介紹
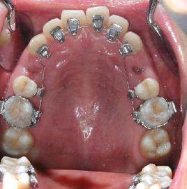
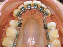
舌側隱形矯正舌側隱形矯正技術是國際上近些年來興起的正畸技術,它是將矯治器全部安裝於牙齒的舌側面進行正畸治療,外觀上看不到任何正畸治療裝置。 舌側矯正技術早在二十世紀七十年代就開始在日本和美國出現,經過多年的理論研究和技術完善,已經自成體系,並在日本和美國廣為套用。舌側隱形矯正技術在歐美國家和日本等國家相當成熟,但是在國內舌側隱形矯正開展的範圍卻很少,因為它對醫師操作的要求較高,技術難度較大,費用也較高。
製作過程
個性化舌側隱形矯正體系製作是套用CAD/CAM技術模型排牙後,通過雷射三維掃描,然後在計算機上三維建模完成托槽的設計;接著托槽底板形態與各牙的舌側面完全吻合,精密鑄造托槽;最後由機械手完成弓絲的精確成型,克服了傳統舌側矯治器的局限性。
優點
可視化結果
個性化舌側隱形矯治器在生產前,矯治醫生確定矯治方案,排出石膏模型,是製作之前事先了解成型後的效果!
精確尺寸
舌側隱形矯正的托槽採用德國最先進的DLP數字投影技術進行製造,弓絲採用原裝進口弓絲,使弓絲與槽溝之間達到完美的匹配。
毫無痕跡的外觀
舌側隱形矯正器佩戴在牙齒的內側,在外觀上完全看不到托槽鋼絲,並且無需擔心牙齒表面的脫鈣現象!
方便安裝
舌側隱形矯治器採用安裝托盤進行間接安裝,安裝托盤是在計算機中事先設計好托槽,精確的安裝到未矯治的模型上,再將整個模型精密製造壓膜而成。
個性化底板
個性化舌側隱形矯治器托槽底板按照患者牙面的不同情況在計算機中進行精確的設計,定位精度高,粘接面積大,底面採用編織網紋,粘接力高。
缺點
①費用高,大概是普通正畸的2倍。
②第一個月對發音有影響,加強練習後可以基本改善並適應。
③療程比普通正畸長2-3個月左右,主要是因為有一個適應期。
特點
1、矯治器巧妙地粘於牙齒舌側面,牙齒矯正完全屬於您個人的秘密;
2、精巧光滑的托槽在牙齒內側,對牙釉質無損傷;
3、穩定、持久,定位精準;
4、不僅將畸形的牙齒、嘴唇、頜骨調回正常位置,更可以悄悄改變嘴型唇形。
5、社交、約會等特殊場合可以想笑就笑;
6、對於因顧慮形象而不得不放棄牙齒矯正的特殊職業者,如:外交人員,高級職員,記者,藝人等公眾人物是很好選擇。
適用人群
演義藝界人士、模特、律師、教師、公務員等美觀或職業要求較高和愛美人士;也很適合經常做運動的青少年和運動員、舞蹈演員,雜技演員等,因為它可以避免唇部的損傷。
注意事項
1、舌側隱形矯治器由於放置在舌側,舌頭是人體非常敏感的器官。在治療初期,患者會感覺嚴重的不適,會影響說話,矯治器還會刺激舌頭的邊緣產生疼痛。這些,都需要病人漸漸適應。也有的病人不能耐受矯治初期的痛苦,不得不拆除矯治器,使治療半途而廢。所以想要一口完美的牙齒開始矯正就要堅持到底。
2、矯正是一個挺長時間的治療,一般得治療兩三年,所以矯正前患者應該做一些諮詢,做一些了解,對這個治療大概的過程是怎么回事,它的療程,它的費用,時間上對他自己合不合適,可能這兩年時間他經常要去醫院看病。因為病人很難去判斷醫生的水平,所以你如果不了解醫生的話,最好找一個正規的醫院比較保險。

