概述
間位結腸綜合症也稱為Chilaiditi 綜合症,此症中右結腸曲嵌入肝臟與橫膈之間,其原因並非在腸管本身,肝臟的下垂和和位置異常是形成本病的基礎。常因肝臟的韌帶過長,薄弱、缺無等發育異常,使肝臟下移並與膈肌之間的間隙增寬,以至結腸嵌入之間形成本病。膈肌的先天薄弱或膈肌麻痹為本病的促發因素。此外在部分肝硬化患者中因右肝葉萎縮明顯,肝膈間隙增大也可見此症。
臨床表現
本病男女性都可見,平時常無症狀,部分可表現為,上腹不適,輕度腹脹,以右上腹明顯,餐後加重。臨床常易誤診為膽囊炎或胃炎。當嵌入的結腸發生梗阻時,常感到突然發生的上腹脹痛難忍,並有憋氣感及後背放散痛。經數小時至數日症狀消失,而且大多於活動後突然消失症狀。
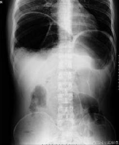
診斷
本病的診斷主要是X線與CT,現在也用超音波檢查。因部分氣體影響,超聲檢查也有它的局限性!
治療
對部分症狀較重,並呈進行性,持續性加重,尤其在兒童時期症狀嚴重,影響食慾,妨礙生長發育的,可考慮外科根治性手術治療,固定肝臟和結腸預後較好。輕症可不必治療,經臥床休息,避免在食管中產氣等,大部分可自行緩解,也可採用中藥補中益氣湯治療。

