概述
脊髓血管畸形脊髓動靜脈畸形是一類相對少見的疾病,是先天性脊髓血管在發育上的異常或畸形。發病率占原發脊髓腫瘤或腦動靜脈畸形的1/10,男女之比為4:1,80%發生在胸腰段,約50%病例發生出血。自脊髓症狀出現起,在6年內大部分病人將出現不同程度的功能障礙甚至截癱,是一類嚴重威脅人民健康的疾病。
病理
脊髓血管畸形臨床免疫表現
脊髓血管畸形感覺症狀:肢體麻木蟻走感常有軀體深淺感覺障礙。
運動症狀:肢體無力逐漸加重一側或雙側肢體的完全或不完全癱瘓。脊髓性間歇性跛行本病的特殊表現。當運動時病變節段脊髓神經元需要供血量增加,如不能滿足即出現疼痛,感覺及(或)括約肌功能障礙,休息後緩解。80%以上病人有各種類型的感覺障礙,除疼痛、麻木外,常有深、淺感覺障礙,感覺障礙可呈根型或脊髓型分布。多數病人有括約肌功能障礙,偶爾也有陽痿或性功能障礙,但罕以此為首發症狀。
括約肌症狀:大小便失禁。
自發性蛛網膜下腔出血:突然頭痛截癱頸項強直克氏征陽性。脊髓蛛網膜下腔出血,20%病人以此為首發症狀,另1/3為較晚出現。出血反覆發生,表現與顱內蛛網膜下腔出血相類似。其症狀表現為:①突然而嚴重的背痛,繼而頭痛、嘔吐;②在病變相應平面出現根性疼痛:③伴有脊髓功能障礙的症狀、體徵。妊娠、外傷、運動、姿勢改變、使用激素(ACTH)等常誘發本病發作或症狀加重。部分病人在病變相應節段的皮膚上有血管痣、咖啡斑等皮膚病變,也可合併有顱內動脈瘤、腦AVM,少數病人在病變相應部位脊柱上可聽到血管雜音。
診斷權威依據
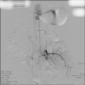
脊髓血管畸形1、Ⅰ型診斷在MRI上可以看到異常的血管但是在腰骶段脊髓,異常的T2加權信號往往是惟一的異常發現。脊髓硬膜動靜脈畸形的診斷在CTM往往更敏感和具特異性,與不用造影相比,在強化CT上於脊髓的背外側可以看到一個較大且呈捲曲狀的血管,造影時病人應取仰臥位進行,以檢查硬膜內的靜脈回流。硬膜動靜脈畸形中強化CT表現為完全阻塞者非常少見。在MRI上可以與髓內腫瘤相區別,MRI上可以顯示血液流空現象,這與脊髓周圍迂曲擴張的靜脈的表現相一致。脊髓硬膜動靜脈畸形的病人的MRI往往是正常的,如果病人的MRI結果正常而高度懷疑其患有脊髓硬膜動靜脈畸形,應進行脊髓造影。如果造影正常,通常沒有必要進行脊髓動脈造影
當在強化CT或MRI上提示此診斷時,選擇性脊髓動脈造影是確定診斷的方法。在血管造影的過程中,脊髓前動脈是可以辨認的,與硬膜動靜脈畸形相關的血供也可確定。病變的所有滋養動脈都應該確定清楚,以防止術後動靜脈瘺交通支復發,有時靠近頭顱的硬膜動靜脈瘺可能有脊髓靜脈交通,並且可以引起脊髓靜脈高壓和脊髓病。在這些病人中,為確診這類不常見的疾病有必要進行選擇性的頸外動脈和頸內動脈注射造影劑作頸動脈造影。
2、ⅡⅢ型診斷髓內動靜脈畸形病灶可通過T1加權像上的流空徵象加以識別。在T2加權像上常並有脊髓內出現異常信號,脊髓周圍的流空徵象提示脊髓病變周圍的部分。脊髓動脈造影在確定髓內病變上是必要的,但在區分Ⅱ型和Ⅲ型病變上並不總是有幫助。選擇性主動脈插管以及椎動脈、頸動脈和髂腰血管的插管造影在確定髓內病變供應的滋養動脈上是有必要的。背側和腹側的根血管經脊髓前動脈和脊髓後動脈分支供應動靜脈畸形。脊髓前動脈可能終止於髓內動靜脈畸形,或仍可能作為一段血管,可以確定脊髓動脈瘤和靜脈曲張。
3、Ⅳ型診斷磁共振成像有時顯示大的脊髓周圍的流空徵象主要表現為擴張明顯的硬膜內靜脈回流,這些畸形常常出現在胸腰連線處圓錐附近和馬尾近端。選擇性血管造影可顯示脊髓前動脈到動靜脈瘺的分布和回流靜脈。
4、海綿狀血管畸形診斷,海綿狀血管畸形的放射影像學圖像具有特徵性。在T1加權T2加權和質子密度成像上可以看到一個混合信號強度健康搜尋的中心。在T1加權上可以看到此中心被一個低密度的含鐵血黃素環包繞。這些病變通常沒有顯著增強。對具有波動性症狀的病人進行連續磁共振掃描,病變的體積可能有所變化。脊髓造影和血管造影很少有異常,通常不能做出海綿狀血管畸形的診斷。有時有必要行脊髓血管造影,對海綿狀血管畸形與其他類型的血管畸形區別。
治療用藥原則
脊髓血管畸形1、手術切除。2、血管栓塞術:手術難以切除者可用此法。3、放射此外治療:對小型畸形血管可能有效。但總體療效欠佳,故多不主張使用。
用藥原則
1、自發出血者立即使用6-氨基己酸等止血藥。2、術後可使用脫水劑以減輕局部脊髓腫脹。3、術前術後使用神經細胞活化劑以促進神經功能恢復。4、對症及支持治療。
療效評價
1、治癒:(1)脊髓血管畸形基本消失;(2)神經症狀消失或明顯好轉 2、好轉:脊髓功能障礙症狀有所恢復 3、未愈:(1)脊髓血管畸形未見消失;(2)神經症狀無改善。
專家提示
髓血管畸形起病多較緩慢,早期易誤診為脊髓多發性硬化、脊髓蛛網膜炎和脊髓髓內腫瘤等。如不治療大多於2-3年後發展至全癱。早期診斷,在肢體未癱時應儘早手術,可使70%的病人症狀改善甚至恢復工作。青壯年人如突然出現腰背部疼痛和肢體無力,特別是在其後又有自然緩解者,應想到本病,並速到醫院作相應的檢查和治療。
