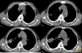
概述?
這是病理學上的術語,分高中低分化3種。一般來說,癌組織分化越高,形態上就與正常組織越接近。從惡性程度上講,高分化癌的惡性程度就比低分化癌低。當然這只是從病理上來說的,腫瘤的預後往往和臨床分期的關係更密切。多數基礎及臨床研究均將高、中分化合併為分化型癌以區別於分化較差的病理類型。
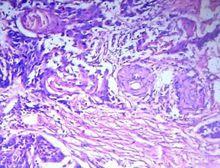
病理學?
中分化癌細胞核增大明顯,超過細胞體積的增大,故核質比例失常。並且癌細胞分化愈差,核質比例失常愈明顯。 此外,細胞核染色質邊移,出現巨大核仁,異常核分裂,以及細胞體積增大,且大小不等,並出現梭形、蝌蚪形、星形等異常形態,亦可作為癌細胞的輔助診斷依據。

