頸骨俗稱天柱骨,是頸椎骨的統稱。頭在上為天,頸椎為頭之支柱,因名。《醫宗金鑒》:“頸骨者,頭之莖骨,肩骨上際之骨,俗名天柱骨也。”一說頸骨指旋台骨。旋台骨又名頸骨、天柱骨、大椎骨等。即頸椎之第四、五、六節。《醫宗金鑒》:“旋台骨,即頭後頸骨三節也。”
相關詞條
-
頸
頸部是人體的重要部位。頸部的上界為頭部的下界,下界即胸骨上緣、鎖骨、肩峰和第七頸椎棘突間的連線。該局部以斜方肌前緣為界,分為前方的固有頸部和後方的項部;...
基本簡介 頸部層次 功能簡介 頸椎概述 頸部保養 -
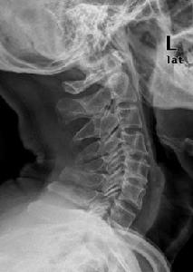
枕頸
枕頸這種損傷在臨床上十分罕見,1981年以前全世界的文獻報導僅有8例。
發病機制 症狀 檢查 治療 預後 -
蔥蒜香燜羊頸骨
蔥蒜香燜羊頸骨是一款家常美味菜,主要原料有羊頸骨等,這道菜肉質細嫩、滋味鮮美、營養豐富。
-
頸肋綜合徵
頸肋綜合徵頸肋綜合徵是胸廓出口區重要的血管神經受壓引起的複雜的臨床症候群。
簡介 表現 性狀 病因 病理生理 -
短頸畸形
短頸畸形也稱頸椎分節不良,又稱為Klippel—Feil綜合徵或先天性頸椎融合畸形,系指兩個以上頸椎椎間盤不發育或椎體問融合。主要表現為頸椎縮短。這種頸...
概述 病理改變 病因 臨床表現 併發症 -
橈骨頸骨折
橈骨頸骨折主要是由於暴力引起,當提攜角、肘關節多呈自然外翻狀,在跌倒手部撐地時暴力由遠及近沿橈骨向肘部傳導,當抵達橈骨上端時,橈骨頭與肱骨小頭撞擊,引起...
診斷檢查 發病機理 臨床表現 治療措施 病期預後 -
頸椎管狹窄
頸椎管狹窄是一種構成頸椎管各解剖結構因發育性或退變因素造成骨性或纖維性退變引起一個或多個平面管腔狹窄,導致脊髓血液循環障礙、脊髓及神經根壓迫症者的疾病。
-
頸醫衛
簡介 頸醫衛是由復旦大學華山醫院博士後團隊創立,致力於頸腰椎健康諮詢...MTT,日本Shiatsu等數十種國際技術,打造了頸腰部健康多維度養護體系,形成頸腰調理技術MAX系統,團隊將頸/腰椎問題的評估、干預提升到一個...
簡介 醫生平台 用戶平台 口號 創始人簡介

