牙周夾板製作要求
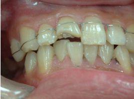
不論何種夾板,應儘量將夾板設計成弧型,可更為有效地分散咬合力。如右下頜中切牙鬆動,欲做下頜前牙區松牙固定術時,右下尖牙到左下尖牙的牙周夾板固定效果要優於單純只涉及切牙區的夾板固定。原因在於單純只涉及切牙區的固定夾板是呈直線形,在咬合力作用下固定的牙齒易發生整體移動。而右下尖牙到左下尖牙的牙周夾板呈弧形,咬合力作用中心點位於舌側兩個尖牙連線的中點,在咬合力作用下不易發生整體移動,見圖1。
下頜前牙區松牙固定術左圖示單純只涉及切牙區的固定夾板呈直線形,右圖示右下尖牙到左下尖牙的牙周夾板呈弧形,箭頭示咬合力作用中心點位於兩個尖牙連線的中點。
牙周夾板種類
牙周夾板可分為暫時性牙周夾板和永久性牙周夾板,暫時性夾板使用時間較短,一般幾周到數月不等,一般當組織對治療反應良好,X線檢查顯示有骨組織的修復時,可考慮拆除或換用永久性夾板。永久性夾板需長期戴用。
暫時性牙周夾板
暫時性牙周夾板一般對基牙損傷小,操作簡便,可隨時修補或拆除,色澤較為美觀且價格便宜,但剛度較小,固位傳力作用差。牙面上有附加物,如結紮絲等,患者需要一段時間適應,也增加了菌斑控制難度。使用期間要經常複診檢查菌斑控制情況,及時進行修補。
暫時性牙周夾板包括以下幾種:
1.1結紮絲固定暫時性牙周夾板
主要是利用細不鏽鋼結紮絲將患牙結紮在一起,並固定於健康穩固的鄰牙上。首先取直徑為0.25mm不鏽鋼絲一段,長度以水平圍繞所要固定的牙齒唇面和舌面再延長125px為宜。將鋼絲從固定牙齒的遠中間隙穿入,經舌隆突再由該牙近中間隙穿出,結紮絲的位置應在舌隆突與鄰面接觸點之間,以防止鋼絲滑脫或滑入齦緣以下,對牙齦造成刺激和損傷。把鋼絲拉緊在近中牙間隙處扭結,鉸結多少可根據牙間隙的寬窄決定,若間隙很小,也可不作扭結,僅做一“8”字形交叉,再結紮另一個牙。結紮鋼絲扭結程度要適當,不能產生改變牙齒原來位置的矯正力。將鋼絲兩端分別由牙間隙中呈∞形穿出穿進,一直終止於健康牙上。鋼絲末端絞緊,剪去多餘鋼絲,斷端彎向牙齦方向,置於牙間隙內,以免在咬合咀嚼過程中鬆脫移位,並應注意切勿刺激牙齦及唇頰黏膜。必要時可加用釉質粘合劑或複合樹脂,加強結紮的穩固。也可使用結紮絲暫時性固定鬆動牙齒,即取適當長度的細不鏽鋼絲,彎製成弓形,與所需固定牙齒的外形一致,在每一牙間隙處利用一段段短的不鏽鋼絲拴結固定,而非主絲自身扭結。
結紮後應檢查咬合關係,防止咬在鋼絲上。在臨床上如發現有早接觸,則應進行咬合調整。結紮絲應儘量不妨礙患者口腔衛生措施的實施,應對患者加強口腔衛生宣教,教會在結紮的情況下如何控制菌斑。一般可用牙間隙刷清潔鄰面,並注意刷淨舌側牙面等。可用於外傷或牙周術前暫時性固定。
1.2光敏複合樹脂暫時性牙周夾板
製作樹脂夾板時,先將被固定牙齒的牙面徹底清潔,隔濕,將牙面酸蝕後,塗布粘結劑粘接,光照20秒。選擇與患牙顏色相同的樹脂材料,用塑膠調刀取適當樹脂置於牙面上,一般在牙冠的中l/3區,厚0.5~1.0mm,夾板寬度以不妨礙咬合、不刺激牙齦為宜,齦外展隙保持通暢,以便於患者自潔。光照固化,調整咬合,消除早接觸點,拋光使表面光滑對稱。可用於外傷或牙周術前暫時性固定。
1.3不鏽鋼絲聯合複合樹脂暫時性牙周夾板
按照上述方法用細不鏽鋼結紮絲將患牙結紮在一起後,在牙齒唇舌鄰面可覆蓋樹脂製作鋼絲與複合樹脂聯合夾板。或將0.4mm不鏽鋼絲,彎製成弓形,與所需固定牙齒的舌側外形一致。牙面酸蝕、塗布粘接劑,光照後,用複合樹脂將預彎的鋼絲固定在兩側健康牙上,光照固化後,表面再覆以樹脂,光照固化,形成類似鋼筋水泥狀結構。這兩種方法都是利用鋼絲和複合樹脂的雙重固定作用,與單純使用樹脂或鋼絲相比,較牢固,維持時間較長。可用於固定牙周治療後鬆動仍較明顯的前牙,尤其是下前牙。
1.4玻璃纖維牙周夾板
目前隨著材料學的迅速發展,一種玻璃纖維材料業已問世,並以其獨特的性能成功運用於口腔臨床。玻璃纖維具有輕、薄、高強度、有粘結性、生物相容性好、易操作、美觀等優點,見圖2。與金屬絲相比,玻璃纖維具有與牙釉質、牙本質相接近的彈性模量,其強度較高, 不易折裂。用這類材料製成的牙周夾板,具備良好的剛性和密合性,能有效傳導分散咬合力,減輕牙周組織的創傷,亦有效避免了反覆修補折裂的複合樹脂夾板的問題,可成功使用1年以上。
圖2玻璃纖維牙周夾板固定下前牙圖2 玻璃纖維牙周夾板固定下前牙。可見玻璃纖維表現出良好的美觀效果。玻璃纖維不僅強度和硬度高於常規使用的複合樹脂,還具有更大的彎曲強度,即使牙列擁擠、排列不齊,使用玻璃纖維進行牙周夾板固定,也可與牙面充分貼合,不影響美觀。
操作方法詳見相關產品說明書,一般只需酸蝕牙面、塗布粘結劑、光照、放置適當長度的事先用粘結劑充分浸潤的玻璃纖維,光照,調整咬合,拋光即可。
注意事項:①最好使用橡皮障,如無條件,應注意嚴格隔濕;②事先準確測量纖維帶的使用長度。可先用牙線作為參照,放在所需固定的牙齒的牙面,測量其長度,裁剪相應長度的玻璃纖維;③可以用高強度流動樹脂填充牙齒間隙,注意修整外形,齦外展隙保持通暢;④囑患者注意口腔衛生,定期觀察。
暫時性夾板固定牙周炎引起的鬆動牙的時間不宜過長,一般在6個月至1年後根據病情另行處理或選擇永久性夾板固定。
永久性牙周夾板
永久性牙周夾板是一種需要患者長期戴用,將鬆動牙和健康牙連線固定在一起,比較堅固的修復體。在伴有牙列缺損時,可同時起到牙周夾板和義齒修復的功效。一般用於:①經過暫時性固定後,療效良好,考慮換用永久性牙周夾板;②牙周病患牙經過治療,炎症基本消失或控制,但需長期固定鬆動牙;③部分牙列缺損,修復缺牙同時需要固定鬆動牙。
永久性牙周夾板分為固定式、可摘式及固定可摘式夾板三種:
2.1固定式永久性牙周夾板是指經過粘固,患者不能自行取下的夾板。有鑄造聯冠固定式、牙周夾板連續嵌體固定夾板、金屬烤瓷聯冠等多種形式。固定式永久性夾板的牙周潛力大於餘留牙牙周潛力的總和,鬆動牙固定效果牢固,保持時間長。
2.2 可摘式恆久夾板是指患者能自行摘戴。其優點為:易於保持口腔衛生,便於進行其他牙周治療,製作時切割牙體組織少,製作比較簡單,較美觀。它包括:連續卡環夾板、牙合 墊式夾板、鑄造支架式夾板、塑膠基托牙周夾板、彈性義齒聯合牙周夾板等。塑膠基托式夾板製作簡便,無需特殊設備,易於修改且價格低廉,但它的穩定性不及鑄造支架,且菌斑易於滯留組織面。鑄造支架式夾板剛度強,具有較強的制動作用,價格也較昂貴。
可摘式夾板是靠部分進入基牙軸面倒凹的卡環,獲得固定效果,長期摘戴會使基牙受到過度頻繁的非牙合 向作用力,不利於基牙牙周組織的健康。而可摘式磁性永久性牙周夾板是利用栓道和磁固位體固位,可在增加夾板固位力和穩定性的同時,餘留牙所受側向力明顯減小,而且就美觀和舒適程度來說,也優於傳統的可摘式夾板。
2.3 固定可摘式夾板以套筒冠為代表,兼具可摘和固定義齒的優點,又具有牙周夾板的作用,美觀,異物感小,對基牙扭力小,基牙所受創傷小,更利於牙周組織的健康,但有牙體製備量大等缺點。
臨床上應該根據牙齒、牙周、缺牙及咬合情況等檢查,結合X線片確定牙周夾板的種類、基牙數目及牙位,確定製作方案。具體製作過程及方法參見口腔修復學部分。但應注意取模時,要防止將鬆動牙推移變形。佩戴牙周夾板後應定期複查,每3個月或6個月隨訪,以發現問題及時處理。
適應證
目前,在臨床上松牙固定術主要套用於以下幾個方面:
a.對外傷引起的鬆動牙,有保留價值者,一般固定8周拆除;
b.牙周治療後,軟組織炎症已經控制,咬合干擾已經消除的情況下,仍然進行性鬆動的牙齒。但牙周炎未經牙周治療,或經治療,牙周組織炎症仍未消退,或口腔衛生仍不佳者,不易急於做松牙固定術;
c.患者自覺鬆動的牙齒妨礙咀嚼或有明顯不適者。如鬆動牙齒能行使咀嚼功能而且無不適,說明該牙齒已經具有適應和代償功能,則無需固定;
d.牙周手術前,為減少手術創傷,利於術後組織修復,可在術前固定患牙 。
療效評估
松牙固定術的預期結果是牙周組織破壞被終止,患者自覺咀嚼舒適,現有症狀和體徵得到穩定控制,主要指標評估包括:
a 牙齒鬆動度減輕或消失。
b 牙齒移位停止、改善或恢復原有位置。
c X線檢查發現牙槽骨病理性改變減少或變得穩定。
d 患者自覺疼痛減輕,咀嚼舒適。
e 早接觸、震顫和咬合干擾消除。
f 建立一個穩定的、有功能的、與牙周組織健康協調一致的以及患者主觀上可接受的咬合關係。
禁忌證
牙周軟組織炎症沒有有效控制,咬合干擾沒有消除的情況下不能開始製作固定夾板。
注意事項
1.在松牙固定時應保持牙齒原來的位置,不可有牽拉移位等力量,以免造成新的咬合創傷,甚至引起牙齒急性疼痛症狀。
2.松牙固定後應即刻檢查有無新的咬合創傷,如有,應及時進行咬合調整。並告知患者不能使用松牙固定的牙齒咀嚼硬物。
3.應教會患者如何進行松牙固定的牙齒的清潔,掌握有效的菌斑控制方法,加強口腔衛生指導。

