病因
在固定正畸治療中或治療後容易出現釉質脫礦,釉質脫礦是齲病的最初表現,早期釉質脫礦主要是釉柱間質溶解和釉質表層礦化物喪失,易被再礦化。
然而,在固定矯治過程中牙釉質脫礦始終存在,這可能由以下原因造成:
1. 托槽粘接前對牙釉質的酸蝕造成的粗糙表面及托槽四周易於菌斑積聚;
2. 弓絲曲與其他正畸附屬檔案的增加也妨礙了牙齒的清潔。許多患者發現在固定矯治器存在的情況下很難徹底刷牙,菌斑易在托槽周圍聚集。
3. 研究發現正畸托槽、帶環周圍的菌斑和唾液中變形鏈球菌與乳酸桿菌的數目增加了,它們的出現增加了脫礦的危險係數。
4. 同時,正畸患者齦上菌斑的代謝也發生了改變,這些菌斑的pH值明顯下降,菌斑中的碳水化合物含量明顯增高,鈣、磷含量下降,從而導致致齲性增加。
5. 另外正畸固定矯治器阻礙了舌頭移動食物塊的能力,從而刺激耐酸性細菌的增殖,如變鏈菌等;也降低了食物及肌肉運動所產生的自潔作用,減少了牙面與唾液的接觸,加速了菌斑積聚和pH值下降,菌斑不但是產酸底物的載體,還可延緩酸性物質從牙面流走,從而阻礙唾液中的鈣、磷離子對牙釉質的再礦化作用。
預防
口腔健康教育
正畸治療是一個相當長的過程,研究顯示,單個牙的釉質脫礦易發生在托槽周圍的齦方,釉質脫礦的發生與正畸患者能否有效清除菌斑保持良好的口腔衛生有很大的關聯,因而口腔健康教育是不能忽視的。正畸醫師要經常口頭上表揚患者治療期間保持了良好的口腔衛生,從而激發患者配合治療的積極性;與此同時還應告知患者正確的口腔清潔方法。除口腔衛生宣教以外還要定期對正畸患者進行全口潔治。
氟化物的使用
氟化物可以通過降低釉質的溶解度、抑制菌斑內酸的形成和細菌活性從而抑制釉質脫礦。氟通過置換羥磷灰石晶胞部分羥基,變成氟磷灰石晶胞,填補羥磷灰石晶胞中離子空缺位置,使磷灰石的結晶性、穩定性和硬度得到增強。氟作用產物為氟化鈣和氟磷灰石,有促進脫礦區釉質再礦化的作用。即使是痕量的氟也可通過加速多孔晶體的再生長來促進再礦化。全身或局部用氟時,氟作用主要發生在菌斑-牙面或牙面-唾液的界面上,大量游離的氟離子在該處形成暫時的氟儲存庫,大大促進了釉質的再礦化,並且菌斑和唾液中的氟離子濃度也相應增加,延長了氟作用的時間。
正畸患者在正畸治療中和正畸治療後出現釉質脫礦是一個普遍的現象,但是正畸醫生一般都忽視這個問題的存在,釉質脫礦是齲齒的早期表現,如不加以預防最終會造成牙齒的終身損害,因而對正畸治療中釉質脫礦的預防是刻不容緩的。預防措施除要加強對患者的口腔衛生宣教,囑咐患者減少碳水化合物的攝入的同時,還應輔助使用一些含氟製劑如氟緩釋粘接劑和含氟牙膏,從而合理有效地預防正畸治療中釉質脫礦的發生。
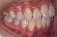
正畸前
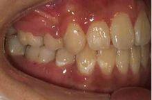
正畸後
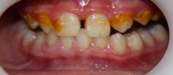
用Duraphat對脫礦區域進行再礦化治療