子宮體癌病因
子宮體癌多見於延遲絕經、功能性子宮出血、多囊卵巢、卵巢性腺間質腫瘤(如顆粒細胞瘤等)以及絕經後長期服用雌激素的婦女,說明長期接受內源性或外源性雌激素刺激子宮內膜而無周期性的孕酮抑制,可能是導致本症的因素之一。
子宮體癌子宮體癌多見於肥胖、糖尿病或糖耐量異常以及高血壓婦女,有人稱之為子宮體癌“三聯症”。多發生於未婚、未育及少育者,可能與子宮內膜接受雌激素刺激時間較長有關。家族中婦女有癌腫史者,子宮體癌發生率也增加,說明此瘤可能與遺傳有關。
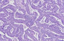
病理變化
(1)肉眼觀,子宮內膜癌分為瀰漫型和局限型。瀰漫型表現為子宮內膜瀰漫性增厚,表面粗糙不平,灰白質脆,常有出血壞死或潰瘍形成,並不同程度地浸潤子宮肌層。局限型多位於子宮底或子宮角,常呈息肉或乳頭狀突向宮腔。如果癌組織小而表淺,可在診斷性刮宮時全部刮出,在切除的子宮內找不到癌組織。
(2)鏡下,癌組織可呈高、中、低分化,以高分化腺癌居多。①高分化腺癌:腺管排列擁擠、紊亂,細胞輕度異型,結構貌似增生的內膜腺體;②中分化腺癌:腺體不規則,排列紊亂,細胞向腺腔內生長可形成乳頭或篩狀結構,並見實性癌灶。癌細胞異型性明顯,核分裂像易見;③低分化腺癌:癌細胞分化差,很少形成腺樣結構,多呈實體片狀排列,核異型性明顯,核分裂像多見。在高分化子宮內膜腺癌中,若伴有良性化生的鱗狀上皮,稱腺棘癌(adenoacanthoma);腺癌伴有鱗癌上皮成分,則稱為腺鱗癌。
子宮體癌症狀
1、陰道出血
絕經後出現陰道持續性或不規則出血;尚未絕經者可有月經過多或不規則出血。
2、陰道排液
少數病人在病變早期有水樣或血性排液增加,晚期並發壞死感染時,可出現惡臭膿血分泌物。
3、疼痛
一般僅發生在晚期,當子宮頸管被癌腫組織堵塞導致宮腔積血或積膿時,可出現下腹脹痛或癌瘤刺激宮縮而引起疼痛,晚期癌浸潤盆壁時,可出現腰腿痛。
4、檢查
對絕經期延遲、不孕或生育稀少而多年不育者,或合併有肥胖、高血壓、糖尿病之老年婦女,凡有下列情況之一者,應懷疑子宮體癌:
1.絕經前後不規則陰道出血,特別是絕經較長時間後又出現不規則陰道出血者;
2.生育期子宮出血久治不育者;
3.宮腔內有持續排液者。
5、婦科檢查
子宮大小正常或稍大而軟,陰道及宮頸無明顯病變,有時可見息肉樣組織自宮頸口向外突出;當宮腔積血或積膿時子宮可顯著增大並有囊性感;晚期可在子宮旁捫到轉移結節或包塊。
6、分段論斷性刮宮
先用小刮匙刮宮頸管,後探測宮腔深度並環刮宮腔,注意刮取兩側宮角組織。當刮出物多且呈豆腐渣樣時,則子宮體癌可能性極大,應停止繼續搔刮,以避免子宮穿孔、出血及癌腫擴散。將刮出物分別標明送病理檢查。
7、細胞學檢查
從陰道後穹窿取材作塗片查瘤細胞,陽性率較低;從宮腔吸液中找癌細胞可顯著提高診斷的準確率。
腫瘤的擴散
子宮內膜癌一般生長緩慢,可局限於宮腔內多年,轉移發生較晚。擴散途徑以直接蔓延和淋巴道轉移多見,血道轉移比較少見。
1.直接蔓延 向上可達子宮角,相繼至輸卵管、卵巢和其它盆腔器官;向下至宮頸管和陰道;向外可侵透肌層達漿膜而蔓延至輸卵管卵巢,並可累及腹膜和大網膜。
2.淋巴道轉移 宮底部的癌多轉移至腹主動脈旁淋巴結;子宮角部的癌可經圓韌帶的淋巴管轉移至腹股溝淋巴結;累及宮頸管的癌可轉移至宮旁、髂內外和髂總淋巴結。
3.血行轉移 晚期可經血道轉移至肺、肝及骨骼。
臨床病理聯繫
早期,患者可無任何症狀,最常見的臨床表現是陰道不規則流血,部分患者可有陰道分泌物增多,呈淡紅色。如繼發感染則呈膿性,有腥臭味。晚期,癌組織侵犯盆腔神經,可引起下腹部及腰骶部疼痛等症狀。
分型
根據癌組織的累及範圍,子宮內膜癌臨床分期如下:Ⅰ期,癌組織局限於子宮體;Ⅱ期,癌組織累及子宮體和子宮頸;Ⅲ期癌組織向子宮外擴散,尚未侵入盆腔外組織;Ⅳ期,癌組織已超出盆腔範圍,累及膀胱和直腸黏膜。Ⅰ期患者手術後的五年生存率接近90%,Ⅱ期降至30%-50%,晚期患者則低於20%。
子宮體癌治療
根據臨床分期和腫瘤分化程度以及患者全身狀況決定治療方案。採用以手術治療為主,並輔以放療、激素及化學治療。
手術治療:治療子宮體癌的主要方法,應根據臨床分期來決定手術範圍,行全子宮切除術或如廣泛性子宮切除及盆腹腔淋巴清掃術。
放射治療:包括腔內照射及體外照射。單純放療僅用於晚期癌無法手術切除的患者,也用於年齡過大合併其他疾病不宜手術治療的各期癌患者。對手術病人,可於手術前後加用放療。
孕激素治療:高效孕酮類藥對控制癌腫的發展有一定效果,現作為治療子宮體癌的常規措施之一。當癌細胞中雌孕激素受體較多時,對孕激素治療效果敏感,甚至有治癒者。但用藥劑量要大,時間要長。長期套用孕激素治療須定時檢查肝功。化療般認為療效不佳。

