病因
瘤細胞呈多邊形,由血管纖維分割成上皮巢嗜鉻細胞瘤可同時或先後伴有其他APUD瘤,如甲狀腺惡性C細胞瘤(“髓樣癌”)、垂體腺瘤、甲狀旁腺腺瘤、胰島細胞瘤、類癌以及神經纖維瘤病等,成為內分泌腺腺瘤病的組成部分之一。
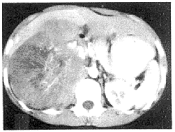
副神經節起源的腫瘤CT圖非嗜鉻性副節瘤(“副節瘤”、“化感瘤”)此瘤比較少見。張遜等(1994)報導,在同期縱隔腫瘤的0.52%~4.3%;張合林(1995)年報導占10.74%,這可能與醫院收治的範圍有關。可見於中縱隔及後縱隔的脊柱旁溝,後者更常見。多數為良性只有10%左右為惡性。副節瘤大多為“非功能性”但偶爾可有功能活性。神經分泌產物主要為去甲腎上腺素。亦可有微量腎上腺素臨床上可出現嗜鉻細胞瘤的典型症狀,按摩腫瘤可使血壓升高。非功能性副節瘤用電鏡細胞化學方法可顯示神經分泌顆粒生化測定可精確定量去甲腎上腺素及腎上腺素的含量(可高達24.5μg/g瘤組織)。當含量達1.5mg/g時可出現典型的嗜鉻細胞瘤症狀。
嗜鉻細胞瘤,其絕大多數從生長特性來看無疑屬良性範疇,然而由於瘤細胞常分泌大量兒茶酚胺類物質,病人可死於高血壓及其併發症。但不能因致死性而稱其為惡性。關於嗜鉻細胞瘤的良惡性問題,與其他內分泌腺腫瘤一樣,不能單憑瘤細胞的形態來鑑別。一種類型是其瘤細胞有明顯的異型性,出現梭形奇異、深染或巨大多核的瘤細胞,且伴較多有絲分裂象,但生物學行為既無浸潤,又不轉移相反的情況,偶爾形態學上分化良好卻意外地發生了轉移。或者瘤細胞局部有浸潤(侵襲包膜或血管),但未發生轉移。轉移多發生於肺、骨、淋巴結、腦等處。轉移灶有時可在原發灶切除後多年才表現出來。偶爾也有原發灶隱匿,而轉移灶首先出現症狀(如顱內轉移)的病例。
發病機制
瘤細胞呈多角形,血管豐富形成假乳頭狀偶爾,腫瘤之一部分表現為節細胞性神經瘤、節神經母細胞瘤或神經母細胞瘤。亦可能同時伴有腎上腺皮質腺瘤
2.非嗜鉻性副節瘤 肉眼觀察表現為卵圓形、略呈分葉狀、有彈性的腫塊,表面光滑,常與大血管壁緊密相貼。包膜往往不完整尤其在頸動脈體副節瘤。後者常有局部浸潤切面灰紅至棕紅色,血管非常豐富,有時甚似血管瘤,光鏡下可見內分泌腺腫瘤的圖像。由排列成巢的上皮樣主細胞所構成,被豐富而擴張呈血竇狀的纖維血管性間質所分隔。巢的周邊部可有支持細胞而神經纖維往往難以查見。
主細胞有亮暗兩種。亮細胞每占多數,多邊形。胞質豐富透明,含嗜鉻性細小顆粒。銀浸漬法可顯示針尖大小的嗜鉻性顆粒及(主細胞巢的血管)基膜網架,細胞核小圓或卵圓。核質空透亮。核仁清晰。暗細胞體積較小胞質較深染核亦深染,核仁不明顯有絲分裂象極少見。
電鏡下,亮細胞含較多神經分泌顆粒。界膜明顯有高電子密度的核心暗細胞只在部分細胞內含少量顆粒,後者體積較大不甚規則。不同部位的副節瘤在超微結構上無法區分。
惡性者正像許多內分泌腺腫瘤一樣,很難單純從鏡下形態特徵來鑑別。瘤細胞有異型性不一定為惡性的標誌。瘤細胞巢中央發現壞死和有絲分裂象較多、浸潤血管及包膜均有助於推測其可能為惡性。
臨床表現
副神經節起源的腫瘤CT圖2.嗜鉻性細胞副神經節瘤 多見於青壯年,主要症狀為高血壓和代謝的改變,容易引起注意。高血壓可有陣發性(突發)型和持續性兩類持續性與一般高血壓並無區別。發作時病人可有心悸、氣短、胸部壓抑、頭暈頭痛、出汗。有時有噁心、嘔吐、腹痛視覺模糊。有些病人有精神緊張、焦慮和恐懼、面色蒼白、四肢發涼、震顫等症狀。有時血壓可驟升高195mmHg(26.0kPa)以上,發作一般持續數分鐘到數小時,常伴有直立性低血壓。持續性高血壓最終可導致惡性高血壓,只有行腫瘤切除後症狀方可緩解由於基礎代謝增高,糖耐量降低病人可有發熱、消瘦體重下降及甲狀腺功能亢進的表現在兒童腹痛、便秘、出汗、視力模糊較為突出。亦有病人平時無症狀。
檢查:測量尿中兒茶酚胺及其代謝產物高香草酸(HVA)和香草扁桃酸(VMA)的升高程度,常可使診斷成立。
其它輔助檢查:
1.胸部X線片表現 與其他神經源性腫瘤相似的X線徵象,後縱隔椎旁溝有大小不等的腫塊陰影。亦有顯示腫物在升主動脈後上方,與脊柱重疊,密度均勻,邊界清晰。當腫瘤與主動脈瘤、頭臂動脈瘤無法鑑別時採用選擇性的動脈造影可明確顯示出血管的來源。30%的病例在胸部動脈造影中能見到腫瘤毛刺對術前腫瘤的診斷定位有一定幫助。
2.CT掃描顯示 前縱隔主動脈弓旁或後縱隔腫物多為實質性的,密度均勻的陰影,有時可見條索狀密影與主動脈相連。由於這種腫瘤血管豐富,CT增強掃描腫瘤可明顯強化顯影。
3.甲基碘苯胍[131I-MIBG]閃爍攝影術 對腫瘤的定位有顯著作用,用MIBG掃描敏感度達85%。
4.MRI 在診斷椎旁間腫塊是否為副神經節瘤方面有一定價值。副神經節瘤顯示為非同質性腫塊內有可流動物質後一種特徵是因為血管豐富血流速度快。
治療
嗜鉻性細胞病理圖2.近10%的病人有多個副神經節瘤,常見於伴有內分泌腫瘤(MFN)綜合徵家族史的病人和有carney綜合徵(肺軟骨瘤,胃平滑肌肉瘤和腎上腺外副神經節瘤)的病人因此在切除了縱隔副神經節瘤後,應儘量爭取切除其他部位副神經瘤,才能取得較好的療效。
預後:
非嗜鉻性副神經節瘤,良性者術後效果良好惡性的約占10%。Olsen和Salyer(1978)報導,發現主動脈體副神經節瘤具有浸潤性,往往是高度惡性的其50%病人在發現時即病情嚴重,治療後預後差,大多在近期內死亡。嗜鉻性副神經節瘤,良性腫瘤治療後效果良好但惡性病變,因術後易發生轉移或有伴隨症狀或多處有病變,故預後欠佳。往往與控制伴隨症狀和切除多發性病變的徹底性有關。
