1)從嬰兒期開始的原因不明的中度或重度貧血。(2)網織紅細胞減少(3)白細胞和血小板正常。(4)骨髓幼紅細胞減少或缺如。(5)部分伴有先天畸形。
並 發 症
小兒純紅細胞再生障礙性貧血的併發症很多,合併先天性畸形、先天性心臟病、尿道畸形Turner綜合徵;貧血重者可合併心衰;繼發於溶血性貧血者常發生再障危象;部分病兒可伴低丙種球蛋白血症;長期貧血可致生長發育落後,重症病兒可因反覆輸血導致血色病;胸腺瘤嚴重者可造成氣道壓迫或刺激症狀。
實驗室檢查
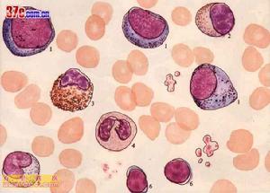
1.血象 外周血紅細胞計數和血紅蛋白值下降,一般呈嚴重的正細胞、正色性貧血。個別病人初生時血紅蛋白可低至100g/L以下,網織紅細胞明顯減少或消失一般網織紅細胞<2%1個月時血紅蛋白可低至20~80g/L。血紅蛋白F高於同年齡;白細胞與血小板正常或有血小板輕度增多現象。但如繼發於溶血性貧血者則可有原發疾病所特有的紅細胞形態異常健康搜尋。白細胞和血小板無異常鶒。

預防及預後
1、預防小兒純紅細胞再生障礙性貧血的的預防很關鍵,先天性純紅再障病因不明,有明顯的家族遺傳傾向因此應重視做好遺傳學諮詢工作。預防繼發性獲得性純紅再障,應積極防治重度營養不良、病毒感染、惡性腫瘤等疾病,同時應避免化學物品中毒和慎用氯黴素、苯妥英鈉等。
2、預後大多數小兒純紅細胞再生障礙性貧血的患者在就診時血紅蛋白已達到最低點,因貧血引起心血管合併症時可給予輸血治療,無明顯症狀的進行觀察,無需治療繼發性獲得性純紅再障預後良好大多數在診斷後1~2個月內恢復正常部分患者就診時已開始恢復健康搜尋,只有10%的患者恢復期達4個月以上,最長的8個月。
