簡介
患者的扁桃腺組織切片克雅二氏病是一種罕見的主要發生在50-70歲之間的可傳播的腦病。受感染的人可以有睡眠紊亂、個性改變、共濟失調、失語症、視覺喪失、物理,肌肉萎縮,肌陣攣,進行性痴呆等症狀,並且會在發病的一年內死亡。該病常有染色體家族遺傳傾向,並且有一個新的克雅氏病的報導(該病與牛海綿狀腦病有潛在的聯繫)。此病的病理學特徵包括以小腦和大腦皮層為主的海綿樣變性和朊病毒的出現。
1913年兩名德國醫師-庫茲菲德醫師(Hans Gerhard Creutzfeldt)和雅各醫師(Alfons Maria Jakob),在大約同一時間第一次記錄了這種新病,因此此病以他們兩人的名字來命名。
流行病學
克雅二氏病潛伏期1.5~10年,甚至長達40年以上。典型臨床表現為進行性發展的痴呆,肌痙攣,小腦共濟失調,運動性失語,並迅速發展為半癱、癲癇,甚至昏迷。患者最終於一年內死於感染或中樞神經系統衰竭。病原體
病原體被認為是一種獨特的不含有核酸的Prion蛋白,以還未被認識的機制進行複製,即蛋白本身就儲存了生命活動必須的遺傳信息。1982年,加州大學舊金山分校的StanleyB.Prusiner發現了這一類疾病的病原體-朊毒體蛋白,為此他得到了1997年的諾貝爾生理醫學獎。朊毒體蛋白,又被稱為病原性蛋白顆粒或毒蛋白子,此病原體可藉由被感染的動物組織或遺傳來進行傳播。和其他傳染病病原體不同的是,朊毒體蛋白並不是病毒,不需要DNA或RNA進行複製,也無法用抗生素消滅;朊毒體蛋白也不會導致腦部發炎,只會導致腦部慢性損壞。
分類
從病原的原因上,把人的克雅二氏病分成三類:
第一類是閃發性的傳染性海綿狀,這種病的原因還不清楚,儘管沒有吃瘋牛病的東西,也可以發生海綿狀腦病的克雅氏病(大多數發生在中老年人當中),這說明有偶然的閃發性狀。全球的發病率在百萬分之一。中國每年大概有1000個病例。
第二種類型是家族遺傳性的。這個病毒除了病狀發生在腦,也可以感染眼睛,可能會失明。所以有的是家族性的失明症,這是遺傳性的。遺傳性的朊病毒病發病率是千萬分之一,年齡一般在30歲到70歲之間。原因主要是基因發生了突變引起的。基因位點不一樣,發病的症狀,在臨床上也有一些差異。
第三種叫獲得性的克雅氏病或者叫新變異以及醫源性克雅氏病,是口腔誤入感染性的東西而造成的。還有的直接經過血液的污染物質造成的。新變異主要是吸食污染性食品引起的。據英國報導,大概有50萬人吃了污染的瘋牛病的食物。人的潛伏期很長,大概在十幾年。正是因為污染面很寬,潛伏時間很長,不能進行血清性診斷,只能病發以後才能診斷,所以瘋牛病引起西方人的恐慌。
傳播途徑
傳播途逕取決於克雅二氏病的類型:
偶發性克雅二氏病的傳播途徑不明。
家族性克雅二氏病由遺傳了突變的基因引起。
醫源性克雅二氏病是經由醫療或手術過程中傳播,如人類荷爾蒙注射或人體組織器官移植。
非典型克雅二氏病與進食患上牛海綿體腦病(BSE,俗稱狂牛症的傳染性海綿狀腦病)牛的製品有關。在英國,亦有非典型克雅二氏症個案與輸血有關。
診斷原則及診斷標準
1、診斷處理總原則
(1)根據進行性痴呆、肌陣攣、錐體/錐體外系功能異常視覺障礙等臨床症狀和體徵,腦電圖、腦脊液、神經病理學以及病原學等結果,予以診斷。
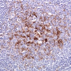
(2)CJD病人中樞神經系統組織、眼球組織具有高度感染性,其他組織如扁桃體、脾臟、淋巴結等也具有感染性。在接觸上述組織時應注意防護。
(3)尚無任何資料顯示CJD可通過接觸傳染。
2、診斷標準(1)散髮型CJD
①確診診斷。具有典型/標準的神經病理學改變,和/或免疫細胞化學和/或western印跡法確定為蛋白酶耐受性PrP,和/或存在瘙癢病相關纖維。
②臨床診斷。具有進行性痴呆,在病程中出現典型的腦電圖改變,和/或腦脊液14-3-3蛋白陽性,以及至少具有以下4種臨床表現中的兩種:
a.肌陣攣
b.視覺或小腦障礙
c.錐體/錐體外系功能異常
d.無動性緘默以及臨床病程短於2年。
③疑似診斷。具有進行性痴呆,以及至少具有以下4種臨床表現中的兩種,
a.肌陣攣
b.視覺或小腦障礙
c.錐體/錐體外系功能異常
d.無動性緘默以及臨床病程短於2年。
④所有診斷應排除其他痴呆相關疾病。
(2)醫源型CJD
在散髮型CJD診斷的基礎上具有:①接受由人腦提取的垂體激素治療的病人出現進行性小腦綜合徵;或②確定的暴露危險,例如曾接受過硬腦膜移植、角膜移植等手術。
(3)家族遺傳型CJD
①家族遺傳型CJD包括家族型CJD、吉斯特曼-施特勞斯綜合徵(Gerstmann-Straussler-Scheinkersyndrome,GSS)、家族型致死性失眠症(Fatalfamilialisomnia,FFI)。②確診診斷或臨床診斷CJD病人,具有本病特異的PrP基因突變,和/或一級親屬中具有確診診斷或臨床診斷的CJD病例。
(4)變異型CJD(variantCJD,vCJD)
①病史:a.進行性神經精神障礙;b.病程≥6個月;c.常規檢查不提示其它疾病;d.無醫源性接觸史。②臨床表現:a.早期精神症狀(抑鬱、焦慮、情感淡漠、退縮、妄想);b.持續性疼痛感(疼痛和/或感覺異常);c.共濟失調;d.肌陣攣、舞蹈症、肌張力紊亂;e.痴呆。③臨床檢測;a.腦電圖無典型的散髮型CJD波型(約每秒出現一次的三相周期性複合波),或未進行腦電圖檢測;b.MRI質子密度相出現雙側丘腦後結節部高信號。④扁桃體活檢: 陽性(扁桃體活檢不應作為常規檢查,在腦電圖出現典型的散髮型CJD樣波型後不應進行。對臨床表現與vCJD相似,而MRI未出現雙側丘腦後結節高信號病例的診斷有意義。) ⑤診斷:a.確診診斷:具有①a和vCJD神經病理學診斷(大腦和小腦廣泛的空泡樣變及“花瓣樣”的PrP斑塊沉積);b.臨床診斷:具有①和②中的任意4項,和③或①和④;c.疑似診斷:具有①和②中的任意4項,和③a。
預防
一方面要防止經獻血或捐獻器官而傳播,另一方面要防止在外科手術特別是神經外科和眼科等手術時因污染的手術器械和用具消毒滅菌不徹底而引起醫源性感染。對患者的血液等體液及手術器械等污染物必須徹底滅菌,對含病原因子的動物屍體、組織塊或注射器等用品必須徹底銷毀。
病例
2012年12月11日, 據香港《文匯報》報導,澳門一名51歲女子9月19日在香港仁安醫院接受腦科手術後,出現類似克雅二氏症(俗稱“人類狂牛症”)的病徵,11月30日入住澳門一間醫院,臨床診斷為偶發性克雅二氏症。澳門衛生局局長李展潤表示,澳門政府尚未查到感染源頭,但證實該名病人是在香港接受手術前已感染病毒。同時,港澳兩地相關醫院已採取防範性措施,停用所有該病人可能曾經使用過的器具,並對可能曾接觸過的病人進行追蹤。

