簡介
史密斯骨折較早的同樣報導尚有Lecomte,他描述的骨折乃係Smith骨折的第I型和第Ⅱ型;Lentenneur,描述了Smith骨折的第Ⅲ型。Smith骨折為一少見創傷,約占全身骨折的O.1l%。某院81年治療的橈骨遠端骨折600例中,Smith骨折僅占15例。
發病原因
多為直接暴力打擊所致。
發病機制
以往最為常見的原因是汽車司機搖發動機時突然鬆手被逆轉的手柄直接打擊所致目前此種現象,已消失而多見於撞擊性外傷(例如騎助動車或機車相撞)或腕背部著地跌倒所引起。
類型
史密斯骨折1.關節外型:指骨折線不波及關節面者最為多見骨折線大多,呈橫形少數為斜形後者復位後維持對位較困難多需,附加手指牽引。
2.關節受累型:凡骨折線波及關節者均屬此型,由於史密斯骨折在臨床上少,見故無必要將此類患者再作更進一步的分型。
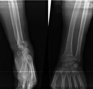
外傷使局部腫脹疼痛畸形骨折遠端向掌側移位腕,呈屈曲狀橈骨遠端向背側突出正側位腕關節X線片可明確診斷。
檢查化驗
無相關實驗室檢查。
拍腕關節正側位X線片可確定診斷。
症狀體徵
傷後腕部腫脹,疼痛,並出現腕部畸形,此畸形恰與Colles骨折的典型畸形相反。腕部活動受限。橈骨遠端有明顯壓痛,並可感知骨擦音,尺橈骨莖突關係異常。
X線片上,典型的畸形是橈骨之遠折端連同腕骨向掌側移位,向近側移位。尺骨莖突可受累或不受累。很少有嵌入骨折,掌側骨皮質常有粉碎。
治療
血腫內麻醉或臂叢神經阻滯下行閉合復位與柯萊斯骨折整復相反,術者將傷腕伸直位牽引助手於肘部作反牽引,在牽引的同時術者由掌側向背側推擠遠折端使骨折復位,此種骨折整復較易,但維持整復位置較困難整復後,用短臂前後石膏托固定腕於輕度背伸位前臂與鏇轉中立位2周,再改為腕關節中立位固定2周對骨折位置極不穩定或復後,再次移位的骨折。可考慮行切開復位甩小型“T”字鋼板螺絲釘作內固定或用托狀鋼板(buttressplate)作內固定。
預後
一般病例功能恢復大多比較理想關節受累型,復位不佳者可有後遺症。

