基本資料
踝關節脫位概述
因距骨體處於踝穴中,周圍有堅強的韌帶包繞,牢固穩定,故單純踝關節脫位極為罕見,多合併有骨折。本節討論的是以脫位為主,合併有較輕微骨折的踝部
踝關節脫位病因
當踝關節跖屈位時,小腿突然受到強有力的向前衝擊力,可致踝關節後脫位。當踝關節背伸位,自高處墜落、足跟著地,可致踝關節前脫位,當壓縮性損傷使
踝關節脫位臨床表現:編輯本段受傷後踝部即出現疼痛、腫脹、畸形和觸痛。後脫位者脛腓骨下端在皮下突出明顯,並可觸及,脛骨前緣至足跟的距離增大,前足變短;前脫位者距骨體位於前踝皮下,踝關節背屈受限;向上脫位者外觀可見傷肢局部短縮,腫脹劇烈。
檢查
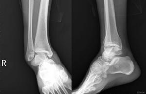
影像學檢查,踝關節脫位診斷並不困難,常規X線攝片很容易證實上述診斷;特殊檢查CT,掃描容易檢出合併存在的微小骨折。治療
1.踝關節後脫位的治療 應立即在腰麻或硬脊膜外麻醉下復位。復位方法是先屈曲膝關節,再行足跖屈牽引,當距骨進入踝穴後,即背伸踝關節,並用長腿石膏固定5周。合併有嚴重骨折按踝關節骨折處理。2.踝關節前脫位的治療 傷後立即在麻醉下復位,屈膝關節、足背伸,進行牽引,當距骨與脛骨前下唇解脫,即推距骨向下向後復位。復位後,用長腿石膏固定足在跖屈位3周。

