概述
膽石性腸梗阻是由膽結石進入膽道後引起腸道堵塞所致的腸梗阻,1654年由Bartholin首先報導。本病臨床罕見,起病隱匿病程初期常呈間歇性發作,且X線檢查並非每個病人都有典型表現只有10%~75%的病人在術前獲得診斷。
流行病學
本病臨床上少見。國外統計資料表明,在每100萬住院病人中,膽石性腸梗阻有30~35人,在機械性腸梗阻中占1%~4%在膽石症病人中,並發本病者0.3%~0.5%。在國內罕見多為個案報導,筆者統計建國以來文獻資料共60餘例。本病的病死率為8%~30%。Robert報導45例並複習文獻中158例,發現68歲以上病死率高達42%,而68歲以下者僅為14%。結石可通過膽腸內瘺膽總管壺腹或膽腸吻合口進入腸道,漏入腸內膽石與發病之比約6∶1女性多見,男女之比為1∶3~1∶16。
病因
導致膽石性腸梗阻的原因是巨大的膽石進入腸道,能引起腸腔堵塞梗阻的結石直徑一般在2.5cm以上,Turner報導1例膽石直徑達17.7cm。
1.膽道與胃腸道之間存在異常通道
此為膽石性腸梗阻的病理基礎,常見的膽道-胃腸道的異常通道有:膽總管-十二指腸內瘺、膽囊-十二指腸內瘺、膽囊-結腸瘺、膽囊-胃瘺、膽總管-十二指腸瘺等,其中膽囊-十二指腸瘺約占3/4。胡國斌等人曾收治1例肝膽管結石病人,發現其左肝管與胃之間存在一個巨大內瘺口,結石可以通過瘺口進入腸道。
2.醫源性因素
內引流的目的是重建通暢的膽汁引流,其實質則相當於人工形成的膽腸內瘺,以利於結石通過。如肝膽管結石行膽腸內引流術後。湖南省人民醫院曾報導1例接受肝膽管盆式內引流術後並發膽石性腸梗阻。
引起梗阻的膽石大多數為1枚至多枚。膽石性梗阻可發生於腸道的任何部位,但最易發生迴腸末端。巨大膽石進入腸腔的近端,隨結石不斷下降,梗阻平面逐漸下降。結石可壓迫腸壁,使其缺血、滲出增加,近端擴張的腸袢內可積聚過多液體。腸壁壞死、穿孔,腸內物漏出腸腔進入腹腔,形成瀰漫性腹膜炎。
臨床表現
臨床表現為急性或慢性高位或低位部分性或完全性腸梗阻,其症狀和體徵與其他原因所引起的機械性腸梗阻相似病程初期為部分性梗阻,症狀較輕,表現為陣發性腹部絞痛,伴有噁心嘔吐這健康搜尋是膽石堵塞內腔較大的近端腸管,刺激腸道產生強烈的腸蠕動所致隨結石下降,梗阻平面降低,症狀亦隨病程進展而有所變化,如肛門停止排氣排便腹脹進行性加重,腹部壓痛、板狀腹,少數病人出現黃疸和消化道出血等健康搜尋。症狀與體徵隨病程進展而變化是本病的特徵性表現。
檢查
腹部X線檢查可有4個特徵:
1.腸梗阻由於結石大部分不大且圓滑,在腸道可逐漸下移故梗阻多為不完全性,並梗阻點多改變,但小腸低位,回盲瓣口常為梗阻點,梗阻多在小腸,結腸也可發生梗阻。
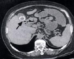
2.膽囊、膽管內積氣,以膽管積氣較多,可為一粗管狀,也可有小分支,由於梗阻前多有膽管梗阻,故膽管較正常粗大,通常較Oddi括約肌鬆弛、膽道蛔蟲帶入的氣體或其他原因,與腸道瘺管、膽系-胃腸吻合等引起的膽管積氣,顯得更粗大,以資鑑別。
3.腸內膽石,約50%的膽石可在X線下顯影,有的顯影較淡,所以,膽石性腸梗阻約半數只有腸梗阻和膽系積氣表現,而未見膽石。
4.鋇餐或鋇灌腸檢查,見鋇劑進入膽道或直接襯托出膽道的結石影。
診斷與鑑別診斷
1.病史
既往有膽石症病史的老年、肥胖女性。
2.臨床表現
分急性或慢性,高位或低位,部分性或完全性腸梗阻的症狀和體徵。本病的特徵性表現為:病程初期症狀較輕,隨結石不斷下移,梗阻平面逐漸下降,症狀和體徵亦隨病程的進展而變化。
3.輔助檢查
X線檢查有4種徵象:①部分性或完全性腸梗阻的表現;②膽道積氣;③異位的即在膽系外的區域有膽石影;④鋇餐或鋇灌腸檢查,見鋇劑進入膽道或直接襯托出膽道的結石影。
出現併發症時,本病易與腸套疊、消化道潰瘍穿孔等相混淆,應注意鑑別。
治療
一旦確診,應儘早手術,解除梗阻。手術方式有下列幾種:①將梗阻的結石擠入結腸;②腸管切開取石,在腸切開取石時最好將梗阻的結石向近端擴張的腸管推移少許後,再切開腸系膜緣以利腸壁切口的癒合;③在腸管切開取石的同時行膽囊切除及內瘺修補。大多數人主張僅作單純的腸切開取石,解除梗阻即可健康搜尋。Rodriguez等報導同時處理膽道和內瘺問題,並不會增加併發症和病死率,因少數病例可為多枚結石引起梗阻,所以術中應詳細探查整個胃腸道。

