簡介
詞解
(Chinese Hamster Ovary,CHO) 中國倉鼠卵巢細胞
介紹
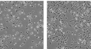
1957年美國科羅拉多大學Dr. Theodore T. Puck從一成年雌性倉鼠卵巢分離獲得,為上皮貼壁型細胞,是生物工程上廣泛使用的細胞系。
該細胞具有不死性,可以傳代百代以上,是生物工程上廣泛使用的細胞。另外CH0細胞在基因工程使用中還有一個優點,該細胞屬於成纖維細胞(fibroblast),是一種非分泌型細胞,它本身很少分泌CHO內源蛋白,因此對目標蛋白分離純化工作十分有利。可形成有活性的二聚體(如白介素2),具有糖基化的功能(如EPO),CHO為表達複雜生物大分子的理想宿主。
由於該細胞存在遺傳缺陷,無脯氨酸合成基因,不能將谷氨酸轉變為谷氨酸--半醛,培養過程中需在培養基中添加L-脯氨酸才能生長。並且由於該細胞已經霍亂毒素適應,形態學有所改變。最初細胞為貼壁型細胞,經多次傳代篩選後,也可懸浮生長。
工業生產上套用較多的是CHO-K1細胞,為轉化細胞系,細胞染色體分布頻率是2n=22,系亞二倍體細胞。ATCC保存CHO-K1細胞株,編號為CCL-61,被廣泛地用於重組DNA蛋白的表達。
特性
CHO細胞雖可像微生物細胞一樣,在人工控制條件的生物反應器中進行大規模培養,但其細胞結構和培養特性與微生物細胞相比,有顯著差別: 動物細胞比微生物細胞大得多,無細胞壁,機械強度低,對剪下力敏感,適應環境能力差;倍增時間長,生長緩慢,易受微生物污染,培養時須用抗生素;培養過程需氧量少(氧傳質係數kLa 大於10 h-1即可滿足每毫升107 個細胞的生長);培養過程中細胞相互粘連以集群形式存在;原代培養細胞一般繁殖50 代即退化死亡;代謝產物具有生物活性,生產成本高,但附加值也高。
套用展望
通過幾十年的發展至今,CHO細胞已成為生物技術藥物最重要的表達或生產系統,這種局面人將持續並且其所占比例有逐年增大趨勢。CHO細胞大規模培養技術及其生物反應器工程可廣泛套用於抗體、基因重組蛋白質藥物、病毒疫苗等生物技術產品的研究開發和工業化生產。(2012)
其他釋義
CHO首席人力資源官(CHO)
職能介紹
首席人力資源官(Chief Human Resource Officer),或分管人力資源的副總(不是人力資源總監,人力資源總監是HR Director)CHO,是現代公司中最重要、最有價值的頂尖管理職位之一,CEO(Chief Executive Officer)的戰略夥伴、核心決策層的重要成員。作為一名CHO,必須從戰略高度努力構建高效實用的人力資源管理系統,成功進行人才選拔,建立科學的考核與激勵機制,最大限度地激發人才潛能,創建優秀團隊,塑造卓越的企業文化,推動組織變革與創新,最終實現組織的持續發展。
本職
制定集團化經營的公司人力資源的戰略規劃,並監督執行,負責建立暢通的溝通渠道和有效的激勵機制,全面負責人力資源部門的工作。
人力資源總監崗位職責
(CHO的職責更加巨觀,而且沒有定論,所以用總監級別的職責描述暫代)
職責一
制定公司人力資源的戰略規劃。
工作任務:根據公司發展戰略,組織制定人力資源戰略規劃。參與公司重大人事決策。定期組織收集有關人事、招聘、培訓、考核、薪酬等方面的信息,為公司重大人事決策提供信息支持。定期組織收集員工想法和建議。
職責二
督促公司人力資源戰略的執行。
工作任務:根據公司的情況,組織制定公司招聘制度、培訓制度、薪酬考核制度、人事檔案管理制度、員工手冊等規章制度、實施細則和工作程式,並組織實施。負責工作分析、崗位說明書與定崗定編工作,提出機構設定和崗位職責設計方案,對公司組織結構設計提出改進方案。
職責三
負責建立暢通的溝通渠道和有效的激勵機制。
工作任務:負責建立公司、子公司內部暢通的溝通渠道,及時了解員工意見和想法。積極聽取和採納員工合理化建議,並反饋給相關部門。受理員工投訴,調查後落實相關部門解決。負責建立有效的激勵機制,充分發揮員工的積極性和創造性。
職責四
全面集團化經營公司的負責人力資源部門的工作。
工作任務:組織制定公司年度人力資源需求計畫。組織人員招聘過程,通過多種渠道為公司尋求合適的人才。組織制定公司培訓計畫,組織人員參加培訓,評估培訓效果。負責組織公司員工的考核,處理員工針對考核結果的申訴。依據公司工資總額,編制公司年度薪資調整方案,審核公司員工每月的薪酬。負責處理各種與勞動契約相關的事宜。
職責五
職責表述:其他工作。
工作任務:負責對公司部門工作的考核。負責公司人力資源信息的上傳下達工作。代表公司與政府及其他單位對口部門溝通、協調。
職責六
職責表述:內部組織管理。
工作任務:負責將部門工作計畫分解到個人,並監督計畫完成情況。評價考核下屬員工工作完成狀況。控制部門預算的使用情況。
1)組織調研公司現階段及中長期人力資源需求及外部供給情況,制定人力資源政策及規劃,並推動實施,確保人力資源滿足公司業務發展需求。
2)主持人力資源系統年度預算大綱的制訂,提供關於人力資源方面的專題報告或建議。
3)參與公司研發規劃及產品立項評審決策,確保研發項目獲得有效人力資源支持。
4)組織制定及完善公司的招聘體系、薪酬及福利體系、激勵與約束機制、績效考核體系、培訓體系,並推動實施。
5)建議高層管理人員、核心人員的聘用、調配、解聘、職位等級和報酬待遇;審核其他員工的聘用、調配、解聘決定和職位等級、報酬待遇的確定及調整。
6)根據公司發展變化情況,提出公司各業務系統組織結構、職位設定的調整建議。
7)跟蹤研究職位及人員變化情況,擬訂公司人員編制計畫,控制人力資源成本。
8)制訂公司企業文化的推進計畫,並推動、監督實施,確保推進計畫與核心價值觀的一致性。
9)建議並培養組織研究公司管理上的重要問題,制定階段性的管理推進計畫,並組織實施。
10)培養本職位接班人,提名人力資源管理幹部,建設人力資源管理幹部隊伍。
任職資格
1、知識結構首先,HRD應該具備通用知識。
首先要想成為HRD,你就必須既是通才,又是專才!
再次,HRD能熟練運用招聘培訓、績效考評與薪酬福利知識。
2、能力要求首先,HRD的戰略能力。
首先,HRD應站在戰略的高度與執行長(CEO)共同制定企業發展戰略。
其次,團隊建設能力。 HRD應該具備建設企業團隊的能力
再次,溝通領導能力。 HRD往往應該擁有有效的溝通技巧
3、HRD的領導還應該與企業文化融合。
4、HRD要做的不僅是人員的規劃,還是對時間的管理,以下是關於HRD要做的管理時間的法則:
1.對目標、任務、會議等事件分別按優先權進行排序;
2.從優先權最高的事物著手;
3.和拖延做鬥爭,如果事情重要,從現在開始做;
4.把大的、艱難的任務細分為小的、容易的部分;
5.為自己創造一小時的寧靜,哪怕這需要很強的意志力,或者有時不起作用;
6.找到一個隱蔽的地方,如圖書館或空閒的辦公室;
7.當你有重要的事情要處理時,學會對別人說“不”;
8.學會委派別人做事;
9.歸納相似的事情,把它們放在一起處理;
10.減少例行事務:它們不值得花費過多時間。縮短低價值的事件。拋開沒有價值的信件和文書工作。委派別人完成、減少或推遲優先權很低的任務;
11.避免完美主義。記住80/20 定律;
12.給下屬時間說出意見;
13.不要把時間表排得滿滿的,為自己留下一定機動時間應付突發事件;
14. 設定時間限制。例如,做某些決定時,不應超過3 分鐘;
15.聚精會神地做手頭的事情;
16.迅速處理困難的事情,等待和拖延不會使它們變容易;
17.文書工作爭取只處理一次;
18.在行動以前,徹底地思索整件工作;
19.第一次就做好。
健康官
首席健康官是負責構建並運營企業員工健康管理計畫的高層人員,英文全稱為:Chief Health Officer,簡稱為CHO;
職責:
(1)負責構建企業員工的健康保障計畫;
(2)負責員工健康數據的統計與處理;
(3)負責與第三方相關醫療單位溝通並提出可行的員工健康保障計畫;
(4)如果員工健康出現問題,首席健康官應該承擔責任並作出反應;
(5)首席健康官應該具有獨立性,應該勇於承擔員工健康福利的責任;
協調官
CHO:Harmony 首席協調官,調解投資者和經營者之間的衝突,並確保公司內部矛盾不要泄露。
總膽固醇
CHO:總膽固醇
總膽固醇是指血液中所有脂蛋白所含膽固醇之總和.人群總膽固醇水平主要取決於遺傳因素和生活方式. 總膽固醇包括游離膽固醇和膽固醇酯,肝臟是合成和貯存的主要器官。膽固醇是合成腎上腺皮質激素、性激素、膽汁酸及維生素D等生理活性物質的重要原料,也是構成細胞膜的主要成分,其血清濃度可作為脂代謝的指標。國內外專家推薦成人理想膽固醇值為<5.2mmol/L。
股票術語
CHO——佳慶指標
1.CHO 曲線產生急促的「凸起」時,代表行情即將向上或向下反轉;
2.股價>90 天平均線,CHO由負轉正時,買進;
3.股價<90 天平均線,CHO由正轉負時,賣出;
4.本指標也可設參考線,自定超買超賣的界限值;
5.本指標須配合OBOS、ENVELOPE(暫缺)同時使用。
音樂專輯
CHO
CHO醛基
CHO代表醛基。醛基是由[[羰基]](-CO-)和一個氫原子連線而成的

