概述
Sertoli-Leydig細胞瘤又稱男性母細胞瘤,少見,由不同分化程度的Sertoli細胞、類似睪丸網上皮細胞的瘤細胞、類似纖維母細胞和Leydig細胞的瘤細胞構成,瘤組織可由上述單一一種細胞或多種細胞混合構成。
分類
網狀型Sertoli-Leydig細胞瘤是Sertoli-Leydig細胞瘤的一個特殊亞型,臨床表現為低度惡性或惡性。鏡下見由組織學上與睪丸網相似的結構組成,並且這種結構占腫瘤的90%以上。如果網狀成分在10%~90%之間則稱為伴網狀成分的中、低分化的Sertoli-Leydig細胞瘤。
免疫組化特點
Sertoli-Leydig細胞瘤免疫組化顯示性索和間質呈不同程度vimentin、CK、a-抑制素陽性。偶爾,EMA陽性。在報導的少量病例中ER、PR陽性。Leydig細胞呈CK、CAM5.2和AFP陰性,而vimentin、a-抑制素強陽性,從而有助於與肝細胞癌鑑別。異源性成分的免疫組化表現與其來源組織相同,黏液性上皮表達CK7強陽性,EMA陽性,肌源性成分表達actin、desmin等。網狀型Sertoli-Leydig細胞瘤免疫組化顯示網狀區表達CK和中等程度的a-抑制素,而性索間質區相反。網狀區vimentin表達在細胞核下。
圖示
1 中分化者,切面呈囊實性,局部出血。
2 成片的Leydig細胞周邊可見Sertoli細胞巢,鄰近區域水腫
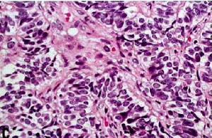
Sertoli-Leydig細胞瘤3 圖中央可見實性Sertoli細胞條索圍繞Leydig細胞簇
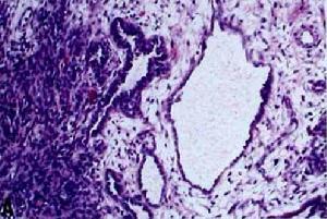
Sertoli-Leydig細胞瘤4 網狀型Sertoli-Leydig細胞腫瘤。在細胞性結節的周邊,網狀型空隙周圍是水腫的卵巢間質
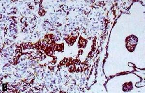
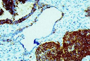
Sertoli-Leydig細胞瘤5 Keratin染色顯示出網狀區域,而鄰近的性索和間質則呈局部表達
Sertoli-Leydig細胞瘤6 Sertoli-Leydig細胞腫瘤伴網狀成分。性索區域抑制素呈強陽性,而網狀區域為弱陽性
Sertoli-Leydig細胞瘤診斷
本病多發於卵巢,由於患者在臨床上有男性化體徵和盆腔內扣到包塊,進一步測定血尿中的17羥和17酮類固醇,並作ACTH刺激試驗和DXM抑制試驗與腎上腺或卵巢腫瘤所致男性化體徵。
因為本瘤有時甚小,甚至在手術 時也不易確定,故有作者提出。若術中不能肯定腫瘤時,應作卵巢楔形活檢。

