一、孤立腎
孤立腎:胚胎時期,一側的生腎組織或輸尿管芽生長障礙引起不發育或發育不充分,病側腎缺如或腎發育不良,則致健側孤立腎。如果孤立腎的功能良好,不會有症狀,常偶然發現。X線見一側腎陰影增大,對側腎缺如。膀胱鏡檢僅見一個輸尿管口。對側腎發育不全可致腰痛、高血壓症等。任何腎切除之前,應查清對側腎情況,避免孤立腎被切除。
單側腎缺如。由於一側的生腎組織或輸尿管芽不發育所引起.多見於男性。男性單側腎不發育還常伴有單側睪丸發育不良或缺如;女性則常合併單側卵巢或輸卵管缺如或發育不良等。單側腎缺如的嚴重性在於當孤立腎有病變或受到外傷後,因不了解患者只有一個腎而輕易施行腎切除。因此,進行腎切除手術前必須查明對側腎的情況。
二、額外腎及單腎
額外腎是一種少見的先天畸形。為一側胚胎生腎組織分裂成兩個,然後有分開的輸尿管進入而形成兩個完全分離的腎。一側腎缺如是由於一側胚胎生腎組織及輸尿管芽不發育或一側腎僅有殘缺的胚胎後腎組織所引起。額外腎和腎缺如一般無任何臨床表現,但有時額外腎也會合併結石、腎盂積水等,出現相應的梗阻及感染症狀。
【超聲表現】
一側腎窩及其他部位不能探及腎臟圖像,對側探及代償增大的腎臟為腎缺如,但需注意一側腎異位,應行多部位探測;如一側腎窩探及雙腎,對側亦可探及正常腎,則為額外腎。
【X線表現】
1.平片:孤立腎可見一側腎影缺如,另一側孤立腎相對增大。額外腎則在一側可看到兩個腎影,對側還可見一正常大小的腎影。平片有時顯示不清,若行腹膜後充氣造影,則可清楚顯示。
2.靜脈腎盂造影:腎缺如可見患側腎臟不顯影,另側腎臟正常顯影或腎盂輸尿管增大。額外腎如有分泌功能,可顯示同側兩個腎盂腎盞,另側一個;如不顯影,則需做逆行腎盂造影證實。
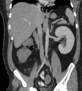
【CT表現】
腎缺如,CT顯示一側腎窩內腎影缺如,為周圍組織所充填。同側腎上腺也顯示相應缺如。對側腎可代償性肥大,或鏇轉不良和異位。額外腎,能滿意地顯示同一側相互分離的腎和輸尿管,對側腎臟同時存在。增強CT掃描可見一側腎完全未發育,僅有殘跡或一側腎小,但有功能。
【核醫學顯像】
99mTc-DTPA腎動態顯像,有功能的額外腎,輸尿管可明顯顯影,並可分析其血液供應和功能狀態,99mTc-DMSA腎靜態顯像可顯示各腎形態位置和大小,健側腎影代償性增大。單腎,缺腎側無腎影,功能由對側完全代替。

