病因
1.全身因素
兒童時期全身慢性疾患所致頜骨發育不良,後牙萌出不全,後牙槽高度也不足,而前牙尚繼續萌出,前牙槽高度過大,或下頜骨向前向上鏇轉。
2.遺傳或先天因素
上頜發育過大;下頜形態發育異常,位置靠後。
3.局部因素
可因乳磨牙齲壞或破壞,降低了後牙牙槽高度;乳磨牙早失,缺少對頜骨的功能性刺激,影響了後牙牙槽基骨的發育。
發病機制
主要是由於牙槽骨或頜骨的前後部高度配合不當,使上下頜前牙的覆牙合變深。表現形式有3種:
Ⅰ型是前牙牙槽骨或頜骨高度正常,而後牙牙槽骨或頜骨高度不足。
Ⅱ型是前牙牙槽骨或頜骨高度過大或下頜體向上鏇轉,而後牙牙槽骨的高度正常。
Ⅲ型是前牙牙槽骨或頜骨的高度過大而後牙牙槽骨或頜骨的高度不足。
臨床表現
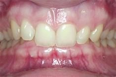
上中切牙垂直或內傾,兩側切牙唇向傾斜,或上切牙內傾而尖牙唇向,或所有上前牙內傾,前牙覆蓋小於3mm,有時可為0~1mm;或上下前牙擁擠、內傾,呈嚴重閉鎖,可咬傷上前牙舌側或下前牙唇側齦組織,引起急、慢性牙周炎而造成牙槽骨吸收,牙齒鬆動等,後牙為中性或遠中(牙合),下牙弓均短縮。
深覆(牙合)的上牙弓其補償曲線和下牙弓矢狀曲線是相反的弧形,下頜前伸及側(牙合)運動受阻,下頜僅能作張閉式的絞鏈性動作。面部頜骨外形發育尚好,一般呈方面型。面下1/3高度較短,下頜角明顯突出,下頜平面角為低角型。深覆牙合的面形是下唇外翻,形成橫的深頦皺紋,頦部向前凸出,鼻翼往外升高,上唇短縮。
診斷
根據覆牙合程度將其分為3度
1.Ⅰ度
上前牙牙冠覆蓋下前牙牙冠的1/3以上至1/2處;或下前牙咬合在上前牙舌側切1/3以上至1/2處。
2.Ⅱ度
上前牙覆蓋下前牙冠長的1/2以上至2/3處;或下前牙咬合在上前牙舌側切1/2以上至2/3處(如舌隆突)者。
3.Ⅲ度
上前牙牙冠完全覆蓋下前牙牙冠,甚至咬在下前牙唇側齦組織上;或下前牙咬合在上前牙舌側齦組織或硬齶黏膜上,因此造成創傷性牙齦炎或黏膜損傷。
具體診斷可結合X線片測量分析。
治療
年齡較小正當生長發育期,用附有平面導板(或斜面導板)和上前牙舌側雙曲舌簧的功能性矯治器,刺激後牙繼續生長,抑制前牙伸長,但事先要對舌傾的前牙進行糾正,然後再使上下牙弓長度協調,糾正上下頜及牙弓關係。
1.Ⅰ型深覆(牙合)的治療
保持前牙牙槽骨的高度不變,著重升高后牙高度。採用上頜活動矯治器,附有平面導板和牙合墊,從最後一個牙開始逐個調磨牙合墊,以便使逐對牙伸長接觸,待後牙增高后,再進行前牙舌向錯位和後牙遠中的糾正。如年齡較大,生長發育已停止,矯治極為困難,戴牙合墊及平面導板,後牙不可能升高,在儘可能矯正前牙位置後再用修複方法加高后牙以恢復頜間高度,但必須在姿勢位的頜面間隙之內,否則會出現顳下頜關節、肌肉症狀。
2.Ⅱ型深覆(牙合)的治療
保持後牙牙槽骨的高度,壓低前牙,如果前牙覆(牙合)不太深,可採用固定矯治器或活動矯治器推上下前牙向唇側的辦法。如果覆牙合較深者,在上述前牙舌向錯位糾正後,可於活動矯治器的唇弓上焊爪簧直接壓低之;或焊別針簧,並在牙上粘鉤以壓低之;如果用edgewise、Begg等固定矯治器糾正,則必須先推上前牙向唇側,然後進行下頜的矯治。
3.Ⅲ型深覆(牙合)的治療
採取壓低前牙和升高后牙的辦法。年齡較小者用活動矯治器上唇弓焊爪簧壓低上前牙;上前牙壓低後,加平面導板以壓低下前牙,並升高后牙;或平面導板、上前牙爪簧同時進行。當然也可用固定矯治器或功能性矯治器矯治。

