基本信息
疾病別名膽脂瘤 珍珠瘤
發病原因
Love和Kernohan在1936年第一次描述了表皮樣囊腫為先天性上皮腫瘤。後來研究證實,該腫瘤是在神經管閉合時含有異位上皮細胞而形成的異常生長。Dia和Walker首先提出此為原胚形成胚胎期中的異常變異,在胚胎髮育中的第三至第四周中繼發乾擾了神經管閉合。1954年Choremis注意到腰穿後產生表皮樣囊腫,從而支持了外傷起因的學說。病因病理
表皮樣囊腫也稱為膽脂瘤或珍珠瘤,是由神經管閉合期間外胚層細胞移行異常所致,占原發性顱內腫瘤的1%,好發於青壯年,以腦橋小腦角區最為常見,其次為鞍上池、四疊體、顱中窩及腦室系統亦可以發生於顱骨板障內。表皮樣囊腫囊壁薄,由一層表皮組織形成。囊內由上皮碎屑、角蛋白和膽固醇組成。疾病概述
表皮樣囊腫也稱為膽脂瘤或珍珠瘤,是由神經管閉合期間外胚層細胞移行異常所致,占原發性顱內腫瘤的1%,好發於青壯年,以腦橋小腦角區最為常見,其次為鞍上池、四疊體、顱中窩及腦室系統亦可以發生於顱骨板障內。表皮樣囊腫囊壁薄,由一層表皮組織形成。囊內由上皮碎屑、角蛋白和膽固醇組成。
臨床表現
多發群體
表皮樣囊腫可發生在各個年齡段,甚至在屍檢中可以發現。在位置上可以發生在脊柱或顱內。平均發病年齡35歲,男性略多於女性,小腦腦橋角多見,約占1/2以上。
症狀發展緩慢,病程可長達數十年。臨床症狀體徵與腫瘤部位有關,腦橋小腦角區腫瘤多以三叉神經痛為首發症狀;顱中窩腫瘤主要表現為三叉神經損害症狀;大腦半球腫瘤常有癲癇發作、輕偏癱;小腦半球腫瘤常有共濟失調;鞍區腫瘤表現為緩慢進展性視力減退。
症狀體徵
一側面部麻木、疼痛或抽動、聽力減退、進行性視力障礙、復視、發作性頭痛、嘔吐、意識不清、偏癱、行走不穩、語言不清、癲癇發作等。多飲多尿及內分泌功能障礙症狀。眼底檢查視乳頭水腫,視神經萎縮為原發或繼發性,偏癱、失語和共濟失調。
根據腫瘤生長部位而出現相應的臨床表現。
表皮樣囊腫 臨床1、橋小腦表皮樣囊腫最常見部位,常以三叉神經痛起病(70%),往往有患側耳鳴、耳聾,晚期可出現橋小腦角綜合徵。神經系統查體發現第V,VII,VIII顱神經功能障礙,表現為面部感覺減退、面肌力弱、聽力下降和共濟失調,少數病人舌咽神經、迷走神經麻痹等,岩骨尖板障內表皮樣囊腫也可引起第V、VIII顱神經功能障礙。
2、鞍區表皮樣囊腫腫瘤位於鞍上所引起的症狀與垂體瘤相似,常以視力減退、視野缺損為早期的臨床表現,久之可引起視神經萎縮。少數病人出現內分泌障礙,表現為性功能減退、多飲多尿等垂體功能不足和下丘腦損害症狀。腫瘤向前發展可出現額葉症狀,向後突入第三腦室可有顱內壓增高症狀,一般病情進展緩慢。
表皮樣囊腫 臨床3、腦實質內表皮樣囊腫 大腦、小腦及腦幹均可為發病部位。依腫瘤所在部位出現相應的症狀。大腦半球腫瘤常有癲癇發作、精神症狀及輕偏癱症狀,小腦腫瘤多出現眼震、共濟失調等,腦幹腫瘤科出現交叉性麻痹,病側第VI、VII顱神經麻痹和對側強制性輕偏癱。4、腦室表皮樣囊腫初期很少用症狀,一般多見於側腦室三角區及顳
角,可增長很大,甚至充滿腦室,阻塞腦脊液循環而產生顱高壓症狀,腫瘤發生於三腦室、四腦室者少見。
5、顱骨表皮樣囊腫可發生在顱骨任何部位,但往往好發於中線或近於中線(額、枕)或在顳骨。在臨床上常是偶然發現顱骨表面隆起多年,觸之橡膠感,無壓痛,也可移動或固定在顱骨上。中線病變接近鼻樑或竇匯的機會很大,當囊腫向顱內擴展可累及大靜脈或深入腦組織下面,這具有特殊的重要性
影像表現
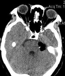
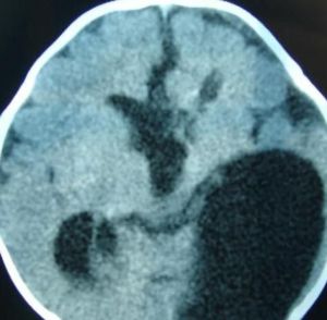
1.CT表現:
表皮樣囊腫(2)有兩種形態:
①扁平型:形態不規則,腫瘤沿蛛網下腔蔓延,“見縫就鑽”為其特點。
②團塊型:多位於硬膜外,呈球形,為混雜密度。
(3)腫瘤可有鈣化,但不常見,多位於囊壁上,亦可在囊內。
(4)腦橋小腦角池、環池、四疊體池的腫瘤可致腦幹受壓、變形;
(5)增強掃描時病灶不強化,偶見邊緣輕度弧形增強。
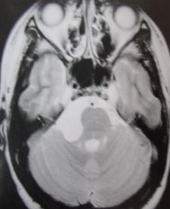
2.MR表現:
①鞍上池或橋小腦角池類圓形或不規則病變,邊緣銳利。
②T1加權絕大部分為均勻的低信號,少數由於瘤體內含液態膽固醇或出血而呈高信號影。T2加權呈明顯的、均勻一致的高信號影,高於腦脊液信號。
③腫瘤包膜於T1加權呈中等信號,T2加權呈高信號影。
④增強檢查無強化效應。
診斷檢查
1、病史
注意有無一側面部麻木、疼痛或抽動、聽力減退、進行性視力障礙、復視、發作性頭痛、嘔吐、意識不清、偏癱、行走不穩、語言不清、癲癎發作等。有無多飲多尿及內分泌功能障礙症狀。並注意病史的長短。
2、神經系統檢查
面部感覺、聽力、視力、視野、眼球運動等功能有無改變,眼底檢查有無視乳頭水腫,視神經萎縮為原發或繼發性,有無偏癱、失語和共濟失調。
3、CT和MRI掃描
CT見瘤體為邊界清楚、形態不規則、呈均勻的低密度影,少數為混雜密度。增強後無強化。MRI在T1加權上表現為略高於腦脊液的低信號影,T2加權上為略低於腦脊液的高信號。注射增強劑後囊腫無強化為其特徵。
鑑別診斷
①畸胎瘤:為混雜有脂肪密度的腫塊。
表皮樣囊腫②皮樣囊腫:居中線部位,病灶密度較均勻,常低於腦脊液,而且發病率較低。
③蛛網膜囊腫:密度與腦脊液相似,且均勻,常呈圓形或卵圓形,形態較規則,沒有見縫就鑽的特點。
檢查診斷
表皮樣囊腫 分析1、頭顱X線片少數橋小腦角或中顱窩的腫瘤可見岩尖或岩骨嵴破壞,個別病例可表現為鈣化,影像較淺淡,板障內腫瘤的顱骨典型表現為溶骨性病變,並顯示銳利硬化緣,其周圍有骨髓炎者也並非少見。
2、CTCT掃描是表皮樣囊腫的有效診斷手段。有助於發現腫瘤輪廓及擴張情況,囊腫表現為低密度影像。一般注射增強劑後不強化。板障內表皮樣囊腫可呈膨脹性破壞,邊緣銳利的混雜密度影像。3、MRI表皮樣囊腫在T1加權像上顯示邊界銳利的低信號,T2加權像上表現為高信號,腫瘤質地不均勻致信號強度變化不定,這是其在MRI的特徵。板障內表皮樣囊腫MRI可顯示其占位效應並可見高信號影像。
疾病鑑別
手術治療
患者年齡較輕,平均發病年齡40歲左右,體徵較多又較輕者考慮本病。橋小腦角區表皮樣囊腫需與前庭神經施萬細胞瘤、腦膜瘤相鑑別。後兩者多見於中年人,其中前庭神經施萬細胞瘤以耳鳴、耳聾起病,顱神經受損有一定順序,多見內聽道擴大,腦膜瘤顱神經亦可受累,但症狀較輕,顱內高壓症狀出現較早,最終出現橋小腦角綜合徵。顱中窩表皮樣囊腫需與三叉神經半月節細胞瘤及腦膜瘤相鑑別。三叉神經半月節細胞瘤多見卵圓孔擴大,腦膜瘤則多見顱底骨質增生或破壞。發生於鞍區的表皮樣囊腫需根據臨床特點及CT、MRI檢查與此部位常見腫瘤鑑別。發生於腦內的表皮樣囊腫需與膠質瘤鑑別。
其他療法
表皮樣囊腫惡性變者可行放療,而良性者對放療不敏感。
疾病預後
屬於良性腫瘤,術後恢復良好,如腫瘤能大部分切除,一般復發較晚,可延至數年或數十年。其惡性變發生率很低,僅有少數報導。
併發症
術後併發症,術後囊腫內容含脂肪酸及膽固醇溢出引起無菌性腦膜炎是常見併發症。
發現與命名
1807年Pinson首次描述表皮樣囊腫起源於異位表皮細胞。1928年Critchiet定名為表皮樣瘤,亦稱表皮樣囊腫、膽脂瘤、或珍珠瘤。
方案
對橋小腦角區、鞍區、小腦幕裂孔區及腦室內的表皮樣囊腫採用恰當的手術入路,儘可能爭取連同包膜一起切除。包膜與周圍重要結構粘連重者不宜勉強剝離,避免造成神經功能障礙。
貼士
表皮樣囊腫也稱為膽脂瘤或珍珠瘤,是由神經管閉合期間外胚層細胞移行異常所致,占原發性顱內腫瘤的1%,好發於青壯年,以腦橋小腦角區最為常見,其次為鞍上池、四疊體、顱中窩及腦室系統亦可以發生於顱骨板障內。
治療方案
本病以手術切除為原則。要爭取全切除,因為囊腫包膜是生長最活躍的部分。對那些與周圍組織粘連較輕的囊腫,尤其是第四腦室的囊腫,可望做到全切除。而對囊腫與血管及其他重要結構粘連較重者,許多作者認為全切除非明智之舉,沒有冒很大風險的必要,可留下一部分囊腫壁。但應清除囊腫內容物並避免溢出,同時保護好周圍腦組織,用生理鹽水反覆沖洗,以防止和減少術後腦膜炎的發生。這些病人術後一般可長期緩解,有生之年不再引起症狀。顱骨板障中的囊腫生長緩慢,而且小,對持續生長及有疼痛者應予全切除,這些囊腫偶有惡變可能。表皮樣囊腫術後約有40%因囊腫內容物(膽固醇及脂肪酸)溢出可並發無菌性腦膜炎,在腦室內囊腫或囊腫非全切者更為常見。故有主張術中套用含氫化可的松的液體沖洗,術後3周內逐步停用激素,以減輕症狀。對由腦膜反應引起的腦積水,可進行CT隨訪。對於顱後窩表皮樣囊腫,尤其是顱後窩底、第四腦室者,可取中線枕下入路;中腦者可經幕下小腦上入路;鞍區者取翼點入路;中線旁跨越顱中窩和腦橋小腦角的啞鈴型者,取一側乳突後入路。併發症
表皮樣囊腫常見的術後併發症有:1.無菌性腦膜炎和腦室炎是表皮樣囊腫的最常見的術後併發症,主要是由於瘤內容物進入蛛網膜下腔或腦室內刺激腦組織引起,其發生率為10%~40%。多數病人在術後1~2周內發生。早期手術和採取顯微手術行腫瘤全切除術是預防本併發症的根本措施,一旦發生可採用大劑量激素及抗生素,並及時腰穿放液或腰穿置管行腦脊液持續引流。多數病人經上述治療可在術後1~4周內恢復正常。
2.腦積水發生率較低,主要因反覆腦膜炎或腦室炎所致,可採取對症治療,炎症控制後可考慮行分流術。
3.慢性肉芽腫性蛛網膜炎這是由於囊內容物反覆排入蛛網膜下腔,刺激蛛網膜形成慢性肉芽腫,可給予大劑量激素等對症治療。
4.繼發性腦神經功能障礙囊內容物反覆溢到顱內,引起腦神經周圍纖維化,因此,壓迫神經而導致神經功能障礙。
5.惡性變表皮樣囊腫囊壁為典型的復層鱗狀上皮,在一定條件下可發生惡性變,成為鱗狀上皮癌,多次手術後反覆復發可發生癌變,尤其是腦橋小腦角表皮樣囊腫。當手術切除表皮樣囊腫後,沒有達到預期的目的或病情迅速惡化者,應考慮表皮樣囊腫惡性變。術後CT掃描示腫瘤部位出現腫瘤強化,亦應考慮惡性變的可能,應及時手術切除,術後放療。迄今文獻中記載惡性變者已有20餘例。

