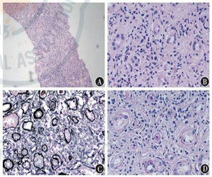
腎小管間質纖維化的病理表現為:腎間質單核細胞、淋巴細胞的浸潤,引起炎症性反應,腎小管足細胞受損,表形轉化、萎縮,間質成纖維細胞活化增殖以及細胞外基質(ECM)過度沉積、瘢痕硬化形成。
現已我們證實,在各類原發性或繼發性慢性進展性腎臟病中,腎小管-間質瘢痕硬化的程度是患者向ESRD進展的獨立性危險因素。同時經研究證實,腎小球濾過率(GFR)降低的程度與腎小管萎縮的程度呈明顯的正相關,而與腎小球病變無關。說明:如果沒有同時伴有腎小管-間質的炎症性浸潤和瘢痕硬化,單純的腎小球硬化(腎小球瘢痕硬化),一般不會導致腎功能衰竭。經全面分析大量的腎活檢病理資料後,也再次證實:腎小管-間質瘢痕硬化程度與患者腎功能及預後密切相關。因此早期並有效地減輕間質的炎性細胞浸潤,減輕其導致的炎性反應,防止間質瘢痕硬化的發生與發展是可以延緩腎功能惡化進展,改善患者預後的。
在腎小管-間質瘢痕硬化形成機制中,腎間質的炎性細胞浸潤、炎症性反應、腎小管足細胞受損、表型轉化,腎間質成纖維細胞的活化與增殖和細胞外基質的過度沉積、導致間質瘢痕硬化的形成。
相關詞條
-
《腎小管間質疾病診療新技術》
《腎小管間質疾病診療新技術》,作者董德長 (合著者), 陳楠,2002年1月1日由人民軍醫出版社出版,本書以介紹腎小管間質疾病臨床診療新技術為主的臨床參考書。
圖書信息 內容簡介 作者簡介 圖書目錄 -
腎小管間質疾病診療新技術
《腎小管間質疾病診療新技術》是2002年人民軍醫出版社出版的圖書。
基本信息 內容簡介 -
小兒腎小管-間質腎炎
氮質血症 多尿 腹痛
概述 病因 症狀 -
腎臟纖維化
腎臟纖維化是一種病理生理改變,是腎臟的功能由健康到損傷,再到損壞,直至功能喪失的漸進過程。
概念 疾病分期 疾病關係 形成過程 變化機理 -
腎小管間質性腎炎
腎小管間質性腎炎是一大組由各種不同原因引起的腎臟疾病。病變主要侵犯腎小管和腎間質;臨床上以腎小管功能障礙為其突出表現。按病程,腎小管一間質性腎炎可分為急...
概述 病因 症狀 治療 預後 -
腎小管萎縮病變
無病變的腎小球呈陰性或瀰漫IgM、C3沉積,IgA、IgG少見。 免疫學證實,CG的腎小球腎小管的增生標誌多於NC-FSGS。 無病變的腎小球呈陰性或彌...
腎小管萎縮病變-原因 腎小管萎縮病變-診斷 腎小管萎縮病變-容易與哪些症狀混淆 -
小管間質腎病學
小管間質性腎病概述第一節 移植腎的小管間質性腎病第一節 特發性小管間質性腎炎第一節
內容介紹 作品目錄 -
馬兜鈴酸腎病
,馬兜鈴酸主要損傷腎小管上皮細胞,但不同劑量馬兜鈴酸損傷腎小管、導致間質纖維化...等機制導致腎小管損傷和腎間質纖維化。除馬兜鈴酸外,草藥中還可能存在其他...是腎間質纖維化,腎小管上皮細胞轉分化是間質纖維化的主要機制。體外研究發現...
疾病簡介 發病機制 腎臟病理 臨床表現 診斷和鑑別診斷

