病原
慢性豬巴氏桿菌病原 多殺性巴氏桿菌(pasteurellamultocida),為細小球桿菌,寬0.25~0.4µm,長0.5~1.5µm。單個存在,有時成雙排列。革蘭氏染色為陰性。無鞭毛不形成芽孢,無運動性。在血液和組織中的病原菌,用美藍、瑞氏或姬姆薩液染色鏡檢,菌體兩端著色深,中央著色較淺,呈明顯的兩極著色特點。新分離的強毒菌株具有莢膜,但在培養基培養時,莢膜迅速消失。
豬巴氏桿菌病本菌為需氧及兼性厭氧菌,最適生長溫度為37℃,pH7.2~7.4。添加血液或血清時,則生長良好。在血液瓊脂平板上,形成濕潤、光滑、邊緣整齊的圓形露珠樣灰白色小菌落,有螢光,不溶血。在肉湯中培養呈均勻一致的中等度渾濁,有黏性沉澱物,培養久時,表面形成菌膜。在麥康凱和含有膽鹽的培養基上不生長。
本菌可分解葡萄糖、果糖、蔗糖、甘露糖和半乳糖,產酸不產氣。對乳糖、鼠李糖、楊苷、菊糖、肌醇不發酵。可形成靛基質,接觸酶和氧化酶陽性,甲基紅和VP試驗陰性,不液化明膠,石蕊牛乳無變化,產生H2S。
根據巴氏桿菌特異性莢膜(K)抗原吸附於紅細胞上做被動血凝試驗的結果不同,分為A、B、D、E和F5個血清群,利用菌體(O)抗原做凝集反應,將本菌分成12個血清型。利用耐熱抗原做瓊脂擴散試驗,將本菌分成16個血清型。K抗原用大寫英文字母表示,O抗原用阿拉伯數字表示,將菌體型和莢膜型兩者結合起來表示,如5:A,6:B,2:D等。我國對本菌血清學鑑定表明,只有A、B、D三個血清群,沒有E血清群。在豬以A型及B型為最常見。
本菌對外界環境的抵抗力不強,直射陽光下經10~15min死亡,在表層土壤中存活7~8天;在疏鬆的糞便中經14天死亡;如堆積發酵則2天可死亡,說明腐敗易致死亡。在60℃加熱10min,加熱到100℃立即死亡。一般常用的消毒藥,都可在數分鐘殺死本菌。但10%克遼林在1h內尚不能殺死此菌,不宜採用。
流行病學
在健康豬上呼吸道中常帶有本菌,但多半為弱毒或無毒的類型。由於豬群擁擠、圈舍潮濕、衛生條件差、通風不良、寒冷、悶熱、陰雨連綿、氣候驟變、長期營養不良、處於半飢餓狀態、寄生蟲病、長途運輸等不良因素,降低了豬體的抵抗力,或發生某種傳染病時,病菌乘機侵入機體內繁殖,而增強毒力,引起發病。這種以內源性感染為主的豬肺疫,呈散發性發生。在自然條件下很少能傳染另外的健康豬。當然,由於細菌通過發病豬體毒力增強後,仍可傳染另外的健康豬,因此,不能忽視健康豬在傳染來源上的作用。
流行性豬肺疫以外源性感染為主,病原主要為Fg型菌,病豬為主要傳染來源,細菌隨病豬的分泌物、排泄物以及屍體的內臟和血液等污染周圍環境,通過被污染的飼料、飲水和其他器物經消化道感染髮病。接觸和通過飛沫經呼吸道傳染是次要的傳染方式,間有經傷口感染的。國內有用解剖過禽霍亂的刀進行豬去勢,或將雞霍亂死雞扔到豬圈內餵豬引起豬肺疫發生的事例,已有數起。
本病大多發生於中、小豬,成年豬患病較少。
本病的發生,無明顯的季節性,一年四季都可發生,但以秋末春初及氣候驟變的時候發病較多,在南方大多發生在潮濕悶熱及多雨季節。豬只的飼養管理不當、衛生條件惡劣、飼料和環境的突然變換及長途運輸等,都是發生本病的誘因。據多年觀察,在華北地區,特別是北京地區,很少見有流行性豬肺疫發生,大多呈零星散發,且大多為慢性經過,更多見於繼發於其他傳染病,如常是慢性豬瘟、仔豬副傷寒和氣喘病的繼發病。
臨床症狀
潛伏期長短不一,隨細菌毒力強弱而定,自然感染的豬,快者為1~3天,慢者為5~14天。
1.最急性型常見於流行初期,病豬於頭天晚上吃喝如常,無明顯臨診症狀,次日晨已死在圈內。病程稍長,症狀明顯的可見體溫升高至41℃以上,食慾廢絕,精神沉鬱,寒戰,可視黏膜發紺,耳根、頸、腹等部皮膚出現紫紅色斑。較典型的症狀是急性咽喉炎,頸下咽喉部急劇腫大,呈紫紅色,觸診堅硬而有熱痛,嚴重者可波及上達耳根和後到前胸部,致使病豬呼吸極度困難,叫聲嘶啞,常兩前肢分開呆立,伸頸張口喘息,口鼻流出白色泡沫液體,有時混有血液,嚴重時常做犬坐姿勢張口呼吸,最後窒息而死。病程1~2天,病死率很高,可達100%。
2.急性型是本病常見的病型,主要表現為肺炎症狀,體溫升高到41℃以上,精神差,食慾減少或廢絕,初為乾性短咳,後變濕性痛咳,鼻孔流出漿性或膿性分泌物,觸診胸壁有疼痛感,聽診有囉音或摩擦音,呼吸困難,張口吐舌,結膜發紺,皮膚上有紅斑,初便秘,後腹瀉,消瘦無力,臥地不起,大多4~7天死亡,不死者常轉為慢性。
3.慢性型初期症狀不顯,繼則食慾和精神不振,持續性咳嗽,呼吸困難,鼻流少量黏膿性分泌物,進行性消瘦,行走無力。有時發生慢性關節炎,關節腫脹,跛行。有的病例還發生下痢。如不及時治療或治療不當常於發病2~3周后衰竭而死。
病理變化
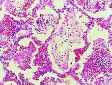
豬巴氏桿菌病 1.最急性型最急性病例為敗血症的變化,全身皮下、黏膜、漿膜有明顯的出血點。在咽喉部及周圍組織腫脹明,切開皮膚後,可見咽喉部黏膜因炎性充血、水腫而增厚,黏膜高度腫脹,引起聲門部狹窄。周圍組織有明顯的黃紅色出血性膠凍樣浸潤。淋巴結急性腫大,切面紅色,尤其顎凹、咽背及頸部淋巴結明顯,甚至出現壞死。心外膜出血,胸腔及心包積液,並有纖維素。肺充血、水腫。脾有點狀出血,但不腫大。胃腸黏膜有卡他性或出血性炎症。
豬巴氏桿菌病2.急性型急性型病例主要表現為肺部炎症。肺小葉間質水腫、增寬,有不同發展時期的肝變區,病變部質度堅實如肝,切面有暗紅、灰紅、灰白或灰黃等不同色彩,呈大理石樣外觀。支氣管內充滿分泌物。胸腔和心包內積有多量淡紅色混濁液體,內混有纖維素。胸膜和心包膜粗糙無光澤,上附纖維素,甚至心包和胸膜或者肺與胸膜發生粘連。胸部淋巴結腫大或出血。
3.慢性型慢性經過者,屍體消瘦,貧血,肺炎病變陳舊,有的肺組織內有壞死或乾酪樣物,外有結締組織包圍;胸膜增厚,甚至與周圍鄰近組織發生粘連。支氣管淋巴結、縱隔淋巴結和腸系膜淋巴結有乾酪樣變化。
診斷鑑別
本病應根據流行病學、症狀、病理變化及細菌學檢查的綜合資料分析、判定。
1.流行特點本病常見於中、小豬發病;一年四季中,以秋末春初及氣候驟變季節發生最多,南方易發生於潮濕悶熱的5~9月,長途運輸、飼養管理不當、衛生極差及環境突變等是發病的誘因。我國北方或華北地區,大多為散發或繼發性豬肺疫,南方則以流行性豬肺疫出現。
2.臨診症狀急性病例一般病程較短,可突然死亡,典型的表現是急性咽喉炎,頸部高度紅腫,熱而堅硬,呼吸困難及肺炎病狀。散發或繼發性的慢性病豬,症狀不顯,易和其他豬傳染病相混淆。
3.病理變化最急性病例,表現為敗血症的變化,咽喉部急性炎症變化,出血、水腫及膠凍樣浸潤。急性病例,主要為肺的纖維素性肺炎呈現的大理石樣病變,以及胸部淋巴結的炎症。慢性病例為肺部較陳舊的肺炎灶及胸膜肺炎。
4.細菌學檢查
(1)取急性病豬的血液、局部水腫液、心血、肝、脾、淋巴結、肺等組織塗片,用瑞氏、美藍或革蘭氏染色法染色後,顯微鏡檢查,可見卵圓形、兩極濃染的短桿菌,革蘭氏染色陰性小桿菌,即可初步診斷為巴氏桿菌病。
(2)取新鮮病料接種在血液瓊脂平板或血清瓊脂平板培養時,可長出圓形、光滑、濕潤的露珠樣小菌落,並有螢光,做塗片、鏡檢,可見兩極著色的小桿菌。血液瓊脂培養基上菌落不溶血。病料接種在麥康凱培養基上不生長。
5.動物接種試驗取新鮮病料,以滅菌生理鹽水作用1:10懸液,0.1~0.2mL接種小鼠皮下或腹腔,0.2~0.3mL於鴿腹腔或皮下注射,0.5mL接種於家兔皮下,被接種動物於1~2天后發病、死亡,剖檢觀察病變,將器官組織塗片和培養,可檢出兩極濃染的小桿菌,即可確診。
6.鑑別診斷注意與豬瘟、豬丹毒相區別。最急性病例,咽喉部的腫脹和炎症,剖檢時的膠凍樣浸潤都與敗血型的炭疽相似,但豬急性炭疽很少發生,且不形成流行。剖檢時炭疽脾臟腫大與豬肺疫不同,如取局部病料細菌學檢查,兩者病原形態等有明顯的不同,易於區別。
防治措施
(一)治療隔離病豬,及時治療。同時做好消毒和護理工作。
(1)青黴素和土黴素的劑量及用法同豬丹毒的治療。鏈黴素為1g,每日分2次肌肉注射。20%磺胺噻唑鈉或磺胺嘧啶鈉注射液,小豬為lO~15mL,大豬為20~30mL,肌肉或靜脈注射,每日2次,連用3~5天。
(2)抗豬肺疫血清(抗出血性敗血症多價血清)在疾病早期套用,有較好的效果。2月齡內仔豬20~40mL,2~5月齡豬40~60mL,5~10月齡豬60~80mL,均為皮下注射。本血清為牛或馬源,注射後可能發生過敏反應,應注意觀察。
(二)防制措施
(1)在部分健康豬的上呼吸道帶有巴氏桿菌,由於不良因素的作用,常可誘發本病。因此,預防本病的根本辦法,必須貫徹“預防為主”的方針,消除降低豬體抵抗力的一切不良因素,加強飼養管理,做好獸醫防疫衛生工作,以增強豬體的抵抗力。
(2)每年春秋兩季定期進行預防注射,以增強豬體的特異性抵抗力。我國目前使用兩類菌苗,一為豬肺疫氫氧化鋁菌苗,斷奶後的豬,不論大小一律皮下或肌肉注射5mL。注射後14天產生免疫力,免疫期6個月。豬、牛多殺性巴氏桿菌病滅活疫苗,豬皮下或肌肉注射2mL,注後14天產生免疫力,免疫期6個月。我國有用多殺性巴氏桿菌679~230弱毒株或C20弱毒株製成的口服豬肺疫弱毒凍乾菌苗,按瓶簽說明的頭份,用冷開水稀釋後,混入少量飼料內餵豬,使用方便。不論大小豬,一律口服1頭份,稀釋疫苗應在4h內用完。免疫期前者為10個月,後者為6個月。國內還有用E0630弱毒株、TA53弱毒株和CA弱毒株製成的3種活疫苗,供肌肉或皮下注射。
(3)發病時,豬舍的牆壁、地面、飼養管理用具要進行消毒,糞便廢棄物堆積發酵。
(4)必要時,對發病群的假定健康豬,可用豬肺疫抗血清進行緊急預防注射,劑量為治療量的一半。
(5)患慢性豬肺疫的小僵豬淘汰處理為好。

