基本介紹
先天性腦血管畸形先天性腦血管畸形亦稱血管瘤,非真性腫瘤,系先天性腦血管發育異常,臨床上有多種類型,其中以動靜脈畸形多見,根據畸形血管團直徑的大小,臨床分為大、中、小型病變。本病多見於男性,青年多見。臨床表現以畸形血管破裂出血為最常見症狀,部分病人以癲癇為首發症狀;由於“盜血”現象,局限性腦缺血可致腦萎縮,智力減退、精神不正常可存在。如出血嚴重,出現腦疝,如不及時救治,常可致死。本病治療方法較多,其中手術切除病源最為理想。血管內介入治療與γ-刀治療是一種全新治療方法。
臨床表現
1.一般症狀:搏動性頭痛,位於病側,可伴顱內血管雜音。2.出血:常為首發症狀,表現為蛛網膜下腔出血或腦內血腫。3.癲癇:可為首發症狀或見於出血後,多為全身性發作或局限性發作,局限性發作有定位意義。4.局源症狀:幕上病變者可有精神異常,偏癱、失語、失讀、失算等。幕下者多見眩暈、復視、眼顫及步態不穩等。5、該病兒童時期在外表就可以看出一些基本症狀:有些人在3、5歲時表現出不能走長路,走0.5公里左右的路小孩就出現疲軟,需要原地休息;讀書時,在大腦發育的前階段,特別聰明,成績很好,在大腦需要大量供血的階段,因為供血不足,大腦不能正常發育,所以有此病的學生,一般在進入國中階段開始成績下降。該病的最大特徵就是沒有任何可以明顯感知到的症狀,要到發病後才可以知道是該病,但是為時已晚,錯過了最佳治療時機。建議有上述兩個特徵的小孩到醫院進行腦造影進行診斷。診斷依據
1.青少年患者,有頭痛、癲癇和蛛網腔下腔出血史。2.臨床表現有急性顱內自發出血、或癲癇發作、或明顯局源體徵者。3.頭部CT:平掃病變常為低密度、周圍亦有低密度,若腦內出血可見高密度,增強後血管區呈高密度,有時可見供血動脈和引流靜脈。4.頭部MRI:優於CT,不僅能顯示畸形血管及其周圍腦組織,還可區別出血與鈣化。MRI血管造影相可提高畸形血管團的診斷率。5.腦血管造影:最可靠、最重要的診斷方法,動脈期可見血管團、供血動脈及早期顯現的引流靜脈。
輔助檢查
1.頭顱平片顯示顱內板受侵蝕及腦膜中動脈迂曲變寬,提示畸形血管可能。2.頭部CT可發現血腫及提供畸形血管的可能性。3.頭部磁共振:優於CT,不僅能顯示畸形血管及其與周圍腦組織的關係,還可區別出血與鈣化。4.腦血管造影是本病最可靠和主要的診斷方法,並能行血管內介入治療。
疾病治療
一、治療原則
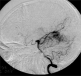
先天性腦血管畸形--造影
先天性腦血管畸形--造影二、用藥原則
1.自發出血者立即使用6-氨基己酸等止血藥,降顱壓以20%甘露醇或速尿為主,必要時使用人血白蛋白。2.癲癇:一項長期的系統的治療,根據癲癇類型,分別選用:苯妥英鈉,丙戊酸鈉,卡馬西平等,必要時用巴比妥類藥物。3.對症及支持治療。
三、介入治療
先天性腦血管畸形有多種治療方法,包括保守治療、放射治療、人工栓塞、供應動脈結紮病變切除、雷射切除等。過去,對手術治療或非手術治療存在爭議,從長期觀察來看,手術效果較好,故一般多主張手術治療。但具體採用何種方法,還需根據患者具體身體健康狀況、腦血管畸形部位、併發症等多方面因素綜合考慮,故不能一概而論。
治療選擇對於腦血管畸形的治療,可有多種方法。目前主要有如下幾種方法;血管內栓塞、手術切除、立體定向放射治療和聯合治療。對於高血流量、大型畸形血管團、位於重要功能Ⅸ或手術不能達到的腦血管畸形,適用於栓塞治療或栓塞後再於術或立體定向放射治療;對於那些位於腦表面的小畸形血管團或位於非重要功能區者,則可採用手術切除,對於那些既不能血管內栓塞、又不能手術切除、並且無出過血的病例,可採用立體定向放射治療。
先天性腦血管畸形利用現代立體定向技術和計算機功能,將大劑量的高能射線束從多個角度和方向一次性聚焦在靶點組織上達到摧毀靶點治療疾病的目的。目前,套用最多的是伽瑪刀,經伽瑪刀照射治療後,AVM可逐漸閉塞。畸形血管病灶越大,伽瑪刀治療的療效也漸差;另外,伽瑪刀治療完全顯效需2年以上。一般認為AVM最大徑小於3cm,位於重要功能區或腦深部的小型病灶,全身狀況不能耐受開顱手術者,及手術切除或血管內介入栓塞後殘留病灶是選擇此治療的適應證。
先天性腦血管畸形治療的目的和意義是:①經過血管內栓塞完全消除病灶,恢復腦組織的正常血液供應;②對大型腦血管畸形,栓塞使其體積縮小,從而減少腦出血和癲癇發作的機會,有助於控制臨床病情;③栓塞也可作為外科手術的輔助手段,也為立體定向放射治療創造條件。血管內栓塞治療的方法是將微導管送進至畸形血管團內,注入栓塞劑。一般採用醫用膠將畸形血管團栓塞從而達到治療的目的.
四、綜合治療
先天性腦血管畸形五、保守治療:
先天性腦血管畸形對於年齡較大、僅有癲癇症狀並能通過藥物控制、位於腦重要功能區、腦深部或病變廣泛的患者,可以考慮保守治療。讓患者了解AVM的自然疾病過程,儘量不影響其工作和生活,指導患者保持良好的生活習慣和規律,避免過度疲勞和心情激動,控制血壓,給予抗癲癇和其他對症治療等。

