治療措施
基底細胞腺瘤採用手術切除的方法,但單純的手術切除是不恰當的,應至少在腫瘤外的正常組織切除。聯合CLS自體免疫細胞治療技術全面提高患者的免疫功能,尤其可以避免由於手術應激所引起的免疫功能下降,提高手術治療的成功率。可恢復及加強其免疫抗腫瘤作用,消滅體內殘留癌細胞,減少腫瘤的復發和轉移,提高治癒率。
病理改變
1.大體形態 基底細胞腺瘤呈圓形或卵圓形,表面光滑,包膜完整,與周圍組織界限清晰。腫瘤體積一般不大。腫瘤剖面多呈實性,灰白色,亦有囊性變者,剖面呈大小不等的囊腔,內含稀薄的棕紅色粘液樣物。
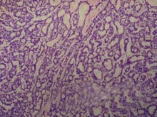
2.鏡檢 由腫瘤性上皮細胞和少量結締組織構成。腫瘤細胞密集成團或呈條索狀,細胞為圓形、卵圓形或梭形,胞漿少,呈嗜鹼性,核圓形、染色深,核仁不明顯。有時上皮團塊的外周部位呈單層排列,頗似皮膚的基底細胞癌,但核分裂象少見。瘤內缺乏肌上皮細胞,腫瘤實質與間質之間界限清楚,有基底膜相隔。有的病例中,上皮團塊內可出現大小不等的囊腔,囊腔內充有變性的腫瘤細胞。間質為纖維結締組織,粘液含量極少。
3.生物學特點 基底細胞腺瘤生長緩慢,有完整的被膜,術後復發者比較少見。
臨床表現
基底細胞腺瘤占涎腺腫瘤的2%左右,好發於大涎腺中的腮腺,小涎腺以上唇最多見。多見於男性患者,小於40歲者少見,以50~60歲發病最多。
腫瘤生長緩慢,病程較長,無自覺症狀,往往以無痛性腫塊就診。腫瘤界限清楚,與周圍組織無粘連,活動。多呈圓形或橢圓形,質地較軟。
涎腺造影X線表現為良性腫瘤的占位性病變。
