發病原因
典型的急性硬膜外血腫多見於青壯年男性線性骨折病人,以額顳部和頂顳部最多,這與顳部含有腦膜中動脈、靜脈,又易為骨折所撕破,特別是發展急速的硬膜外血腫,其出血源多屬於動脈損傷所致,血腫迅猛增大,可在數小時內引起腦疝,威脅病人生命。若出血源於靜脈,硬腦膜靜脈或板障靜脈及靜脈竇,則病情發展稍緩,呈亞急性或慢性病程。急性硬膜外血腫枕部較少。但有時骨折線穿越上矢狀竇或橫竇,可以引起騎跨於竇上的巨大硬膜外血腫,這類血腫不斷擴張,多為硬腦膜與骨內板剝離後,因新的再出血所致,而非僅有靜脈壓造成的繼續出血。血腫的大小與病情的輕重關係密切,愈大愈重。不過出血的速度更為突出。
發病機制
出血來源:創傷性硬膜外血腫的來源,主要見於以下血管的損傷,少數由於血液成分改變。1、腦膜中動脈,該血管損傷引起出血最多見。2、靜脈竇損傷 頭顱中線部位的骨折可引起上矢狀竇損傷,而枕部著力引起的線性骨折可損傷橫竇。3、板障靜脈或導血管 4 腦膜前動脈和篩動脈 5 硬腦膜細小血管。
病理生理
典型的急性硬膜外血腫多見於青壯年男性線性骨折病人,以額顳部和頂顳部最多,這與顳部含有腦膜中動脈、靜脈,又易為骨折所撕破,特別是發展急速的硬膜外血腫,其出血源多屬於動脈損傷所致,血腫迅猛增大,可在數小時內引起腦疝,威脅病人生命。若出血源於靜脈,硬腦膜靜脈或板障靜脈及靜脈竇,則病情發展稍緩,呈亞急性或慢性病程。急性硬膜外血腫枕部較少。但有時骨折線穿越上矢狀竇或橫竇,可以引起騎跨於竇上的巨大硬膜外血腫,這類血腫不斷擴張,多為硬腦膜與骨內板剝離後,因新的再出血所致,而非僅有靜脈壓造成的繼續出血。血腫的大小與病情的輕重關係密切,愈大愈重。不過出血的速度更為突出。位於半球凸面的急性血腫,常向下向內推壓腦組織,使顳葉內側的海馬及鉤回突向小腦幕切跡以下,壓迫大腦腳、動眼神經、大腦後動脈,並影響橋腦靜脈及岩上竇的回流,稱為小腦幕切跡疝。
臨床表現
多發群體
硬膜外血腫可見於任何年齡,但以15-50歲的青壯年,嬰幼兒時期該類血腫發生率較成人低。
疾病症狀
硬膜外血腫的臨床表現可因出血速度、血腫部位及年齡的差異而有所不同,但從臨床特徵看,仍有一定規律及共性,即:昏迷-清醒-再昏迷。幕上急性硬膜外血腫表現:1、意識障礙 由於原發性腦損傷程度不一,病人意識變化可有3種情況:原發性腦損傷較輕,傷後無昏迷,至顱內血腫形成後,出現進行性顱內高壓及意識障礙,易漏診。原發傷略重,傷後一度昏迷,隨後完全清醒或有意識好轉,但不久再次陷入昏迷,即為典型病例,容易診斷。原發傷嚴重,傷後持續昏迷,且進行性加深表現。2、顱內壓增高 隨著顱內壓增高病人常有頭痛、嘔吐加劇,躁動不安和四曲線典型表現。3、神經系統體徵 單純硬膜外血腫,早期較少出現神經受損體徵,僅在血腫形成壓迫腦功能區時,才有相應的陽性體徵。當血腫不斷增大引起顳葉鉤回疝時,病人不僅有意識障礙加深,生命體徵紊亂,同時相繼出現患側瞳孔散大,對側肢體偏癱等典型徵象。偶爾,因為血腫發展迅速,造成早期腦幹扭曲、移位而嵌壓在對側小腦幕切跡緣上,則可引起不典型體徵,對側瞳孔散大,對側偏癱;同側瞳孔散大、同側偏癱;或對側瞳孔散大,同側偏癱。
疾病危害
對於出血兇猛,出血量大者,若不能及時解除顱內高壓嚴重者可危及生命。
診斷鑑別
檢查診斷
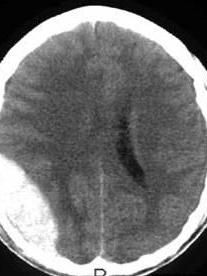
輔助檢查:1、超聲檢查:超音波探查,血腫多位於大腦半球的一側,可見腦中線波向對側明顯偏移。2、顱骨X線片,硬膜外血腫伴有顱骨骨折者占95%,且絕大多數發生在著力部位,無骨折者少見,當骨折線過腦膜中動脈溝或靜脈竇溝時,多可考慮硬膜外血腫的可能。3、腦血管造影 通過數字減影像的正位和側位進行觀察。典型的硬腦膜外血腫可顯示為雙凸鏡形無血管區及周邊血管受壓征。矢狀竇(或橫竇)旁或跨竇的硬膜外血腫,在靜脈期可見上靜脈竇及注入靜脈顯影,並見血管受壓移位。於傷後數小時造影者,有時可見造影劑外滲。4、CT掃描 頭顱CT掃描最重要的是能清晰地顯示血腫的部位、大小及合併腦損傷的程度等。且可連續、動態地觀察血腫的變化。CT掃描片上,於顱骨內板下方,急性血腫為梭形或半月形高密度影,CT值40-100Hu,密度均勻,邊界清楚,亞急性血腫為雙凸面鏡高密度影,系混雜密度。均有同側側腦室受壓,中線結構向對側移位。骨窗像上,能顯示顱骨骨折。5、MRI掃描 在MR圖像上血腫形態與CT掃描表現上基本相似,能分辨出低信號的硬膜,不同時期的血腫在T1、T2像上表現不同。
疾病鑑別
根據患者頭部外傷史、著力部位及受傷性質,傷後臨床表現,結合影像學表現,對硬膜外血腫常可作出明確的診斷。本病需與以下疾病想鑑別:1、硬膜下血腫及腦內血腫 與硬膜外血腫比較,受傷時的暴力作用較重,以頂枕及顳後部著力的對沖性腦損傷多見,患者的意識障礙多呈進行性加重,中間清醒期不明顯。CT掃描顯示硬膜下級腦內有不規則形態的高密度影。2、局限性腦水腫與瀰漫性腦腫脹 與各類血腫比較,受傷暴力較重,多見於對沖性損傷,常以原發性腦損傷或腦幹損傷較重,傷後昏迷時間長,部分患者可有中間清醒期,腦水腫及腦腫脹以一側為主者,臨床表現與血腫基本相似。CT掃描件病變區腦組織呈低密度影及散在性的點、片狀高密度出血灶,腦室、腦池變小,患者一般對脫水、激素等藥物治療有效,但少數重症患者可在24-48小時內病情明顯惡化,經藥物治療機手術干預效果均不理想,預後較差。
疾病治療
手術治療
原則上在確診後即儘快實施手術治療。做到早期診斷、及時處理,才能有效地降低死亡率。骨瓣或骨窗開顱硬膜外血腫清除術,通過本術式可取得足夠的顯露,便於徹底清除血腫和止血。鑽孔穿刺清除硬膜外血腫:適用於特急性硬膜外血腫的緊急搶救,為暫時緩解顱內高壓,贏得時間先行錐孔或鑽孔排出部分血腫 ,這種適用於院前急救或腦內血腫的引流。最近,有學者用於急性硬膜外學者的治療,做到快速引流血腫搶救病人,其適應證為病情相對穩定,出血量約30-50ml,經CT檢查明確定位,中線移位達0.5cm以上,無繼續出血者。方法在安CT顯示最厚處,行錐孔或鑽孔,然後插入吸引管或放入帶絞絲的碎吸針管,排出部分血液後再注入尿激酶溶解血凝塊,反覆數次,留引流管3-6天至複查CT血腫已排盡。
其它療法
非手術治療,對於神志清楚,病情平穩,血腫量小於15ml的幕上急性硬膜外血腫可採用保守治療。但必須動態觀察病人神志、臨床症狀和動態CT掃描,一旦發現血腫增大,立即改用手術治療。
疾病預後
一般若無其他嚴重併發症且腦原發損傷較輕者,預後良好,死亡率介於5-25%之間,不同地區或單位懸殊較大,死亡的主要原因並非血腫本身,而是因腦疝形成後所引起的腦幹繼發性損害所致。因此必須做到早期診斷、及時處理,才能有效地降低死亡率。
症狀
急性硬膜外血腫多見於成人,典型表現為傷後即有短暫昏迷,繼而意識轉清,以後又再次昏迷,這種昏迷--清醒---昏迷的典型患者約占30%-50%。患者多有頭痛、嘔吐、煩躁不安、肢體無力等。通過頭顱CT或核磁共振檢查可確診。

