概述
免疫性腎炎
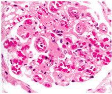
IgA腎病
IgA腎病IgA腎病是一種特殊類型的腎小球腎炎,多發於兒童和青年,發病前常有上呼吸道感染,病變特點是腎小球系膜增生,用免疫螢光法檢查可見系膜區有IgA沉積。
IgA腎病是一組多病因引起的具有相同免疫病理學特徵的慢性腎小球疾病。臨床上約40%--45%的患者表現為肉眼或顯微鏡下血尿,35%--40%的患者表現為顯微鏡下血尿伴蛋白尿,其餘表現為腎病綜合徵和腎功能衰竭。
IgA腎病占我國原發性腎小球腎炎的30%~40%,男女之比大約是2:1。是原發性腎小球疾病中導致慢性腎衰竭的首位病因。約40%的IgA腎病患者可能發展為終末期腎病。在我國約26.69%的終末期腎病患者的原發病是IgA腎病,有明顯上升趨勢。以血尿為主的IgA腎病西醫尚無特效的治療。
紫癜性腎炎
紫癜性腎炎紫癜性腎炎是一種毛細血管變態反應性疾病,可因累及腎小球毛細血管及間質血管而導致腎臟損害,出現浮腫、蛋白尿、血尿及腎功能異常等表現。這種腎臟病也稱過敏性紫癜性腎炎。本病常見於兒童與青少年。其發病機理主要是過敏原(食物、藥物、細菌、病毒、毒素等)引起免疫複合物形成並沉積於腎臟,誘發免疫性損傷及血管性發症。半數病人起病前1~3周有上呼吸道感染史,有的有明確過敏史,可出現發熱、四肢伸側面出血性紫癜、關節痛、消化道症狀(腹痛、便血、嘔血)等腎外表現。腎臟症狀多於紫癲出現後2~4天發生,個別病人可作為首發症狀出現於皮膚、胃腸道、關節症狀之前。大部分患者預後良好,約10%~20%可發展成尿毒症。
狼瘡性腎炎
狼瘡性腎炎是以腎臟損害為主要表現的系統性紅斑狼瘡是一種累及多系統、多器官的具有多種自身抗體並有明顯的免疫紊亂的自身免疫性疾病。SLE患者約35%~90%有腎臟累及的臨床表現,如蛋白尿、紅白細胞尿,管型尿及腎小管和小球濾過功能的變化。腎臟受累表現與腎外器官受累有明顯的腎病綜合徵或腎功能損害卻無明顯的多系統受累。根據一般病理檢查,SLE時腎臟受累者約占90%,加上電子顯微鏡及免疫螢光檢查,則幾乎所有SLE均有程度不同的腎臟病變。腎臟病變直接影響LN的預後。
免疫性腎病治療
據統計,百分之九十五的腎病都是由於免疫系統紊亂引起的。因此對於免疫性腎病的控制治療主要由如下幾點:
1.治症先治病:單純的抑制超敏反應只是暫時的緩解症狀,但免疫複合物仍然存在,所以要想治好腎病,先要清除掉導致超敏反應的免疫複合物。
2.診斷和治療並重:只有明確的診斷才能更有針對性的治療。
3.引進新療法,新藥物並創新新技術,以扭轉被動局面。
4.建立適合中國人體系的健康體系。

