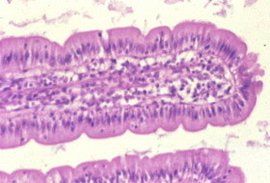
腸絨毛
腸絨毛是一個生物學名詞,是小腸的上皮和固有層向腸腔隆起形成很多指狀突起。
定義
小腸
的
上皮
和
固有層
向
腸腔
隆起,形成很多指狀突起,稱為腸絨毛。
包含和作用
內含有
血小板
,有吸收
養料
的作用。
相關搜尋
維生素c
喉炎
處女膜
廣溫性生物
甘油
維生素C
熱門詞條
609猛鬼套房
chc
dogeared
mix
Videos
不只是朋友
中國人壽保險(集團)公司
十萬個冷笑話2
天父的花園
太太好吃經
姚笛
康定級護衛艦
徐正曦
德州儀器
拜託了冰箱
楊孟學
瑪利亞·莎拉波娃
白蘭氏健康博物館
真心話大冒險
窗戶安全鎖
能近取譬
雙面任務
順丁烯二酸
風力發電機
全國
剩女保鏢
可轉換公司債
唱歌軟體
圓面積公式
土地登記規則
土庫
幻想三國
檀麗
比基尼泳衣
毛筆字型
河圖
股癬
裘德·洛
計算機程式
金馬獎最佳女主角
錫蘭橄欖
長青
隱眼
餐飲
big bang
outerspace
SPA
克麗絲汀迪奧
資料庫管理員
望月久代
楊小黎
魔法石