增殖腺
增殖腺而現在有許多兒童得增殖腺腫大,會堵塞呼 吸道。手術可以根除、 ;增殖腺肥大只有在青春期以前的兒童才會發生增殖腺肥大的疾病,這是一種在扁桃體上方、靠近咽部後方發生腫大的一種疾病。增殖腺具有協助身體防禦系統對抗呼吸感染的作用,只有在他們長得過於肥大時才會引起疾病。在正常情況下,增殖腺在孩子三歲時開始擴大,此時正是孩子最容易受到感染的時候,增殖腺在這個時候開始擴大,可能是為了給孩子的肺臟及胸部更多的保護。孩子到了五歲的時候,增殖腺開始萎縮,到了青春發動期時,增殖腺已完全消失。但在少數情況下,它們仍繼續大長,最後終於阻塞了從鼻腔到咽部的氣道、從中耳到鼻腔的氣管開口處,或者是把兩者都阻塞起來。
肥大的增殖腺堵塞咽鼓管和/或後鼻孔,咽鼓管阻塞常引起復發性急性,慢性或分泌性(漿液性)中耳炎(中耳積液);阻塞後鼻孔可引起張口呼吸,阻塞性睡眠呼吸暫停,閉塞性鼻音及鼻孔流出膿性分泌物。慢性副鼻竇炎,臨床上常見慢性增殖腺炎。
檢查方法
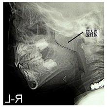
腺樣體增大的診斷主要是拍X線鼻咽部側位片,因為進行鼻咽鏡和鼻咽部指診的檢查很難取得兒童的合作,而且還不能準確測量鼻咽腔的寬度和阻塞的程度。要做好腺樣體的測量,就需要拍一張高質量的X光片,那么怎么樣拍鼻咽部側位片呢?
鼻咽部側位片的投照方法:病人取坐位或站立側位,頭部略上抬,使眶耳線平行於地面,矢狀面與暗盒平行,中心線通過外耳孔前方和下方各2厘米處,膠片距在120CM左右。
測量方法:1.腺樣體厚度的測量:腺樣體最突點至枕骨斜坡顱骨外側面的垂直距離為腺樣體厚度:
圖1;2.腺樣體長度的測量:使用平行曲線法,沿C3椎體前軟組織前緣向上劃與頸椎相平行的直線,上行至軟齶後下緣,水平轉折向前向上劃與軟齶後上緣平行的弧線至硬齶後部,此線與突入鼻咽腔的腺樣體後、前緣相交為B、A兩點,AB間距為腺樣體長徑
增殖腺3.鼻咽通氣道的寬度:硬齶後端至翼板與顱底交點間的距離為鼻咽通氣道的寬度。
增殖腺(圖3)
以腺樣體厚度與鼻咽通氣道的寬度的比值(A/N)可判斷腺樣體的肥大程度:0.5-0.6為正常;0.61-0.70為中度肥大;0.71以上為病理性肥大。腺樣體肥大多與齶扁桃體炎同時存在,X線片上顯示齶扁桃體肥大、後突,口咽腔氣道變窄.
需要說明的地方:;我在網上找腺樣體相關的資料時,看到有2處錯誤:
1.腺樣體的位置:;在文章開頭我已經說的很明白了,但是網上有張圖片錯誤的標示了腺樣體,為了不讓大家走彎路,我在那張圖片上重新標了一下:
下面是X線圖片:
增殖腺2.關於A/N比值的問題:用A/N比值的方法比直接測量腺樣體厚度的方法更科學,更有效.但有人將狹窄的鼻咽腔氣道(腺樣體增大壓迫所致)當成鼻咽通氣道的寬度,這是錯誤的。鼻咽通氣道的寬度應為:硬齶後端至翼板與顱底交點間的距離。如圖3
小兒打鼾是增殖腺在作怪
打鼾就是常說的睡覺打呼嚕。一提到打鼾都會馬上想到這是老年入睡覺時出現的現象。可是小孩為什麼也會有這種現象呢?這是增殖腺肥大在作怪。
;增殖腺是位於鼻腔後面一種正常組織,它同口腔後面齶扁桃體組織一樣,是咽部一塊淋巴組織。生後即開始活躍生長,隨著小兒機體不斷生長發育,到了3~7歲時可達最大限度。在兒童時期它為了適應人體防禦、免疫功能的需要,接受外界病原的抗原刺激而產生抗體,分泌免疫球蛋白,增強兒童自身的免疫防禦能力。隨著年齡增大,自身免疫機能逐漸健全、完善,到10歲左右自然地逐漸萎縮、退化。由於小兒機體抵抗力弱,容易患感冒。如果反覆感冒,咽腔增殖腺經常發炎,反覆發作,增殖腺已無力抵抗外來病原微生物的襲擊,結果就成了病原存在的場所,使增殖腺發生炎症而肥大起來。鼻咽增殖腺肥大,堵塞或部分堵塞鼻咽呼吸道,呼吸道長期處於狹窄狀態,只有張著嘴巴呼吸才女到舒服。由於用口呼吸時震動咽腔的軟齶或懸雍垂,結果隨著呼吸就出現了打鼾。
增殖腺肥大不僅能引起打鼾,而且若向兩側長大時,能堵住咽鼓管的咽口,影響內耳鼓室的通氣換氣由此容易引起中耳炎,出現聽力下降、耳鳴。如有細菌感染可並發為嚴重的化膿性中耳炎,就是常說的“鬧耳底子”。
增殖腺長期堵塞,長期張口呼吸造成面骨發育障礙,上頜骨狹長,牙膛高拱,牙齒排列不齊,上門牙突出,呈扇形散開,上唇上翹,下唇懸掛,鼻唇溝變淺,下頜內收,精神淡漠,表情發獃,出現“增殖腺面容”,給人以“傻像”。因此,不能忽視小兒打鼾。
;那么,小孩得了增殖腺肥大怎么辦呢?首先應該找耳鼻喉科醫生檢查一下,如果沒有其他特殊情況,原則上是要手術切除。一般在5歲以後上學以前這段時間內切除最好。如果年齡太小,手術有一定危險性;年齡太大,不利於孩子的體格和智力的發育。(ZLW)
