流行病學
全面腦畸形是指在胚胎4~8周時,原始前腦分化發育過程中發生障礙,使前腦大部分沒有分開。而出現終腦與間腦的高度形成不全。1882年,Kundrat最早對這類畸形以無嗅腦畸形加以記載,指出典型的無嗅腦畸形滿足以下3個條件:①面部中線性畸形,如唇、齶裂畸形。②嗅球、嗅束缺如。
③單腦室。後來人們改稱為“全端腦畸形”和“全前腦畸形”,以更確切地表示畸形的特點。
1959年Yakovlev提倡以“全前腦畸形”稱之此種畸形,1963年DeMyer和Zeman將之正式命名為“全前腦畸形”。
發病原因
該病病因不明,部分與遺傳有關。原始前腦在胎兒期第4~8周經分裂與憩化形成端腦、前腦,並分化出腦室系統,某些原因使此過程發生障礙時,使前腦大部分沒有分開而出現一組顱面畸形。基本病理特點為側腦室分離不全而呈單腦室,無大腦鐮、胼胝體、透明隔及半球間裂,腦重量小於100g,僅包括一個殘留的原始中線腦溝,其溝回結構大而簡單,基底核和丘顱神經核均未分化,且為單一大腦前動脈。按分化程度不同分成無腦葉型、半腦葉型和全腦葉型三類。輔助檢查
該病臨床表現無特異性,CT和MRI檢查準確可靠,可確診。影像學檢查
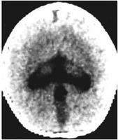
CT和MRI表現依畸形輕重程度而異。1、無腦葉型:無大腦半球,僅有一層菲薄的原始皮質圍繞單一擴大的腦室,第三腦室位於單腦室下方,第四腦室正常。MRI可顯示半球間裂與大腦鐮完全缺如,單側無腦葉常呈盾形,胼胝體缺如,鞍上單腦室馬靴形,第三腦室缺如等。此型最嚴重。
半腦葉型影像3、腦葉型:有明確的側腦室,常擴張,額角頂部扁平或呈方形,丘腦被發育完好的第3腦室分開,透明隔一般缺如,但大腦鐮與胼胝體已部分形成,半球間裂已形成,但殘存的腦葉融合,常見於半球前部及扣帶回處。
4、視隔發育不全:可見透明隔缺如,側腦室和第三腦室中度擴大,雙額角上方呈方形,視神經和視交叉小,第三腦室視隱窩擴大,視交叉位置異常。
超聲檢查
超聲發現:12周前即可做出診斷。
無葉全前腦超聲示意圖1、單一,鐮刀樣或馬蹄樣的腦室,共同腦室引流入背囊。
2、半球裂,胼胝體,透明隔缺如,中線回聲缺如。
3、皮質緣薄。
4、單一,融合的丘腦。
5、小頭畸形。
6、腦室擴大,腦積水。
7、相關顏面部畸形:
眼距過短;獨眼畸形;
象鼻或異常鼻骨形成;
中央面裂,唇裂,齶裂。
分葉型:額葉腦室融合,側腦室后角可見分離。無葉全前腦超聲圖片展示:
(A)矢狀位顯示殘餘腦組織和單一腦室。從上到下顯示全前腦呈薄餅樣,杯樣和球樣。灰色顯示殘餘的腦組織。
(B)新生兒矢狀位,顯示杯樣無葉全前腦,C單一腦室,向後延伸為背囊S。
(C)矢狀位顯示薄餅樣全前腦,V單一腦室腔向後延伸為背囊C。枕葉腦組織(彎箭)和額葉腦組織(直箭),以及脈絡叢(開口箭)可見。

