疾病概述
腦膿腫的形成一般可分3個階段:1、局限性腦炎期;2、化膿期;3、包膜形成期
腦膿腫的典型臨床表現分為4期:1、起病期 早期局限性腦炎或腦膜炎的表現。2、潛伏期 多無明顯症狀。3、顯症期:1)中毒性症狀:2)顱內壓增高症狀:①頭痛②嘔吐3意識障礙④脈搏遲緩⑤視乳頭水腫⑥其他:如打呵欠,頻繁的無意識動作;3)局灶性症狀:局灶性症狀出現可早可晚,亦可不明顯。4、終期 暴發瀰漫性腦膜炎而死亡。
診 斷:1、眼底檢查 視乳頭可出現水腫。2、顱腦CT掃描或MRI。3、腰椎穿刺。4、膿腫診斷性穿刺。
治 療:1、手術治療;2、足量,合宜的杭菌藥物;3、支持療法及水與電解質平衡;4、顱內壓增高時,可用脫水療法以降低顱內壓。5、出現腦疝或腦疝前期症狀時,脫水劑,氣管插管, 給氧,人工呼吸,緊急作腦膿腫穿刺術。
疾病描述
腦膿腫是腦組織內局限性積膿。耳源性腦膿腫是化膿性中耳乳突炎的嚴重併發症,重者危及生命,膿腫多發生於大腦顳葉,其次為小腦,發生於其他腦葉者甚少,膿腫一般為單發,多發並膿腫少見,致病菌以桿菌(如變形桿菌、綠膿桿菌等)為主,球菌則以金黃色葡萄球菌、溶血性鏈球菌較常見,亦有混合感染者。
症狀體徵
腦膿腫的典型臨床表現可分為4期:
1、起病期
約歷數天,有畏寒發熱、頭痛、嘔吐及輕度腦膜刺激征等早期局限性腦炎或腦膜炎的表現,腦脊液中細胞數略增,蛋白稍高,血中中性粒細胞增多,左移。
2、潛伏期
持續10天至數周不等,多無明顯症狀,或有胃納不佳,便秘、不規則的頭痛和低熱,以及嗜睡、抑鬱、煩燥、少語等精神症狀。
3、顯症期 歷時長短不一,此期膿腫已經形成,並逐漸增大!出現下列各種症狀。
(1)中毒性症狀:如午後低熱、高熱、或體溫正常,或地獄正常,舌苔增厚,食欲不振或亢進,便秘,面色蒼白,消瘦、全身無力等。
(2)顱內壓增高症狀:a、頭痛為腦膿腫的主要症狀。始於患側,後可遍及全頭而以前額或後枕部為最著,頭痛多為持續性,常於夜間加劇而慘叫不止。b、嘔吐為噴射狀,與飲食無關。c、意識障礙,如表情淡漠、嗜睡、乃至昏迷。d、脈搏遲緩,與體溫不一致。e、可出現視乳頭水腫。f 其他:如打呵欠、頻繁的無意識的動作(挖鼻、觸弄睪丸等),性格與行為改變等。
(3)局灶性症狀:局灶性症狀出現可早可晚,亦可不明顯。
顳葉膿腫:a、對側肢體偏癱。b、失語症,病變影響額下回和中央前回下部時,出現運動性失語(口語運用不能),慣用右手者,左側顳葉後部或底回出現病變時,可引起命名性失語(不能正確說出日常用品的名稱)。c、病變累及顳上回後部,則出現感覺性失語(不能聽懂別人和自己的言語,並有言語錯亂)。d、對側肢體強直性攣縮,同側瞳孔散大或出現對側椎體束征。
小腦腫脹:a、中樞性眼震。b、同側肢體肌張力減弱和消失。c、辨距不良。d、共濟失調。如指鼻不準,錯指物位,輪替運動障礙。步態蹣跚,Romberg征陽性等。
4、終期 常因腦疝形成或膿腫破入腦室所致之腦室炎及爆發性瀰漫性腦膜炎而死亡,腦疝前期一般均有劇烈頭痛,頻繁嘔吐,高熱不退,神志不清,最後陷入深度昏迷,呼吸及心跳停止。
疾病病因
耳源性腦膿腫由中耳炎播散而來,其他大多先形成硬腦膜外膿腫,硬腦膜下膿腫或乙狀竇周圍膿腫,乙狀竇膿腫,以後再侵入腦組織,化膿性迷路炎經內淋巴管,內淋巴囊或內耳道向顱內發展引起的腦膿腫多為小腦膿腫。
病理生理
腦膿腫的形成一般可分3個階段:
1、局限性腦炎期:腦組織充血、水腫、炎性細胞浸潤,有斑點狀出血,以後部分腦組織軟化,壞死,出現許多小液化區。
2、化膿期:液化區融合,形成腔隙,膿液及軟化的腦組織聚積其內,形成膿腫,膿腫與周圍腦組織建無明確界限。
3、包膜形成期:膿腔周圍由肉芽組織,纖維結締組織及神經膠質細胞形成包膜,一般需歷時3—4周,膜各處厚薄不一,周圍腦組織水腫、膿腫較大時,可向附近的腦室或蛛網膜下腔潰破,形成嚴重的腦室炎和腦膜炎,由於膿腫的擠壓及伴發的腦炎、腦組織水腫等病變,使顱內壓升高,腦組織可因此發生移位,形成腦疝,腦疝形成後可出現呼吸、心跳驟停而迅速死亡。
診斷檢查
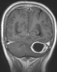
1、顱腦CT掃描或MRI 可顯示農中的大小,位置、數目、腦室受壓等。而且安全無創。
2、腰椎穿刺 膿腫形成後可出現腦脊液壓力升高,白細胞輕度增加,但因穿刺放液後可引起顱內壓驟降致腦疝形成,故應慎重對待,若因鑑別診斷而確有必要進行時,應避免一次性放液過多,或於放液後補註適量消毒生理鹽水入椎管內。
3、膿腫診斷性穿刺 除鑽顱穿刺探查外,尚可在嚴格無菌操作條件下,經乳突術腔作診斷性穿刺。
鑑別診斷:注意和腦積水、腦腫瘤鑑別,耳源性腦積水分為交通性腦積水及梗阻性腦積水兩種,而以交通性腦積水多見,腦積水以顱內壓增高為主要症狀,全身症狀較輕,無局灶性症狀,顱腦CT掃描或MRI可資鑑別,腦腫瘤發展緩慢,無化膿性中耳炎病史及顱內感染症狀。
治療方案
1、手術治療
a、急性乳突探查術及膿腫穿刺術,術中若發現鼓竇蓋,乳突蓋或乙狀竇板有破壞,應擴大暴露至正常界限,骨壁完整者應磨開壁探查,暴露顳葉及小腦應腦膜,硬腦膜充血、增厚、肉芽形成、張力大,搏動消失等是腦膿腫的可疑徵象,顱內壓甚高,病情重篤,有腦疝危象者,可先鑽顱穿刺抽膿,或作側腦室引流術,待顱內壓降低後再作乳突手術。
b、膿腫處理:(1)穿刺抽膿:一般可在嚴格消毒後經乳突術腔穿刺抽膿。(2)切開引流,適用於膿腫表淺,已形成硬腦膜膿瘺者。(3)膿腫摘除:膿腫包膜較厚,經反覆穿刺抽膿無效,或多房性膿腫,多發性膿腫等。均應開顱摘除膿腫。
2、足量,合宜的抗菌藥物
開始可用大量廣譜抗生素或紅黴素與氯黴素,羧苄青黴素或環丙沙星與氨苄青黴素或頭孢菌素聯合靜脈滴注,待細菌學檢查結果明確後,參照檢查結果選用適當的抗生素。
3、注意支持療法及水與電解質平衡
病人因頻繁的嘔吐、長期靜脈輸入葡萄糖,以及脫水療法等。常可出現水與電解質紊亂,故應根據病情及血清電解質檢查結果,及時補充液體,糾正酸中毒或鹼中毒,預防低鉀或低鈉綜合症。 4、顱內壓增高時,可用脫水療法以降低顱內壓,如用50%葡萄糖與20%甘露醇靜脈交替注射,此外常用的脫水劑尚有30%尿素和25%山梨醇等。類固醇激素可減輕腦水腫,酌情適量靜脈滴注。 5、出現腦疝或腦疝前期症狀時,應立即靜脈推注20%甘露醇等脫水劑,氣管插管,給氧、人工呼吸,並緊急作腦膿腫穿刺術。抽出膿液,必要時可先行側腦室引流以降低顱內壓,然後再作膿腫穿刺抽膿。
預後及預防
無特殊。

