病症介紹
基底節鈣化症即特發性基底核鈣化(idiopathic basal ganglia calcification,IBGC)又稱Fahr病,由Fahr(1930)首先報導。
蒼白球與尾狀核鈣化多見於高齡,正常人亦可出現,40歲以後出現鈣斑者多考慮生理性,無臨床意義,但若早年頭顱X線平片就發現基底核鈣化應視為異常。除基底核鈣化,尚有小腦鈣化。
隨著CT掃描在國內普及,基底核鈣化(calcification of basal ganglia)的發現明顯增多。有些是一側基底核鈣化,但大部分是兩側基底核鈣化。
國內蔣雨平等(1983)首先予以報導。近來有較多報導,但本病實際發病率尚不詳。Fahr病有兩側對稱性基底核鈣化,有時尚伴有小腦齒狀核和皮質散在鈣化。可出現廣泛的神經損害表現,如帕金森病、舞蹈病、肌張力障礙、共濟失調、痴呆,偶爾有抽搐等。有家族史和遺傳學依據的可稱之為家族性Fahr病。
兩側對稱性大腦基底核鈣化可以由許多原因造成,故這種表現實際是一種綜合徵,稱之為兩側對稱性大腦基底核鈣化綜合徵,又稱Fahr綜合徵(Fahrs’s syndrome)。Fahr綜合徵的各種原因:①特發性甲狀旁腺功能減退;②手術後甲狀旁腺功能減退;③假性或假假性甲狀旁腺功能減退;④Fahr病;⑤碳酸酐酶Ⅱ缺乏症;⑥弓形蟲病;⑦AIDS腦病;⑧線粒體腦肌病;⑨物理和化學因素:缺氧和一氧化碳中毒、放療後、甲氨蝶呤治療、鉛中毒;⑩腦炎後;?變性和脫髓鞘病:結節性硬化、希爾德病(瀰漫性硬化)、Cokayne綜合徵、不明原因腦部變性;?腫瘤、神經纖維瘤病;?不明原因。
基底節鈣化症無特效療法,主要對因及對症治療。引起錐體外系症狀可酌情套用抗Parkinson病藥物及控制手足徐動症藥物,精神症狀可用抗精神病藥物。本症病程很長。有報導可活到70歲以上。
疾病名稱
基底節鈣化症
英文名稱
basal ganglia calcification
別名
Fahr disease;Fahr病;IBGC;基底核鈣化;基底核鈣化症;基底神經節鈣化;特發性基底節鈣化
分類
神經內科 > 運動障礙疾病
ICD號
G23.8
流行病學
國內近來有較多報導,但本病實際發病率尚不詳。
病因
基底節鈣化症病因不明,目前認為主要與以下因素有關:
1.遺傳因素 多為散發,亦有家族性發病報告,呈常染色體隱性或顯性遺傳。
2.外源性毒物 激活腦內谷氨酸受體,產生神經毒作用,導致鈣沉積。
3.鐵及磷酸鈣代謝異常 在Fahr病發病機制中占重要地位。
4.免疫因素。
發病機制
目前認為基底節鈣化症是一種神經變性疾病,與病因有關的機制如下:
遺傳因素
Geschwind等曾調查一個明顯遺傳傾向大家系,發現患者發病年齡一代比一代提前,對該家系中24名患者用微衛星DNA多態性標記檢測發現14號染色體長臂上D14S1014、D14S75、D14S306位點具有明顯連鎖關係,提示遺傳因素在該病發生中起很大作用。部分患者可伴其他遺傳性疾病,最常見為假性甲狀旁腺功能減退2型,難治性貧血等。
外源性毒物
可激活腦內谷氨酸受體,產生興奮性神經毒作用,導致鈣在某些腦區沉積。有人將鵝膏蕈氨酸(ibotenic acid)注入鼠基底核區,3周后在肥大星形細胞中發現鈣斑沉積,主要成分是鈣、磷,還可含硫、鋁、矽等,與本病的病理改變相似。
代謝異常
有些家族性患者存在明顯的鐵代謝障礙,如血清鐵蛋蛋白水平下降、血清鐵及鐵結合能力降低,肝、脾、骨髓和腦活檢可見鐵沉積等,主要由鐵轉運缺陷造成。部分患者出現陣發性低鈣血症,可能與伴發甲狀旁腺功能減退有關,還可伴小腦鈣化。
免疫因素
某些患者青年時患類風濕性關節炎,檢查發現血沉明顯增快,CRP、RA因子、抗核抗體亦升高,部分病例活檢發現鈣斑周圍免疫炎性細胞浸潤。
病理變化
雙側基底核(尾狀核、豆狀核)可見鈣化斑,有時累及小腦齒狀核及大腦皮質,斑塊多位於血管外膜細胞漿內,少數位於膠質細胞突觸內。腦活檢可見大量低分化星形膠質細胞增生,甚至出現星形膠質細胞瘤,主要位於早期鈣化斑形成區或大鈣化斑周圍,斑塊主要由糖蛋白、鈣鹽及鐵組成。伴痴呆的Fahr病患者病變不同於Alzheimer病及Pick病,特點是缺乏老年斑;大腦新皮質存在廣泛大量的神經元纖維纏結;鈣質沉積;部分白質可見中至重度脫髓鞘及神經纖維增生;Meynert核可見輕至中度神經元脫失等。
由於酸性黏多糖沉積在膠質細胞內或細胞外周區域,形成非鈣性圓圈體。其主要分布在血管周圍,最後侵入血管壁。以後發生羥磷灰石的鈣鹽沉積。很少量的鐵也可隨之沉積。
臨床表現
1.家族性病例多於青春期或成年早期起病,有遺傳早發現象。部分患者伴少見的遺傳性疾病,如假性甲狀旁腺功能減退2型、難治性貧血、多種自身免疫性內分泌腺疾病等。主要表現各種運動障礙,如扭轉痙攣、單側或雙側手足徐動症、震顫及共濟失調等。可見以肌強直為突出表現的Parkinson綜合徵及扭轉痙攣、手足徐動症,手足徐動症隨病程可完全消失,僅遺留Parkinson綜合徵症狀。
2.與鈣磷代謝異常有關的甲狀旁腺功能減退或假性甲狀旁腺功能減退占基底核鈣化病例中的2/3左右。
原發性甲狀旁腺功能減退造成的Fahr綜合徵,病程長,有多次發作性手足抽搐史,有舞蹈、手足徐動或帕金森病樣表現、小腦性共濟失調或少數患者有雙側肢體錐體束征陽性。診斷原發性甲狀旁腺功能減退時需符合:無外傷或甲狀腺手術史、血鈣過低、血磷過高、慢性發作的手足“抽搐”史等。
3.部分患者出現精神障礙,如抑鬱、躁狂、強迫行為、攻擊性、易激惹、淡漠、性別倒錯、譫妄等。痴呆是該病最常見臨床表現之一,但Fahr病痴痴呆類型不同於Alzheimer病及Pick病,是兩者混合型。早期表現智慧型減退,多為隱匿性,其後出現記憶力、語言、時間及空間定向力減退。
併發症
部分患者出現精神障礙,痴呆是該病最常見臨床表現之一,早期表現智慧型減退,多為隱匿性,其後出現記憶力、語言、時間及空間定向力減退。
實驗室檢查
1.血清鈣含量正常,但伴甲狀旁腺功能減退或假性甲狀旁腺功能減退者血清鈣減少,有低鈣臨床表現。
2.血常規、生化、腦脊液常規檢查無特異性。
3.藥物、微量元素及生化檢查,有助於病因診斷。
輔助檢查
CT檢查
可見對稱性基底核鈣化斑>800mm2,是該病重要的診斷標準,小腦齒狀核和大腦皮質也可有鈣化斑。
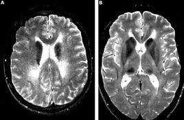
MRI檢查
可見腦基底核及部分灰質T2WI高信號,伴痴呆者可見雙側半卵圓中心區高信號。
SPECT檢查
發現雙側基底核腦血流量較腦皮質明顯降低,血流量降低程度與疾病嚴重程度呈正比。
診斷
根據運動障礙症狀,伴精神障礙、智慧型減退等,CT、MRI可見雙側基底核對稱性鈣化斑,有家族史更支持診斷。
須積極尋找病因,明確為特發性或某些特殊原因導致Fahr綜合徵。Moskowitr(1971)提出Fahr病新診斷標準:①CT或X線片有雙側基底核對稱性鈣化;②無假性甲狀旁腺功能減退臨床表現;③血清鈣、磷在正常範圍內;④腎小管對甲狀腺素反應正常;⑤無感染、中毒及其他病因;⑥有或無家族史。
有病因可找到的基底核鈣化,則為Fahr綜合徵。
鑑別診斷
基底節鈣化症須注意與各種原因引起的Fahr綜合徵鑑別(表1)。
1.甲狀旁腺功能減退及假性甲狀旁腺功能減退是Fahr綜合徵最常見原因,患者血清鈣含量減少,有手足搐搦、驚厥表現。假性甲狀旁腺功能減退2型是少見的家族性遺傳病,除甲狀旁腺功能減退症狀體徵,尚有明顯骨骼及身體發育障礙。
2.兒童期顱內感染可引起基底核鈣化,Bobek等報導2例兒童期腦膜腦炎患者,以後出現基底核鈣化一系列臨床症狀。
3.新生兒Fahr綜合徵主要原因是產傷、嚴重缺血缺氧性腦病、宮內窒息等,可在數月內引起Fahr綜合徵一系列表現,病史可以鑑別。
治療
基底節鈣化症無特效療法,主要對因及對症治療。引起錐體外系症狀可酌情套用抗Parkinson病藥物及控制手足徐動症藥物,精神症狀可用抗精神病藥物。
有報導可試用血小板凝集抑制劑或腦血管擴張劑,如複方阿魏酸鈉膠囊(利脈膠囊)、氟桂利嗪(腦益嗪)、尼莫地平、益利循等;用左鏇多巴/卡比多/卡比多巴(神力酶)或左鏇多巴/苄絲/苄絲肼(美多巴)治療震顫麻痹症狀;用硫必利(泰必利)或氟哌啶醇治療舞蹈症狀。
預後
基底節鈣化症病程很長。有報導可活到70歲以上。
預防
目前認為基底節鈣化症是一種神經變性疾病,預防與病因相關。有遺傳背景者,預防措施包括避免近親結婚,推行遺傳諮詢、攜帶者基因檢測及產前診斷和選擇性人工流產等,防止患兒出生。
早期診斷、早期治療、加強臨床護理,對改善患者的生活質量有重要意義。
相關藥品
甲氨蝶呤、谷氨酸、阿魏酸鈉、氟桂利嗪、桂利嗪、尼莫地平、左鏇多巴、左鏇多巴/卡比多巴、卡比多巴、苄絲肼、硫必利、氟哌啶醇

