基本信息
疾病名稱:增生性外毛根鞘瘤
增生性外毛根鞘瘤疾病別名:增生性毛髮囊腫\增生性毛囊囊腫
疾病分類:皮膚性病科
疾病概述
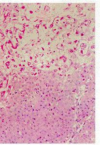
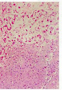
增生性外毛根鞘瘤道病理改變:
(1) 腫瘤組織境界清楚;
(2)為大小不一、形態不一的鱗狀上皮團塊,周邊細胞呈柵欄狀排列,外有玻璃樣膜;(3)腫瘤上皮團塊內可發生囊腔,內有無定形角質;
(4)腫瘤細胞有程度不同的異型性,可出現鱗狀渦。
疾病描述
增生性外毛根鞘瘤又稱增生性毛髮囊腫,增生性毛囊囊腫,增生性峽部-退化期腫瘤,增生性外毛根鞘囊腫及頭皮毛髮腫瘤。
症狀體徵
本病常見於60歲以上的婦女,主要發生於頭皮,也見於背部。損害初為皮下結節,漸增大,直徑為0.4~1 cm,可形成斑塊,高出皮面或呈分葉狀。有時破潰而酷似鱗狀細胞癌,通常單發,偶有2個皮損。如有迅速增大,表明惡變,可引起區域性轉移。可稱之為惡性增生性外毛根鞘瘤。
病理生理
此瘤位於真皮或皮下組織,邊界清楚,可與表皮相連,呈分葉狀、實質性、囊狀或蜂窩狀。腫瘤由外毛根鞘細胞組成,周邊基底樣細胞呈柵狀排列。外周為PAS陽性的增厚玻璃膜,腫瘤團塊中央可形成囊腔,內含無定型角質及小的鈣化灶。有時瘤團內可見鱗狀鏇渦、表皮樣角化及角珠。瘤細胞可有不同程度的異型及個別角化。惡性增生性外毛根鞘瘤的細胞異型明顯,可侵入周圍組織。
診斷檢查
診斷需結合臨床及病理改變。主要與鱗狀細胞癌相鑑別。後者無外毛根鞘角化,角化過程為逐漸性,而此瘤邊界清楚,角化突然。也應注意與外毛根鞘癌鑑別,後者細胞異型明顯。
治療方案:手術切除。
安全提示
惡性增生性外毛根鞘瘤十分罕見,患處多見於60歲以上婦女的頭皮,也可發生於背部等處。一般是在增生性外毛根鞘囊腫的結節基礎上迅速增大,發生惡變,可引起區域或全身性轉移。治療應首選手術、放療,晚期病人可考慮化療。

