分類
汗腺(Sudoriferous Glands)/(Sudoriferous or Sweat Glands) 依構造及位置可分為兩大類:
頂漿腺1、 頂漿汗腺或 大汗腺(Apocrine Sweat Glands):
分布主要局限於腋下、陰部及乳暈等處的皮膚,分泌部分位於真皮或皮下層,而排泄管開口於毛囊,青春期開始產生功能,所產生的分泌物也比其他形態的汗腺所產生的較黏。
2、 排泄汗腺或 小汗腺(Eccrine Sweat Glands):
分布較普遍,除了在唇緣、手指及腳趾的甲床外,龜頭、陰蒂、小陰唇及中耳以外的皮膚皆有這種汗腺的分布,尤以手掌及足底最多;在手掌的密度可高達每一平方寸3000個。分泌部分位於皮下層,排泄管往上突出,經由真皮及表皮,最後延伸至表皮層成為汗孔。排泄汗腺終身有效,分泌物也較頂漿汗腺所製造的為稀。
構造及成分
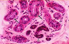
頂漿腺的微觀構造
頂漿腺頂漿腺的腺細胞呈立方形或矮柱狀,胞核圓形,胞質易被伊紅染色,胞質內含許多分泌顆粒和溶酶體。腺細胞與基膜之間也有肌上皮細胞。導管較細而直,也由兩層上皮細胞組成,開口於毛囊上段。分泌物為較粘稠的乳狀液,含蛋白質、碳水化合物和脂類等,分泌物被細菌分解後產生特別的氣味。分泌過盛而致氣味過濃時,則發生狐臭。這種腺在性成熟前呈靜止狀態,青春期後由於受性激素的刺激,分泌活躍,分泌物的作用尚未確知。
汗(Sweat)是由汗腺所製造的物質。汗液的主要成份是水,在人體生理中,小汗腺分泌的汗液,主要包括水、氯化鈉、鉀、鈣、尿素、乳酸及胺基酸等;大汗腺分泌的汗液,除水外主要有鐵、脂質(中性脂肪、脂肪酸、膽固醇及類脂質)、螢光物質、有臭物質。
作用
由於汗腺所在部位不同,性質相異和多寡不一,其對於感覺和心理刺激及對於熱的刺激的反應也有所不同,汗腺分泌和排泄汗液根據刺激的種類可分為溫熱性出汗、精神性出汗和味覺性出汗。人在精神緊張時手心會出汗,即屬於精神性出汗。精神性出汗從加刺激到發汗的潛伏期極短,只有數秒到20秒。所以在緊張、恐懼、興奮等精神因素影響下,神經衝動從大腦皮質傳遞到手掌小汗腺部,乙醯膽鹼的濃度升高,導致小汗腺分泌排泄活動短期內迅速增強,即產生手掌精神性出汗。也有學者認為另有精神出汗中樞,常保持有興奮性,一加刺激後即產生反應性出汗。精神性出汗在掌跖處表現最為明顯,也可見於手背、頭面、頸部、前臂和小腿等處。少數人在高度精神緊張時,甚至會出現汗如雨下,汗流浹背的全身大汗情況。平時在吃了大蒜、大蔥後,即使過了兩三天,身上仍會散發出很重的蒜味和蔥味,這主要與汗液的排泄功能有關。排汗作為人體的正常生理現象,具有很重要的作用:①散熱除溫;②保護皮膚;③代替腎臟的部分功能;④排泄藥物。汗腺分泌細胞膜對藥物及某些揮發性物質有很高的通透性,藥物如磺胺類、氨基比林、巴比妥類、灰黃黴素、奎寧、酒精等,食物如大蒜、大蔥、洋蔥、韭菜、芫荽等蔬菜中的揮發性物質,都可以通過汗液排泄出去。所以在吃了大蒜後,因為汗液里含有大蒜的揮發物質,故身上就會散發出蒜的氣味。當人們從事重體力勞動時,往往用“汗流浹背”來形容其勞累程度,既形象又貼切,這其中還包含了一個皮膚小汗腺的生理知識。當從事重體力勞動和劇烈運動時,肌肉不斷收縮。消耗大量的糖元,糖元分解釋放活動所需的能量,同時也使體溫升高,這時機體通過小汗腺大量分泌和排泄汗液以使體溫恆定,所以身體各部位活動狀態小汗腺數目也大大增加了。由於背部活動狀態小汗腺數目最少,如果連背部都汗流不止的話,可見勞累和劇烈運動的程度,所以古人創造出“汗流浹背”這一成語,確實恰如其分,生動貼切。

