背景
頭顱及胸腹部CT灌注影像1979年,正值亨氏(Hounsfield)研製出世界上第一台 CT 機 8 年之際,Axel 率先倡導從動態增強CT 資料中了解組織的血流灌注情況,開創了功能性 CT 成像的先河。但是,由於該技術需要快速採集、處理圖像,CT 灌注檢查自 2 0世紀 8 0 年代起一直限於電子槍 CT對腎臟和心肌血流的研究。 1990年單層面螺鏇 CT(SSCT)問世後,人們可以用 SSCT 進行灌注檢查。多層面 CT (MSCT )則使 T 灌注從單層動態發展為多層動態,進一步拓寬了 C T 的套用範圍。目前 CT 灌注已成為 CT 常規檢查中的一部分,為評價急慢性腦缺血,肝、胰和骨骼的良惡性腫瘤的診斷和鑑別診斷 ,提供了更有價值的影像學方法。
成像原理
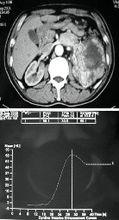
腎腫瘤組織的感興趣區域及其TDC曲線CT 灌注成像有 非去卷積法和 去卷積法,其原理是基於對比劑具有放射性同位素的彌散特點,通過從靜脈團注對比劑,在同一區域行重複快速 CT 掃描,建立動脈、組織、靜脈的時間密度曲線(TDC ),並通過不同的數學模型計算出灌注參數及彩色函式圖 ,從而對組織的灌注量及通透性作出評價。
非去卷積法
非去卷積法套用 Fick 原理 ,即組織器官中對比劑蓄積的速度等於動脈流入速度減去靜脈流出速度,它又分為瞬間法和斜率法。
(1) 瞬間法(moments method)該法由 Axel 於 1980 年 首先提出,其理論基礎是示蹤劑稀釋理論。他認為在沒有對比劑外滲和消除對比劑再循環的情況下,可根據時間密度曲線計算出腦血容量(CBV )。
(2) 斜率法(slope method)這種方法由 Peters 於 1987 年 提出,他認為當時間小於最短通過時間時,所有注入的對比劑均留在腦血管內,其前提是假設對比劑從流入動脈開始到最短通過時間這期間沒有靜脈流出,即 CV(t)= 0,那么腦血流量 CBF=Q(t)最大初始斜率 /Ca(t)的峰值高度。
去卷積法
該法是在上述兩種非去卷積法概念的基礎上,由 Cenic 等 於 1999 年提出。由於非去卷積法假定對比劑的注射速率是瞬間的,與實際情況不相符合,要想獲得血流量和平均通過時間的定量結果,運算法必須要考慮到對比劑的實際注射速率,把每個像素位置的時程數據轉化為相應的推動剩餘函式(impulseresidue function,IRF),或稱為脈衝式特徵曲線函式(impulse responsefunction,IRF),以此來反映靜脈團注對比劑後隨時間的推移對比劑在組織內的數量。去卷積法 利用推動剩餘函式計算對比劑靜脈流出,對灌注的流入動脈和流出靜脈綜合考慮,計算 BF 、BV 和 MTT時不需要對潛在的脈管系統進行假設,與實際的血流動力學相近,計算出的灌注參數和函式圖更能反映病變內部的實際情況。
成像技術
目前世界上 CT 灌注成像技術方法眾多,其參數各異,但是,數學模型卻不外乎非去卷積算法和去卷積算法 。
CT灌注CBF、CBV、MTT圖西門子公司使用斜率法計算得出血容量(BV )至峰值時間(TTP )以及瞬間最大密度投影(tMIP )函式圖。BV 從組織增強峰值與動脈增強峰值的比率中計算出來。飛利浦公司 C T 灌注軟體也使用斜率法計算函式, 但使用Mullani~Gould 公式計算瞬間最大密度投影(tMIP)圖像、峰值增強圖像、TTP 、MTT 的函式圖。先在動脈內放置一個感興趣區,得到一條光滑的動脈增強曲線,以此來確定至峰值時間。G E 公司使用去卷積算法,對動態圖像數據進行分析,獲得 BF 、BV 、MTT 、PS 等灌注參數及函式圖。2001 年,該公司把多層技術與CT 灌注成像相結合研製開發了新的軟體包,實現了多層同層動態CT 灌注掃描,即“Toggling-Table”技術 ,克服了單層螺鏇 CT 的 Z軸掃描範圍小的缺點,可實現多層同時掃描,增大了檢查的縱向解剖範圍,能夠挑選病變截面較大、靜脈清楚、圖像質量好的一組進行分析,使得到的灌注參數更加準確。
臨床套用
目前,CT 灌注的臨床套用 主要在急性腦缺血和腫瘤學 的研究方面。腦缺血時局部血流減少,灌注的目的在於了解缺血的程度,量化分析單位組織內的血液動力學 變化,從而對缺血組織進行評價,及時恢復正常血供。對腫瘤灌注的目的是探索由新生血管形成所引起的灌注值及毛細血管通透性的改變,通過抗血管生成抑制腫瘤生長。
急性腦缺血
臨床上 CT 廣泛套用 於腦卒中檢查以除外腦出血抑或腦缺血 ,其中,後者占85%,大部分患者在發病 6 小時之內 CT往往表現正常或不典型而誤診或漏診。
腫瘤
腫瘤是血管生成依賴性疾病。腫瘤血管生成是新生血管在腫瘤血管上形成的過程 。在血管生成之前,由於缺乏營養、氧氣和生長因子等,腫瘤生長慢、體積小,常常在 2 ~3mm ;血管生成之後,不但腫瘤生長速度明顯加快,而且使其產生了轉移能力,血管生成量化的標準是微血管密度(MVD )計數,腫瘤新生血管情況是評價腫瘤生長、轉移、良惡性及惡性程度的重要指標 。不同性質的腫瘤或分化程度不同的惡性腫瘤,其血液動力學改變也不相同。腫瘤惡性程度越高,其分化程度越低,腫瘤新生血管的內皮細胞越不完整,相鄰的細胞間隙越大,腫瘤細胞越容易進出血管造成遠處轉移。C T 灌注成像可反映出活體內腫瘤血管生成的微血管變化,評價腫瘤的良、惡性程度。雖然常規 C T 檢查可提供腫瘤的解剖學影像,若將其與 CT 灌注成像技聯用,不僅可發現有利於診斷的額外信息和線索,而且對腫瘤的分期、分級、預後以及對腫瘤的療效觀察也非常有用。
其他
CT 灌注成像在評價慢性腦缺血、肝硬化 、肝移植 、腎小球濾過和腎動脈狹窄等方面 也有套用 。
影響因素及技術限度
CT 灌注成像 反映的是單位時間內每像素或體素內對比劑濃度的變化,灌注參數和圖像質量受掃描條件、對比劑量、注射速度、原始圖像重建條件、計算法則、運動偽影、部分容積效應、病人心輸出量等多種因素影響。
CT 灌注成像技術的限度 之一就是檢查範圍較小。既往傳統 CT或 SSCT 均為單層動態掃描,即使目前的 MSCT 雖可實現多層同層動態掃描,在一定程度上增加了Z軸掃描範圍,但是其時間解析度 明顯下降。由於 MTT 和 PS 的質量與精確度在很大程度上取決於數據集時間解析度。一般情況下,1 秒的時間解析度就夠了,時間解析度降低,其精確度就會降低,另外,病人的任何運動都可導致灌注值出現誤差,完全局限於圖像平面內的各種運動無論是平移還是鏇轉,都可用圖像配位的方法來解決,但是圖像以外的運動將引起數據丟失。儘管,在多層面研究中,可逐一層面追蹤運動組織,但其能力有限,由呼吸引起的層面不連貫仍然是一個棘手問題,呼吸門控有可能使這一問題得到部分解決,但會導致時間解析度下降。由於 X 線束硬化偽影對 CT灌注結果有明顯影響,當顯示野記憶體在假牙、假體或心腔的高密度對比劑周圍有密度偽影時,應慎用 CT 灌注檢查。
展望
隨著肝臟 CT 灌注軟體特別是有關毛細血管通透性軟體的開發、上市,CT 灌注成像技術已越來越成熟 ,與 PET 標準化攝取值類似的計算標準化灌注值的 CT 灌注軟體包的套用,對腫瘤的研究也有了進一步提高 。新的圖像採集方法使一次獲得多個生理參數成為可能,新上市的對比劑可在血管記憶體留較長時間,部分地克服了普通對比劑的不足。MSCT 與灌注成像技術結合,實現了多層同層動態 CT 灌注掃描。自動毫安秒技術降低了與重複掃描有關的射線量,呼吸門控的套用減少了胸部功能檢查時的運動偽影,心電門控使心臟 CT 灌注檢查更加精確。PET/CT 裝置的發明為 CT 灌注與 PET 有關葡萄糖代謝或其它生理資料的融合提供了機遇,對研究活體內組織缺血、腫瘤血管生成與葡萄糖代謝的關係可提供更有價值的信息。

