病因
(一)缺氧
血腫形成 胎兒在宮內缺氧,導致胎兒血氧濃度降低,引起腦及腦膜充血、水腫,同時胎兒血中二氧化碳濃度增高,使毛細血管壁的通透性增加,致使血液外滲。未成熟兒血管彈力纖維發育尚未完善,缺氧時血管通透性增加,而且初生後1~3天內凝血因子有比較明顯的下降,所以發病率比足月兒高。
血腫形成(二)產傷
由於分娩過程中的機械性損傷所致,如產鉗術、胎頭吸引、臀位後出胎頭困難等,頭顱被擠壓,導致顱內血管破裂。此外如分娩過速,由於外界壓力的迅速變化亦可引起新生兒顱內出血。
鑑別診斷
頭皮血腫與頭皮水腫的鑑別
項目:頭皮血腫; 頭皮水腫
部位:頂骨骨膜下; 先露部皮下組織
範圍:不越過骨縫; 不受骨縫限制
出現時間產後2~3天最大; 娩出時存在
消退時間3~8周; 產後2~3天
局部特點:波動感;凹陷性水腫
臨床表現按損傷部位及出血的多少而不同。臨床症狀以窒息、興奮及抑制狀態相繼出現為特徵。
(一)窒息 多數新生兒出生後就有程度不同的窒息或呼吸障礙,陣發性青紫,主要以蒼白窒息為特徵。
(二)興奮期 新生兒窒息經過復甦後數小時,出現嘔吐、高聲尖叫、呼吸不規則(緩慢或暫停)、吸吮吞咽反射消失,繼之出現陣發性或強直性痙攣,並伴有斜視、眼球震顫、眼瞼下垂、囟門飽滿、項強、膝反射及淺反射均亢進。
(三)抑制期 若病情繼續加重,則由興奮轉入抑制。但在某些嚴重出血者,出生時呈蒼白窒息,可以不出現興奮期,而呈嗜睡狀態,甚至昏迷、不食、肌肉癱瘓、呼吸變慢、心音弱而不規則、肢冷、深及淺反射消失。重者在昏迷期死亡。
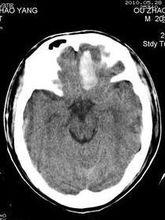
檢查時,可發現患兒面色蒼白、口唇青紫、呼吸快而不規則,有時囟門膨出,頸部強直局部癱瘓、肌張力減低、瞳孔大小不等或有斜視、眼球震顫及眼瞼下垂等。可用B超及CT進行診斷。
臨床表現
臨床表現按損傷部位及出血的多少而不同。臨床症狀以窒息、興奮及抑制狀態相繼出現為特徵。
(一)窒息多數新生兒出生後就有程度不同的窒息或呼吸障礙,陣發性青紫,主要以蒼白窒息為特徵。
(二)興奮期新生兒窒息經過復甦後數小時,出現嘔吐、高聲尖叫、呼吸不規則(緩慢或暫停)、吸吮吞咽反射消失,繼之出現陣發性或強直性痙攣,並伴有斜視、眼球震顫、眼瞼下垂、囟門飽滿、項強、膝反射及淺反射均亢進。
(三)抑制期若病情繼續加重,則由興奮轉入抑制。但在某些嚴重出血者,出生時呈蒼白窒息,可以不出現興奮期,而呈嗜睡狀態,甚至昏迷、不食、肌肉癱瘓、呼吸變慢、心音弱而不規則、肢冷、深及淺反射消失。重者在昏迷期死亡。
檢查時,可發現患兒面色蒼白、口唇青紫、呼吸快而不規則,有時囟門膨出,頸部強直局部癱瘓、肌張力減低、瞳孔大小不等或有斜視、眼球震顫及眼瞼下垂等。可用B超及CT進行診斷。
疾病預防
血腫形成的預防方法
顱內出血常能引起中樞神經損傷,嚴重時能導致癱瘓、癲癇、腦積水、智力發育不全甚至死亡。應積極預防,對未成熟兒,難產、手術產及產時曾有窒息的新生兒,應在娩出後特別注意護理和保暖,並肌肉注射維生素K34mg,每日2次,共2~3天,以預防出血。

