概述
常發生於某些皮膚病的基礎之上,如慢性潰瘍、尋常狼瘡、慢性盤狀紅斑狼瘡、黏膜白斑、燒傷疤痕、射線皮炎等。惡性程度較基底細胞癌高,容易發生轉移。關鍵在於早期診斷、早期治療。
鱗狀上皮癌症狀體徵
1.常見於50歲以上的老年人,多發生於皮膚黏膜交界處。
2.初起時為圓形隆起的乾燥疣狀小結節或為紅色堅硬的斑塊,表面有少許鱗屑,繼而發生潰瘍,並逐漸擴大,向深部侵犯,邊緣外翻或形成菜花狀腫物,惡臭和自覺疼痛,晚期可發生淋巴結轉移和內臟轉移。
多發於50歲以上的男性,常見於面部、頭皮、下唇、手背、前臂、陰部等處。
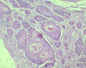
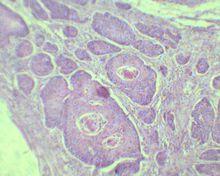
尤其是皮膚與黏膜交界處更易發生。初起為暗紅色堅硬的疣樣小結節,表面毛細血管擴張,中央有角質物附著,不易剝離,用力剝後可出血。皮損逐漸擴大,形成堅硬的紅色斑塊,表面有少許鱗屑,邊境清楚,向周圍浸潤,觸之較硬,迅速擴大形成潰瘍,潰瘍向周圍及深部侵犯,可深達肌肉與骨骼,損害互相粘連形成堅硬的腫塊,不易移動,潰瘍基底部為肉紅色,有壞死組織,有膿液、臭味,易出血。潰瘍邊緣隆起外翻,有明顯炎症,自覺疼痛。如發生在皮膚與黏膜交界處,固潮濕與摩擦更易出血,發展更快,可形成菜花狀,破壞性大,有明顯疼痛,易轉移,預後不良。
病變粗糙、脫屑、潰破等,鄰近淋巴結及區域淋巴結腫大、固定。大部分肺鱗狀細胞癌起源於中心性主支氣管、葉支氣管或段支氣管。
腫瘤科、眼科、疾病描述鱗狀細胞癌亦稱皮樣癌,主要從有鱗狀上皮覆蓋的皮膚開始。皮膚和結膜交界處的瞼緣是其多發部位。此類癌腫惡性程度較基底細胞癌者為高。發展較快,破壞也較大。即可破壞眼部組織,侵入副鼻竇或顱內,又可以通過淋巴管轉移至耳前或頜下淋巴結,甚至引起全身性轉移。多發發生於中老年人,好發於瞼緣皮膚黏膜移行處。

