疾病名稱
邊緣性角膜變性
疾病概述
邊緣性角膜變性,又稱Terrien邊緣變性,病因未明,可能與免疫性炎症有關。電子顯微鏡研究發現,病變組織中,組織細胞對角膜膠原的吞噬作用可能與發病有關。
疾病分類:眼科 疾病描述 邊緣性角膜變性又稱Trrien邊緣變性,是一種病因未明,和免疫性炎症有關的角膜變性。男女發病比3:1,常於青年時期(20-30歲)開始,進展緩慢,病程長。多為雙眼,但可先後發病,病程進展也可不同。
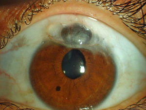
本病病因不明,男性較多見。通常‘成年發病,為雙眼病,但進展常不一致。主要症狀為緩慢進行性視力減退,是由於逆規散光所致。散光度可達10~20屈光度。患者偶有異物感。病程較長,進展非常緩慢。病變初期可見上方角膜實質中有點狀混濁,自角膜上緣有新生血管向中央部侵入角膜2~3mm,然後在角膜實質層向兩側繼續進展,淺層組織漸被融解吸收而形成血管小溝。溝內可見小球狀黃色脂質沉著物,角膜上皮始終保持完整無缺。此血管形成之小溝持續變薄,直到末期角膜膨降。這時因不能抵抗眼內正常壓力而引起高度逆規散光,同時上半部角膜亦隆起。常有結膜跨過角膜變薄區形成斜向的假性翼狀胬肉。治療方法為間斷地燒灼角膜膨脹部分可減少散光,但應注意避免外傷導致眼球破裂。亦可行結膜瓣遮蓋術或行板層角膜移植術。
症狀體徵
一般無疼痛、畏光。視力緩慢逐漸下降。單眼或雙眼對稱性角膜邊緣變薄擴張,以鼻上象限多見,部分患者下方角膜周邊部亦變薄擴張,若干年後,變薄處僅殘留上皮和膨出的後彈力層,有的因輕微創傷而穿孔,但自發穿孔少見。變薄區有淺層新生血管。進展緣可有冷脂質沉積。角膜周邊部變薄擴張引起不規則近視散光,視力減退且無法矯正。
疾病病因
病因未明,和免疫性炎症有關的角膜變性。
病理生理
病因未明,和免疫性炎症有關的角膜變性。
診斷檢查
根據臨床表現可診斷。
治療方案
藥物無效,以手術為主。早期應眼光配鏡提高聲視力。角膜進行性變薄、有自發性穿破的危險者,可行板層移植術。如果角膜小範圍穿孔,仍可行部分或全板層角膜移植,穿孔範圍較大且伴眼內容物脫出者,需行部分穿透性角膜移植。

