簡介
乳腺導管內乳頭狀瘤與乳腺導管內乳頭狀癌:兩者均可見到自發的、無痛性乳頭血性溢液;均可捫及乳暈部腫塊,且按壓該腫塊時可自乳管開口處溢出血性液體。由於兩者的臨床表現及形態學特徵都非常相似,故兩者的鑑別診斷十分困難。一般認為,乳腺導管內乳頭狀瘤的溢液可為血性,亦可為漿液血性或漿液性;而乳頭狀癌的溢液則以血性者為多見,且多為單側單孔。乳頭狀瘤的腫塊多位於乳暈區,質地較軟,腫塊一般不大於1cm,同側腋窩淋巴結無腫大;而乳頭狀癌的腫塊多位於乳暈區以外,質地硬,表面不光滑,活動度差,易與皮膚粘連,腫塊一般大於1cm,同側腋窩可見腫大的淋巴結。乳腺導管造影顯示導管突然中斷,斷端呈光滑杯口狀,近側導管顯示明顯擴張,有時為圓形或卵圓形充盈缺損,導管柔軟、光整者,多為導管內乳頭狀瘤;若斷端不整齊,近側導管輕度擴張,扭曲,排列紊亂,充盈缺損或完全性阻塞,導管失去自然柔軟度而變得僵硬等,則多為導管內癌。溢液塗片細胞學檢查乳頭狀癌可找到癌細胞。最終確立診斷則以病理診斷為準,而且應做石蠟切片,避免因冰凍切片的局限性造成假陰性或假陽性結果。
乳腺導管內乳頭狀瘤與乳腺導管擴張綜合徵:導管內乳頭狀瘤與導管擴張綜合徵的溢液期均可以乳頭溢液為主要症狀,但導管擴張綜合徵常伴有先天性乳頭凹陷,溢液多為雙側多孔,性狀可呈水樣、乳汁樣、漿液樣、膿血性或血性;乳頭狀瘤與導管擴張綜合徵的腫塊期均可見到乳暈下腫塊,但後者的腫塊常較前者為大,且腫塊形狀不規則,質地硬韌,可與皮膚粘連,常發生紅腫疼痛,後期可發生潰破而流膿。導管擴張綜合徵還可見患側腋窩淋巴結腫大、壓痛。乳腺導管造影顯示導管突然中斷,有規則的充盈缺損者,多為乳頭狀瘤;若較大導管呈明顯擴張,導管粗細不均勻,失去正常規則的樹枝狀外形者,則多為導管擴張綜合徵。必要時可行腫塊針吸細胞學檢查或活組織病理檢查。
檢查
注意腫塊的位置大小邊界形狀質地移動度是否與皮膚或胸壁粘連有無壓痛皮膚有無凹陷或水腫(橘皮征)及衛星灶並與對側知覺比較雙側腋窩及鎖骨上淋巴結有無腫大注意其數目硬度移動度並作小孩比較。檢查乳頭有無分泌物注意其性質並送細胞學看了檢查潰爛處作活檢對可疑腫塊可行細針穿刺細胞學檢查預約但陰性結果當然回家不能排除癌。
治療
手術治療
手術治療是本病的首選治療方法。術前均應行乳導管造影檢查,以明確病變的性質及定位。術後宜做石蠟切片檢查,因為冰凍切片檢查在辨別乳腺導管內乳頭狀瘤和乳頭狀癌時最困難,兩者常易發。乳腺導管內乳頭狀瘤(乳腺纖維瘤)最有效的方法是手術治療,藥物治療通常只能減輕症狀。以下我們扼要介紹手術及中醫中藥療法。
術前均應行乳導管造影檢查,以明確病變的性質及定位。術後宜做石蠟切片檢查,因為冰凍切片檢查在辨別乳腺導管內乳頭狀瘤和乳頭狀癌時最困難,兩者常易發生混淆,故不宜以冰凍切片表現為惡性依據而行乳房根治術。如果為單發的乳腺導管內乳頭狀瘤,手術時將病變的導管系統切除即可;如果為多發的乳腺導管內乳頭狀瘤,因其較易發生惡變,則宜行乳腺區段切除,馬上病變導管及其周圍的乳腺組織一併切除。對於那些年齡在50歲以上者,造影顯示為多發的乳腺導管內乳頭狀瘤,或經病理檢查發現有導管上皮增生活躍甚至已有上皮不典型性改變者,則宜行乳房單純切除,以防生變。
因乳腺導管內乳頭狀瘤多以乳頭溢液為主要症狀,故中醫稱之為“乳衄”。一般認為乳衄多為肝鬱火旺或脾虛血虧引起,故治療應以疏肝解郁、清泄肝火及益氣健脾、養血攝血為法。
中醫中藥治療
因乳腺導管內乳頭狀瘤多以乳頭溢液為主要症狀,故中醫稱之為“乳衄”。一般認為乳衄多為肝鬱火旺或脾虛血虧引起,故治療應以疏肝解郁、清泄肝火及益氣健脾、養血攝血為法。
①肝鬱火旺型:乳孔內溢出鮮紅或暗紅色液體,乳暈部可觸及腫塊。伴有煩躁易怒,乳房及胸脅脹痛,口苦咽乾,失眠多夢。舌紅,苔薄白或微黃,脈弦。治法:疏肝解郁、清泄肝火。方藥:丹梔逍遙散加減。丹皮9g,山梔9g,柴胡6g,當歸9g,赤芍12g,橘葉9g,川楝子9g,制香附9g,夏枯草15g,側柏炭9g,藕節炭9g,生甘草6g。
②脾虛血虧型:乳孔內溢出淡紅或淡黃色液體,乳暈部可觸及腫塊。伴有面黃倦怠,食少便溏,虛煩少寐。舌淡,苔薄白,脈細弱。治法:益氣健脾、養血攝血。方藥:歸脾湯加減。炙黃芪15g,黨參9g,白朮9g,茯苓9g,當歸12g,白芍12g,龍眼肉9g,遠志6g,藕節炭9g,炙甘草6g。
鑑別診斷
本病應與乳腺結構不良症的囊性增生期、導管擴張症、大導管或壺腹部炎症、乳頭狀癌、Paget病等相鑑別。
1.乳腺囊性增生症本病溢液多為漿液性或黃綠色,臨床上本病呈周期性疼痛,月經前疼痛明顯,乳腺可捫及結節狀物,韌且壓痛。
乳導管造影無充盈缺損的表現。硬化型腺病表現為乳管及其分支變細,呈細線狀;囊腫型表現為與導管相連的較大囊性擴張;小導管及腺泡性增生型表現為終末導管腺泡呈均勻的小囊狀或串珠狀擴張。
2.大導管或壺腹部炎症偶爾可見乳頭溢液,多為膿血性,同時有明顯炎症病史,溢液塗片細胞學檢查,可見炎症細胞,診斷多不困難。
3.導管擴張症該病的乳房腫塊位於乳暈區,局部發紅、灼燒樣疼痛、癢和腫脹等。本病的急性期,有急性乳房感染的表現,全部乳房水腫及乳頭內陷,似炎性乳腺癌。部分病人有乳頭溢液,但溢液為黏稠的凝塊狀,非自溢性,大部分因擠壓而出。乳管造影示:乳暈下大導管顯著擴張、迂曲,嚴重者葉囊狀,無充盈缺損。
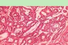
4.乳頭狀癌乳頭狀癌腫塊多位於乳房中央或乳暈深處,或乳暈區以外的乳腺組織中,往往伴有乳頭血性溢液,臨床上易與乳管內乳頭狀瘤相混淆。欲將兩者區別開來,必須行病理學檢查。顯微鏡下觀察,乳頭狀瘤可見腺上皮、肌上皮兩層細胞形成的乳頭和排列規則的腺管細胞,無異形性,核分裂少見或缺如,往往伴有大汗腺樣化生。乳頭分支少,間質多且乳頭較粗大,可融合成複雜的腺樣結構。而乳頭狀癌則相反,細胞異形明顯,核分裂常見,鄰近乳腺組織內一般無硬化性腺病,癌細胞內可見篩狀結構。
5.Paget病Paget病雖起於乳頭處的大導管,但乳頭表面有濕疹樣改變,而且皮膚增厚,常伴有乳頭刺痛、瘙癢和燒灼感等症狀。增厚的皮膚往往與正常組織分界清楚,血性分泌物不多,故易鑑別,但最後還須經病理確診。

