定義
疾病名稱:頭皮血腫
所屬部位:頭
就診科室:腦外科 外傷科
症狀體徵:頭痛,眩暈,暈厥,昏迷,癲癇和癲癇樣發作,高顱壓綜合徵,其他症狀
分類
按出現於頭皮各層之間的關係可分:
1.皮下血腫
因皮下組織層與皮膚層和帽狀腱膜層之間連線緊密,故在此層內的血腫不易擴散而體積較小。血腫周圍的組織腫脹增厚,觸之有凹陷感,易誤診為凹陷性顱骨骨折,有時需要用顱X線攝片檢查才能排除骨折的可能。
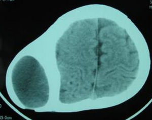
2.帽狀腱膜下血腫
由小動脈或導血管破裂所引起。因帽狀腱膜下層組織疏鬆,血液易向各方向擴展,血液可充滿整個帽狀腱膜下層,使頭頂顯著增大,其含血量可達數百毫升。
3.骨膜下血腫
多見於鈍性損傷時頭顱發生明顯變形之後,如新生嬰兒產傷、嬰幼兒桌球凹陷樣顱骨骨折,以及成人顱骨線形骨折後。因局部骨膜剝離而出血,由於骨膜在顱縫處附著牢固,故血腫範圍常不超過顱縫。在嬰兒,陳舊血腫的外圍和骨膜可增厚或骨化,乃至形成含有陳血的骨性囊腫。
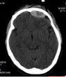
00檢查
可行常規物理檢查。2.CT檢查在頭部外傷時CT是最重要的影像學診斷方法,對新鮮出血敏感性高,並能顯示水腫及顱內壓增高繼發腦疝等重要病變。
鑑別診斷
根據各項症狀、體徵可與頭皮裂傷、頭皮撕脫傷相鑑別。
併發症
1、要注意並發顱內血腫的可能。
2、帽狀腱膜下血腫因該層組織疏鬆可蔓延至全頭部,小兒及體弱者可導致休克或貧血。
治療
較小的頭皮血腫在1~2周可自行吸收,巨大的血腫可能需4~6周才吸收。採用局部適當加壓包紮,有利於防止血腫的擴大。為避免感染,一般不採用穿刺抽吸。處理頭皮血腫時,要著重於考慮到顱骨損傷甚至腦損傷的可能。頭皮血腫的處理有以下幾點:
1.發生頭皮血腫時,切忌用跌打藥酒塗搽血腫局部或按揉推拿,這樣會使出血更厲害。可在局部用紗布繃帶加壓包紮或用冰塊、冰水、熱水袋裝上冷水外敷,以促使血管收縮,阻止繼續出血。
2.24小時後可塗跌打藥酒、紅花油,以及用熱敷促進血腫吸收。較小的血腫幾天后多能吸收而愈。
3.大血腫不易吸收,可剃去頭髮,局部消毒後用注射針反覆穿刺抽出積血,但禁止自行用針隨便穿刺放血,應由醫生進行處理。
4.巨大血腫,用上述方法治療無效時,應送醫院手術切開止血,如血腫感染化膿,應手術切開上藥治療。
5.發生頭皮血腫,還應警惕有無顱內血腫、腦震盪或腦挫傷。要讓傷員安靜休息,24小時內認真觀察病情變化,如發現有越來越明顯的頭痛、噁心、嘔吐、煩躁不安或逐漸失去意識,瞳孔不等大,耳、鼻出血等症狀出現,就不是簡單的頭皮血腫的問題了,應及時請醫生或送醫院進一步診治。
護理
①減輕疼痛:早期冷數以減少出血和疼痛,24—48h後改用熱敷,以促進血腫吸收。
②預防併發症:囑頭皮血腫病人勿用力揉搓、以免增加出血。注意觀察病人的體溫是否正常,意識狀況、生命體徵和瞳孔淬侖無變化,警惕合併顱骨損傷及腦損傷的可能。
求醫網頭皮血腫專題
頭皮血腫求醫網(www.qiuyi.cn)創立於2000年,是北京時代網創科技發展有限公司核心平台,我們力求打造中國最專業的醫療網站。求醫網正在努力為患者提供方便、快捷和專業的線上諮詢服務,同時建立海量信息庫為患者提供最全面的醫療信息資訊…… 詳細 >>
本詞條全部內容由詞條認領機構及智願者共同編輯,互動百科權威評審。

