病因介紹
外陰硬化性苔蘚臨床表現
臨床症狀為外陰瘙癢、性交痛及發生皸裂時有燒灼樣感或疼痛,因騎車、排便或性交時會陰部皮膚裂開。其典型特徵是外陰萎縮,小陰唇變小、甚至消失,可與陰蒂粘連。大陰唇變薄,陰蒂萎縮而其包皮過長;皮膚顏色變白、發亮、皺縮、彈性差,常伴有皸裂及脫皮。病變對稱,可累及會陰及肛周而呈蝴蝶狀。早期病變輕,皮膚紅腫,出現粉紅或象牙白色丘疹,丘疹融合成片後呈紫癜狀;病變進一步發展形成典型的臨床表現;晚期皮膚菲薄、皺縮似捲菸紙或羊皮紙,有皮下出血,呈對稱性分布,陰道口攣縮狹窄。嚴重者排尿困難,尿液浸漬外陰菲薄皮膚,造成糜爛和刺痛。硬化性苔蘚極少進展到浸潤癌,浸潤癌周圍可以有硬化性苔蘚。
幼女患兒瘙癢症狀不明顯,可能在大、小便後感外陰或肛周不適。幼女和部分成年婦女硬化萎縮表現為陰蒂腫脹,小陰唇缺如,陰唇後聯合有白色斑片,大陰唇皮膚可保留一定彈性。幼女病變過度角化不似成年人明顯,檢查見局部皮膚呈珠黃色或與色素沉著點相間形成花斑樣,若為外陰及肛周病變,可呈現鎖孔狀或白色病損壞。多數患兒病變在青春期可能自行消失。
病情檢查
1.分泌物鏡檢。
2.活組織病理檢查。
病情診斷
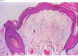
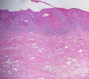
根據患者有外陰瘙癢及典型好發部位、臨床表現,局部色素脫失且呈白色斑片,病理檢查有角化過度,棘細胞層萎縮,真皮水腫和膠原纖維變性,可作出診斷。
治療方法
1.一般治療
保持外陰清潔、乾燥,禁用刺激性藥物或肥皂清洗外陰,忌穿化纖內褲,不食辛辣和過敏食物。對瘙癢症狀明顯以致失眠者,加用鎮靜、安眠和抗過敏藥物。
2.局部藥物治療
本病以奇癢為主,套用糖皮質激素治療,效果肯定。常用1%~2%氫化可的鬆軟膏或0.025%氟輕鬆軟膏,3~4次/日。用藥後6周,皮損可恢復正常。丙酸睪酮局部塗擦是治療硬化性苔蘚的標準方法,療效因人而異,部分萎縮皮膚可恢復正常,有的病變有所改善,也有無明顯療效者。
3.皮下注射
瘙癢頑固、表面用藥無效者可用曲安奈德混懸液皮下注射。如此法未達到目的,患者仍瘙癢,可在區域麻醉阻滯下,皮下注射純酒精。應注意不能將酒精注入皮內,否則會導致皮膚壞死。皮下注射酒精能完全緩解瘙癢,但不能解除外陰皮膚燒灼感。
4.手術治療
對病情嚴重或藥物治療無效者,可行表淺外陰切除或雷射切除,雷射切除僅能切除表皮病變,而對表皮下的真皮病變無效;手術切除復發率高,不僅在切除邊緣,甚至移植皮膚也可復發。本病惡變機會極少,很少採用手術治療。

