疾病簡介
先天性髕骨脫位又稱先天性髕骨外側脫位,多為雙側,是出生後即可見到的一種較為罕見的新生兒畸形。

發病病因
病因不明,部分患者有遺傳傾向。偶可並發其它先天性畸形。患者髕骨外緣與髂脛束緊密相連,髂脛束攣縮嚴重,股四頭肌發育異常,股內側肌缺如,髕骨發育很小,使整個伸膝裝置外移,以至引起一系列畸形:髖關節和膝關節的屈曲畸形、膝外翻、脛骨外鏇和腰過份前凸。股骨髁間窩發育不良,但骨端基本正常。
臨床表現
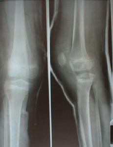
出生後即見一側或雙側的膝關節屈曲攣縮,不能伸直,髕骨已移至股骨髁的外側,不能主動伸膝,被動伸膝也受限。由於髕骨較小,且不能伸膝,故在嬰兒的股骨髁外側不易捫及髕骨。2歲以前的X線側位片上可見伸膝裝置的陰影消失。2歲以後髕骨骨化中心逐漸出現,正位片上可見髕骨位於股骨髁的外側。
疾病治療
應儘早手術治療,重建伸膝裝置。早期治療,膝關節功能多有恢復,伴隨的畸形隨生長發育而得以逐漸矯正。
手術步驟:
(一)松解髕骨外側一切攣縮組織,並作好重建準備 切口從大腿外側中下沿髂脛束到脛骨結節彎向內側,將髕骨外側的攣縮組織充分松解,包括髕韌帶外側,將股外側肌的遠端從髂脛束、股四頭腱外側緣和髕骨外緣的連線處縱形切斷,向上游離後備用。將攣縮的髂脛束切斷,如股二頭肌攣縮明顯則作延長,此時髕骨外側攣縮組織已完全被松解。
(二)髕骨的復位 沿髕骨內緣股直肌與股內側肌之間切開,此時髕骨可復位至股骨髁間。如果股四頭肌腱和髕韌帶仍不成直線,屈曲膝關節仍存有髕骨外脫位的力量,可將外側髕韌帶一半移縫至內側,直至作脛骨結節內下移手術。
(三)修補縫合軟組織,加強伸膝裝置將內側鬆弛的關節囊及滑膜切除一部分後拉緊縫合。將股內側肌稍向上游離之後用肌腹組織蓋過髕骨縫合於髕骨外緣,加強固定髕骨於中立位的力量。被松解的股外肌遠端向上移位縫於股四頭肌腱上部,減少向外牽拉髕骨的力量。切除內側多餘關節囊及滑膜修補外側滑膜缺損。術中屈曲膝關節90°,髕骨不再向外滑移,即認為滿意。術後長腿石膏托固定共6周,早期鍛鍊股四頭肌收縮功能,拆石膏後練習膝關節伸屈活動。

