臨床表現
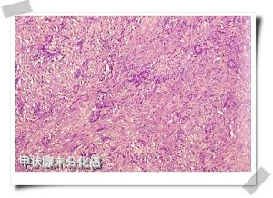
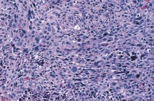
甲狀腺未分化癌病理改變
(1)肉眼觀:腫塊較大,病變不規則,無包膜,廣泛浸潤、破壞,切面灰白,常有出血、壞死。(2)鏡下:癌細胞大小、形態、染色深淺不一,核分裂像多。組織學上可分為小細胞型、梭形細胞型、巨細胞型和混合細胞型。可用抗Keratin、CEA及thyroglobulin等抗體作免疫組織化學染色證實是否來自甲狀腺腺上皮。

甲狀腺未分化癌是甲狀腺癌中惡性程度最高的一種,發病率約占全部甲狀腺癌的10-15%,多見了年老體弱者,發病迅速,早期可發生全身轉移,一般認為多發生白良性腫瘤或低惡性腫瘤。甲狀腺未分化癌(undifferentiated carcinoma)又稱間變性癌(anaplastic carcinoma)或肉瘤樣癌(sarcomatoid carcinoma),較少見,多發生在40歲以上,女性較多見,生長快,早期即可發生浸潤和轉移,惡性程度高,預後差。
甲狀腺未分化癌(2)鏡下:癌細胞大小、形態、染色深淺不一,核分裂像多。組織學上可分為小細胞型、梭形細胞型、巨細胞型和混合細胞型。可用抗Keratin、CEA及thyroglobulin等抗體作免疫組織化學染色證實是否來自甲狀腺腺上皮。
