簡介
內生孢子試驗表明
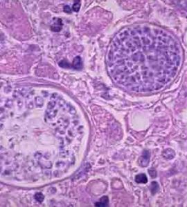
實驗觀察到滋養體、裂殖體、大配子體、合子和孢子化卵囊等不同階段的蟲體。蟲體周圍一定區域的微絨毛融合、萎縮或倒伏,腸黏膜上的微絨毛明顯脫落。中期滋養體營養器和緻密帶之間有一層較寬的特殊結構,並且該結構到後期滋養體和裂殖體階段消失,這層特殊結構尚未見文獻報導。在帶蟲空泡內膜與蟲體外膜形成的緻密帶上方存在典型的呈豎向或斜向排列的纖維塞狀結構(microfilamentplug)營養器。用培養的皮膚成纖維細胞和白細胞證明酸性神經醯胺酶缺乏,可以確定診斷。雜合子的酸性神經醯胺酶活性約為正常人的一半。檢查培養的羊水細胞,視有無酸性神經醯胺酶缺乏,可進行產前診斷,有優生學意義。本病無特效療法。
半乳糖脂醯鞘氨醇脂質貯積病又稱球樣細胞腦白質營養不良。1916年K.H.克拉伯首先描述此病,故也稱克拉伯氏病。為常染色體隱性遺傳病。半乳糖腦苷脂β-半乳糖苷酶活性缺乏,半乳糖腦苷脂不能裂解為脂醯鞘氨醇和半乳糖,以致半乳糖腦苷脂堆積在腦及周圍神經等組織中,造成神經系統等病變。也是一種脫髓鞘疾病或神經系統變性病。

