反頜介紹
——俗稱“地包天”
是牙列畸形的一種。反頜,俗稱“地包天”或“兜齒”,是牙頜畸形的一種常見類型。
醫學上對反頜的矯正原則是儘可能及早消除病因,早期矯治,可收到良好的矯治效果,並可防止畸形向嚴重發展。個別牙輕度的反頜可在醫生的指導下,家長自行進行治療。多個牙反頜或畸形較嚴重時,則需要牙科醫生用特殊的矯正器進行矯治。許多前牙反頜可單純經過牙科醫生進行矯治而恢復正常的咬頜功能和顏面的美觀。
總之,對於乳牙反頜,早期矯治可以減輕顏面部骨骼的畸形,也可防止因反合導致的嚴重併發症,而且乳牙的反頜糾正應保持在乳牙牙根發育的穩定期,否則過程中如果牙齒活動,直接導致治療失敗。 關聯詞:
牙列畸形 地包天 兜齒 正畸治療 頜面部
牙列畸形 地包天 兜齒 正畸治療 頜面部
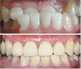
治療方法
傳統牙套矯正
這種方法主要適用於未成年的暴牙患者。因為未成年人還處於生長發育期,如果適時用牙套施以外力,暴牙還是能夠歸位的。一般而言,通過戴2年牙套就會有比較不錯的效果了。
烤瓷牙(美容冠)
這種方法主要適用於成年人。因為成年人牙槽骨已趨於一種穩定狀態,這時再用外力矯正的話可能會導致牙齒鬆動,因而採用無需拔牙的美容冠修復暴牙最為合適。用美容冠修復的方式只要短短7天,就能徹底擺脫暴牙困擾,擁有一口健康白皙的牙齒。
整形外科正牙
主要適用於成年人,只需一小時就能完成,能夠基本恢復口腔功能及面型輪廓,但需要打斷骨體,創傷大,極易造成牙槽骨萎縮、牙神經壞死等後遺症。
微正畸矯正
這種方法主要適用於16周以上的人群。採取整形外科與口腔科專家聯合共同矯正的方式,1小時矯正,之後配合隱形矯正器逐步矯正。可以完全恢復口腔功能及面部完美輪廓,讓您擁有從未有過的自信笑容。

